Vergleich

Anti-MEK7/MAP2K7 Antibody Picoband® Europäischer Partner

ArtNr BOS-PB9764
Hersteller Boster
Menge 100 ug/vial
Quantity options 100 ug/vial 10 ug 100 ug 100 ug 100 ug 100 ug 100 ug 100 ug 100 ug 100 ug 100 ug 100 ug 100 ug
Kategorie
Typ Antibody Polyclonal
Format Lyophilized
Applikationen WB, FC, IF, IHC, ICC
Specific against Human (Homo sapiens), Mouse (Murine, Mus musculus), Rat (Rattus norvegicus), Monkey (Cynomolgus, Simian)
Host Rabbit
Isotype IgG
Sensitivity >5000 cells
Citations 1. Lu, X., Nemoto, S., Lin, A. Identification of c-jun NH(2)-terminal protein kinase (JNK)-activating kinase 2 as an activator of JNK but not p38. J. Biol. Chem. 272: 24751-24754, 1997.
2. Schramek, D., Kotsinas, A., Meixner, A., Wada, T., Elling, U., Pospisilik, J. A., Neely, G. G., Zwick, R.-H., Sigl, V., Forni, G., Serrano, M., Gorgoulis, V. G., Penninger, J. M. The stress kinase MKK7 couples oncogenic stress to p53 stability and tumor suppression. Nature Genet. 43: 212-219, 2011.
3. Wu, Z., Wu, J., Jacinto, E., Karin, M. Molecular cloning and characterization of human JNKK2, a novel jun NH(2)-terminal kinase-specific kinase. Molec. Cell. Biol. 17: 7407-7416, 1997.
ECLASS 10.1 32160702
ECLASS 11.0 32160702
UNSPSC 12352203
Alias Dual specificity mitogen-activated protein kinase kinase 7,MAP kinase kinase 7,MAPKK 7,2.7.12.2,JNK-activating kinase 2,MAPK/ERK kinase 7,MEK 7,Stress-activated protein kinase kinase 4,SAPK kinase 4,SAPKK-4,SAPKK4,c-Jun N-terminal kinase kinase 2,JNK kinase 2,JNKK 2,MAP2K7,JNKK2,MEK7,MKK7,PRKMK7,SKK4
Lieferbar
Manufacturer - Category
Primary Antibodies
Storage Conditions
Store at -20°C for one year from date of receipt. After reconstitution, at 4°C for one month. It can also be aliquotted and stored frozen at -20°C for six months. Avoid repeated freeze-thaw cycles.
Observed Molecular weight
47 kDa
Calculated Molecular weight
47485 MW
Clonality
Polyclonal
Application Details
Western blot, 0.1-0.25μg/ml, Human, Monkey, Mouse, Rat
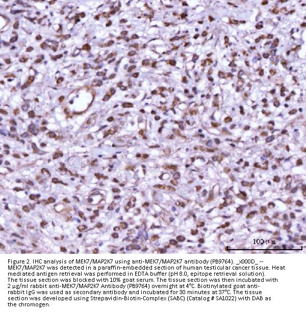
Immunohistochemistry (Paraffin-embedded Section), 1-2μg/ml, Human
Immunocytochemistry/Immunofluorescence, 5 μg/ml, Human
Flow Cytometry (Fixed), 1-3 μg/1x106 cells, Human
Gene Name
MAP2K7
Gene Full Name
Dual specificity mitogen-activated protein kinase kinase 7
Manufacturer - Specificity
No cross reactivity with other proteins.
Background
MAP2K7 (Mitogen-activated protein kinase kinase 7), also known as MAP kinase kinase 7, MAPKK7, JNKK2, PRKMK7 or MKK7, is an enzyme that in humans is encoded by the MAP2K7 gene. This protein is a member of the mitogen-activated protein kinase kinase family. The MKK7 protein exists as six different isoforms with three possible N-termini (α , β , and γ isoforms) and two possible C-termini (1 and 2 isoforms). Schramek et al. (2011) showed that the doxorubicin-mediated DNA damage response in human A549 lung carcinoma cells caused rapid phosphorylation and upregulation of p53 (TP53). MKK7 knockdown reduced p53 phosphorylation, delayed p53 upregulation, and interfered with cell cycle arrest at G2/M. MKK7 was activated in primary lung tumors, and tumors with a p53 mutation showed even higher MKK7 phosphorylation. Schramek et al. (2011) concluded that MKK7 exerts its tumor suppressive function through p53.
Immunogen
A synthetic peptide corresponding to a sequence at the N-terminus of human MEK7, identical to the related mouse and rat sequences.
Contents
Each vial contains 5mg BSA, 0.9mg NaCl, 0.2mg Na2HPO4, 0.05mg NaN3.
Purification
Immunogen affinity purified.
Reconstitution
Add 0.2ml of distilled water will yield a concentration of 500ug/ml.
Concentration
Adding 0.2 ml of distilled water will yield a concentration of 500 μg/ml.
Manufacturer - Research Category
Immunology, Innate Immunity, Macrophage/Inflammation, MAPK Pathway, Metabolism, Oxidative Stress, Pathways and Processes, Protein Phosphorylation, Redox Metabolism, Ser/Thr Kinases, Signal Transduction, TLR Signaling
Protein Name
Dual specificity mitogen-activated protein kinase kinase 7
Protein Function
Dual specificity protein kinase which acts as an essential component of the MAP kinase signal transduction pathway. Essential component of the stress-activated protein kinase/c-Jun N-terminal kinase (SAP/JNK) signaling pathway. With MAP2K4/MKK4, is the one of the only known kinase to ly activate the stress-activated protein kinase/c-Jun N-terminal kinases MAPK8/JNK1, MAPK9/JNK2 and MAPK10/JNK3. MAP2K4/MKK4 and MAP2K7/MKK7 both activate the JNKs by phosphorylation, but they differ in their preference for the phosphorylation site in the Thr-Pro-Tyr motif. MAP2K4/MKK4 shows preference for phosphorylation of the Tyr residue and MAP2K7/MKK7 for the Thr residue. The monophosphorylation of JNKs on the Thr residue is sufficient to increase JNK activity indicating that MAP2K7/MKK7 is important to trigger JNK activity, while the additional phosphorylation of the Tyr residue by MAP2K4/MKK4 ensures optimal JNK activation. Has a specific role in JNK signal transduction pathway activated by proinflammatory cytokines. The MKK/JNK signaling pathway is also involved in mitochondrial death signaling pathway, including the release cytochrome c, leading to apoptosis.
Subcellular Localization
Nucleus. Cytoplasm.
Description
Boster Bio Anti-MEK7/MAP2K7 Antibody Picoband® catalog # PB9764. Tested in Flow Cytometry, IF, IHC, ICC, WB applications. This antibody reacts with Human, Monkey, Mouse, Rat. The brand Picoband indicates this is a premium antibody that guarantees superior quality, high affinity, and strong signals with minimal background in Western blot applications. Only our best-performing antibodies are designated as Picoband, ensuring unmatched performance.
Tissue Specificity
Ubiquitous; with highest level of expression in skeletal muscle. Isoform 3 is found at low levels in placenta, fetal liver, and skeletal muscle.
Manufacturer - Alias
Dual specificity mitogen-activated protein kinase kinase 7, MAP kinase kinase 7, MAPKK 7, 2.7.12.2, JNK-activating kinase 2, MAPK/ERK kinase 7, MEK 7, Stress-activated protein kinase kinase 4, SAPK kinase 4, SAPKK-4, SAPKK4, c-Jun N-terminal kinase kinase 2, JNK kinase 2, JNKK 2, MAP2K7, JNKK2, MEK7, MKK7, PRKMK7, SKK4
Manufacturer - Cross Reactivity
No cross-reactivity with other proteins.

Hinweis: Die dargestellten Informationen und Dokumente (Bedienungsanleitung, Produktdatenblatt, Sicherheitsdatenblatt und Analysezertifikat) entsprechen unserem letzten Update und sollten lediglich der Orientierung dienen. Wir übernehmen keine Garantie für die Aktualität. Für spezifische Anforderungen bitten wir Sie, uns eine Anfrage zu stellen.

Alle Produkte sind nur für Forschungszwecke bestimmt. Nicht für den menschlichen, tierärztlichen oder therapeutischen Gebrauch.

Menge: 100 ug/vial
Lieferbar: In stock
lieferbar

Vergleichen

Auf den Wunschzettel

Angebot anfordern

Lieferzeit anfragen

Technische Frage stellen

Bulk-Anfrage stellen

Fragen zum Produkt?