Vergleich

Anti-SIRT2 Antibody Picoband® Europäischer Partner

ArtNr BOS-PB9160
Hersteller Boster
Menge 100 ug/vial
Quantity options 100 ug/vial 10 ug 100 ug 100 ug 100 ug 100 ug 100 ug 100 ug 100 ug 100 ug 100 ug 100 ug 100 ug
Kategorie
Typ Antibody Polyclonal
Format Lyophilized
Applikationen WB, IHC
Specific against Human (Homo sapiens), Mouse (Murine, Mus musculus), Rat (Rattus norvegicus)
Host Rabbit
Isotype IgG
Sensitivity <5 pg/ml
Sequence Belongs to the sirtuin family. Class I subfamily.
Citations 1. Dryden, S. C., Nahhas, F. A., Nowak, J. E., Goustin, A.-S., Tainsky, M. A. Role for humanSIRT2 NAD-dependent deacetylase activity in control of mitotic exit in the cell cycle. Molec. Cell Biol. 23: 3173-3185, 2003.
2. Entrez Gene: SIRT2 sirtuin (silent mating type information regulation 2 homolog) 2 (S. cerevisiae)
3. North, B. J., Marshall, B. L., Borra, M. T., Denu, J. M., Verdin, E. The human Sir2 ortholog, SIRT2, is an NAD(+)-dependent tubulin deacetylase. Molec. Cell 11: 437-444, 2003.
ECLASS 10.1 32160702
ECLASS 11.0 32160702
UNSPSC 12352203
Alias NAD-dependent protein deacetylase sirtuin-2,3.5.1.-,Regulatory protein SIR2 homolog 2,SIR2-like protein 2,SIRT2,SIR2L,SIR2L2
Similar products SIR2, S. cerevisiae, FLJ35621 antibody, FLJ37491 antibody, NAD dependent deacetylase sirtuin 2 antibody, NAD-dependent deacetylase sirtuin-2 antibody, Regulatory protein SIR2 homolog 2 antibody, Silencing information regulator 2 like antibody, Silent information regulator 2 antibody, Silent mating type information regulation 2 antibody, Silent mating type information regulation 2 homolog antibody, SIR 2 antibody, SIR2 antibody, SIR2 like antibody, SIR2 like protein 2 antibody, Sir2 related protein type 2 antibody, SIR2-like protein 2 antibody, SIR2L antibody, SIR2L2 antibody, SIRT 2 antibody, SIRT2 antibody, Sirtuin 2 antibody, Sirtuin type 2 antibody, Sirtuin2 antibody, NAD-dependent protein deacetylase sirtuin-2 antibody, homolog-loke 2 antibody, SIRT2_HUMAN antibody, Sirtuin (silent mating type information regulation 2 homolog) 2 (S.cerevisiae) antibody
Lieferbar
Manufacturer - Category
Primary Antibodies
Storage Conditions
Store at -20°C for one year from date of receipt. After reconstitution, at 4°C for one month. It can also be aliquotted and stored frozen at -20°C for six months. Avoid repeated freeze-thaw cycles.
Observed Molecular weight
36 kDa
Calculated Molecular weight
43182 MW
Clonality
Polyclonal
Application Details
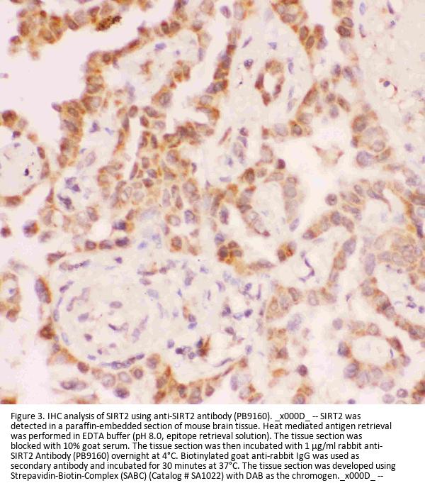
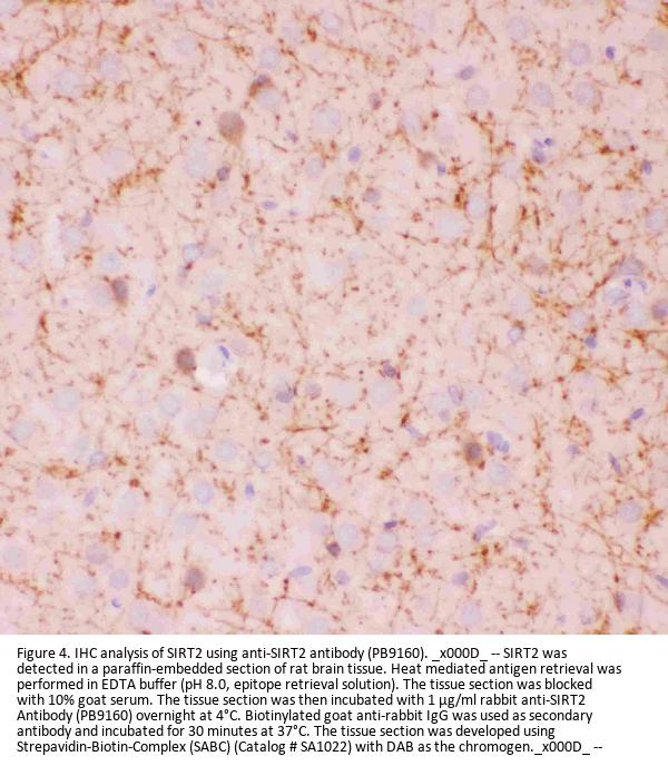
Immunohistochemistry (Paraffin-embedded Section), 0.5-1μg/ml, Human, Mouse, Rat
Western blot, 0.1-0.5μg/ml, Human, Rat
Gene Name
SIRT2
Gene Full Name
NAD-dependent protein deacetylase sirtuin-2
Manufacturer - Specificity
No cross reactivity with other proteins.
Background
SIRT2 is a predominantly cytoplasmic protein that colocalizes with microtubules. This gene encodes a member of the sirtuin family of proteins, homologs to the yeast Sir2 protein. Members of the sirtuin family are characterized by a sirtuin core domain and grouped into four classes. SIRT2 is mapped to 19q13.2. It is able to cause radioactivity to be transferred from (32P) NAD to bovine serum albumin (BSA). According to researches, SIRT2 can act as a bona fide tubulin deacetylase. SIRT2 was found to deacetylate lys40 of alpha-tubulin both in vitro and in vivo. SIRT2 is also a regulator of mitotic progression that acts downstream from CDC14B in a pathway regulating mitotic exit or subsequent cytokinesis. What’s more, SIRT2 is an important regulator of programmed necrosis.
Immunogen
A synthetic peptide corresponding to a sequence in the middle region of human SIRT2, different from the related mouse and rat sequences by three amino acids.
Contents
Each vial contains 5mg BSA, 0.9mg NaCl, 0.2mg Na2HPO4, 0.05mg NaN3.
Purification
Immunogen affinity purified.
Reconstitution
Add 0.2ml of distilled water will yield a concentration of 500ug/ml.
Concentration
Adding 0.2 ml of distilled water will yield a concentration of 500 μg/ml.
Manufacturer - Research Category
Acetylation, Chromatin Modifying Enzymes, Class I, Cytoskeleton, Cytoskeleton/ECM, Epigenetics and Nuclear Signaling, Microtubules, Signal Transduction, Tubulin
Protein Name
NAD-dependent protein deacetylase sirtuin-2
Protein Function
NAD-dependent protein deacetylase, which deacetylates internal lysines on histone and alpha-tubulin as well as many other proteins such as key transcription factors. Participates in the modulation of multiple and diverse biological processes such as cell cycle control, genomic integrity, microtubule dynamics, cell differentiation, metabolic networks, and autophagy. Plays a major role in the control of cell cycle progression and genomic stability. Functions in the antephase checkpoint preventing precocious mitotic entry in response to microtubule stress agents, and hence allowing proper inheritance of chromosomes. Positively regulates the anaphase promoting complex/cyclosome (APC/C) ubiquitin ligase complex activity by deacetylating CDC20 and FZR1, then allowing progression through mitosis. Associates both with chromatin at transcriptional start sites (TSSs) and enhancers of active genes. Plays a role in cell cycle and chromatin compaction through epigenetic modulation of the regulation of histone H4 'Lys-20' methylation (H4K20me1) during early mitosis. Specifically deacetylates histone H4 at 'Lys-16' (H4K16ac) between the G2/M transition and metaphase enabling H4K20me1 deposition by SETD8 leading to ulterior levels of H4K20me2 and H4K20me3 deposition throughout cell cycle, and mitotic S-phase progression. Deacetylates SETD8 modulating SETD8 chromatin localization during the mitotic stress response. Deacetylates also histone H3 at 'Lys- 57' (H3K56ac) during the mitotic G2/M transition. Upon bacterium Listeria monocytogenes infection, deacetylates 'Lys-18' of histone H3 in a receptor tyrosine kinase MET- and PI3K/Akt-dependent manner, thereby inhibiting transcriptional activity and promoting late stages of listeria infection. During oocyte meiosis progression, may deacetylate histone H4 at 'Lys-16' (H4K16ac) and alpha-tubulin, regulating spindle assembly and chromosome alignment by influencing microtubule dynamics and kinetochore function. Deacetylates alpha-tubulin at 'Lys-40' and hence controls neuronal motility, oligodendroglial cell arbor projection processes and proliferation of non-neuronal cells. Phosphorylation at Ser-368 by a G1/S-specific cyclin E-CDK2 complex inactivates SIRT2-mediated alpha-tubulin deacetylation, negatively regulating cell adhesion, cell migration and neurite outgrowth during neuronal differentiation. Deacetylates PARD3 and participates in the regulation of Schwann cell peripheral myelination formation during early postnatal development and during postinjury remyelination. Involved in several cellular metabolic pathways. Plays a role in the regulation of blood glucose homeostasis by deacetylating and stabilizing phosphoenolpyruvate carboxykinase PCK1 activity in response to low nutrient availability. Acts as a key regulator in the pentose phosphate pathway (PPP) by deacetylating and activating the glucose-6-phosphate G6PD enzyme, and therefore, stimulates the production of cytosolic NADPH to counteract oxidative damage. Maintains energy homeostasis in response to nutrient deprivation as well as energy expenditure by inhibiting adipogenesis and promoting lipolysis. Attenuates adipocyte differentiation by deacetylating and promoting FOXO1 interaction to PPARG and subsequent repression of PPARG-dependent transcriptional activity. Plays a role in the regulation of lysosome-mediated degradation of protein aggregates by autophagy in neuronal cells. Deacetylates FOXO1 in response to oxidative stress or serum deprivation, thereby negatively regulating FOXO1- mediated autophagy. Deacetylates a broad range of transcription factors and co-regulators regulating target gene expression. Deacetylates transcriptional factor FOXO3 stimulating the ubiquitin ligase SCF (SKP2)-mediated FOXO3 ubiquitination and degradation. Deacetylates HIF1A and therefore promotes HIF1A degradation and inhibition of HIF1A transcriptional activity in tumor cells in response to hypoxia. Deacetylates RELA in the cytoplasm inhibiting NF-kappaB-dependent transcription activation upon TNF-alpha stimulation. Inhibits transcriptional activation by deacetylating p53/TP53 and EP300. Deacetylates also EIF5A. Functions as a negative regulator on oxidative stress-tolerance in response to anoxia-reoxygenation conditions. Plays a role as tumor suppressor.
Subcellular Localization
Nucleus. Cytoplasm, perinuclear region. Cytoplasm. Cytoplasm, cytoskeleton. Cytoplasm, cytoskeleton, microtubule organizing center, centrosome. Cytoplasm, cytoskeleton, microtubule organizing center, centrosome, centriole. Cytoplasm, cytoskeleton, spindle. Midbody. Chromosome. Perikaryon. Cell projection. Cell projection, growth cone. Myelin membrane. Deacetylates FOXO3 in the cytoplasm. Colocalizes with PLP1 in internodal regions, at paranodal axoglial junction and Schmidt-Lanterman incisures of myelin sheat. Colocalizes with CDK5R1 in the perikaryon, neurites and growth cone of hippocampal neurons. Colocalizes with alpha-tubulin in neuronal growth cone. Localizes in the cytoplasm and nucleus of germinal vesicle (GV) stage oocytes. Colocalizes with alpha- tubulin on the meiotic spindle as the oocytes enter into metaphase, and also during meiotic anaphase and telophase, especially with the midbody. Colocalizes with PARD3 in internodal region of axons. Colocalizes with acetylated alpha-tubulin in cell projection processes during primary oligodendrocyte precursor (OLP) differentiation (By similarity). Localizes in the cytoplasm during most of the cell cycle except in the G2/M transition and during mitosis, where it is localized in association with chromatin and induces deacetylation of histone at 'Lys-16' (H4K16ac). Colocalizes with SETD8 at mitotic foci. Colocalizes with CDK1 at centrosome during prophase and splindle fibers during metaphase. Colocalizes with Aurora kinase AURKA at centrosome during early prophase and in the centrioles and growing mitotic spindle throughout metaphase. Colocalizes with Aurora kinase AURKB during cytokinesis with the midbody. Colocalizes with microtubules. Detected in perinuclear foci that may be aggresomes containing misfolded, ubiquitinated proteins. Shuttles between the cytoplasm and the nucleus through the CRM1 export pathway. Colocalizes with EP300 in the nucleus. Translocates to the nucleus and chromatin upon bacterium Listeria monocytogenes infection in interphase cells.
Description
Boster Bio Anti-SIRT2 Antibody Picoband® catalog # PB9160. Tested in IHC, WB applications. This antibody reacts with Human, Mouse, Rat. The brand Picoband indicates this is a premium antibody that guarantees superior quality, high affinity, and strong signals with minimal background in Western blot applications. Only our best-performing antibodies are designated as Picoband, ensuring unmatched performance.
Tissue Specificity
Isoform 1 is expressed in heart, liver and skeletal muscle, weakly expressed in the cortex. Isoform 2 is strongly expressed in the cortex, weakly expressed in heart and liver. Weakly expressed in several malignancies including breast, liver, brain, kidney and prostate cancers compared to normal tissues. Weakly expressed in glioma cell lines compared to normal brain tissues (at protein level). Widely expressed. Highly expressed in heart, brain and skeletal muscle, while it is weakly expressed in placenta and lung. Down-regulated in many gliomas suggesting that it may act as a tumor suppressor gene in human gliomas possibly through the regulation of microtubule network.
Sequence Similarities
Belongs to the sirtuin family. Class I subfamily.
Manufacturer - Cross Reactivity
No cross-reactivity with other proteins

Hinweis: Die dargestellten Informationen und Dokumente (Bedienungsanleitung, Produktdatenblatt, Sicherheitsdatenblatt und Analysezertifikat) entsprechen unserem letzten Update und sollten lediglich der Orientierung dienen. Wir übernehmen keine Garantie für die Aktualität. Für spezifische Anforderungen bitten wir Sie, uns eine Anfrage zu stellen.

Alle Produkte sind nur für Forschungszwecke bestimmt. Nicht für den menschlichen, tierärztlichen oder therapeutischen Gebrauch.

Menge: 100 ug/vial
Lieferbar: In stock
lieferbar

Vergleichen

Auf den Wunschzettel

Angebot anfordern

Lieferzeit anfragen

Technische Frage stellen

Bulk-Anfrage stellen

Fragen zum Produkt?