Vergleich

Anti-VEGF/VEGFA Antibody Picoband® Europäischer Partner

ArtNr BOS-PB9071
Hersteller Boster
Menge 100 ug/vial
Quantity options 100 ug/vial 10 ug 100 ug 100 ug 100 ug 100 ug 100 ug 100 ug 100 ug 100 ug 100 ug 100 ug 100 ug
Kategorie
Typ Antibody Polyclonal
Format Lyophilized
Applikationen WB, FC, IHC
Specific against Human (Homo sapiens), Mouse (Murine, Mus musculus), Rat (Rattus norvegicus)
Host Rabbit
Isotype IgG
Sensitivity <5 pg/ml
Sequence Belongs to the PDGF/VEGF growth factor family.
Citations 1. Lee, C. G.; Link, H.; Baluk, P.; Homer, R. J.; Chapoval, S.; Bhandari, V.; Kang, M. J.; Cohn, L.; Kim, Y. K.; McDonald, D. M.; Elias, J. A. : Vascular endothelial growth factor (VEGF) induces remodeling and enhances TH2-mediated sensitization and inflammation in the lung. Nature Med. 10: 1095-1103, 2004.
2. Gerber, H.-P.; Malik, A. K.; Solar, G. P.; Sherman, D.; Liang, X. H.; Meng, G.; Hong, K.; Marsters, J. C.; Ferrara, N. : VEGF regulates haematopoietic stem cell survival by an internal autocrine loop mechanism. Nature 417: 954-958, 2002.
3. Jin, K.; Zhu, Y.; Sun, Y.; Mao, X. O.; Xie, L.; Greenberg, D. A. : Vascular endothelial growth factor (VEGF) stimulates neurogenesis in vitro and in vivo. Proc. Nat. Acad. Sci. 99: 11946-11950, 2002.
ECLASS 10.1 32160702
ECLASS 11.0 32160702
UNSPSC 12352203
Alias Vascular endothelial growth factor A,VEGF-A,Vascular permeability factor,VPF,VEGFA,VEGF
Similar products MGC70609 antibody, Vascular endothelial growth factor A antibody, Vascular Endothelial Growth Factor antibody, Vascular Permeability Factor antibody, VEGF-A antibody, VEGFA antibody, VEGFA_HUMAN antibody, VPF antibody, MVCD1 antibody
Lieferbar
Manufacturer - Category
Primary Antibodies
Storage Conditions
Store at -20°C for one year from date of receipt. After reconstitution, at 4°C for one month. It can also be aliquotted and stored frozen at -20°C for six months. Avoid repeated freeze-thaw cycles.
Observed Molecular weight
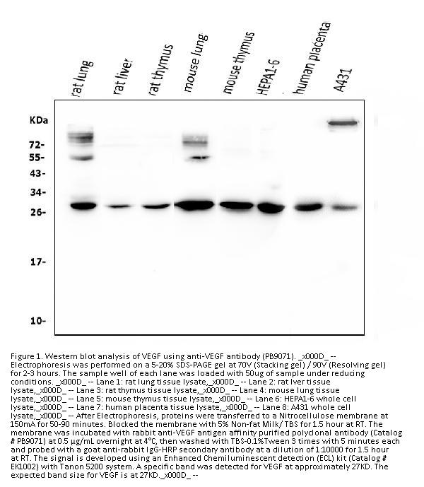
18, 27 kDa
Calculated Molecular weight
27 kDa
Clonality
Polyclonal
Application Details
Western blot, 0.1-0.5μg/ml, Human, Mouse, Rat
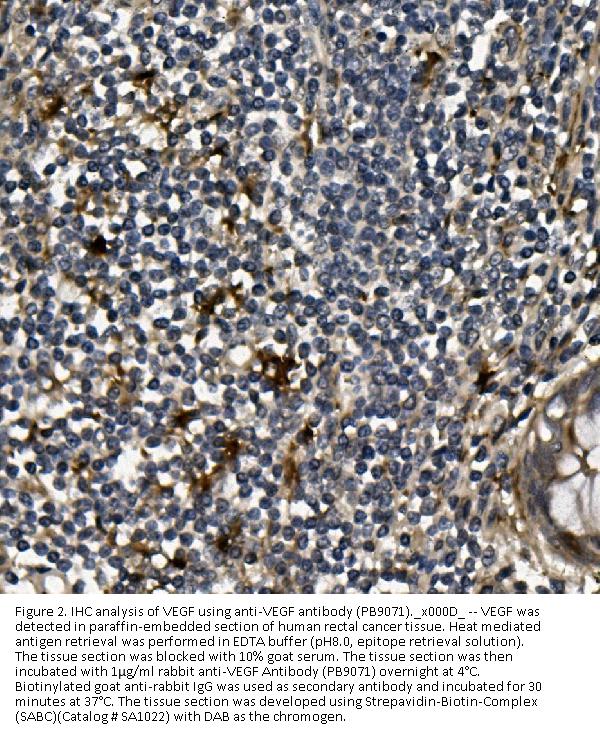
Immunohistochemistry (Paraffin-embedded Section), 2-5μg/ml, Human
Flow Cytometry (Fixed), 1-3μg/1x106 cells, Human
Gene Name
VEGFA
Gene Full Name
Vascular endothelial growth factor A
Manufacturer - Specificity
No cross reactivity with other proteins.
Background
VEGF, a homodimeric glycoprotein of relative molecular mass 45, 000, is the only mitogen that specifically acts on endothelial cells. It may be a major regulator of tumor angiogenesis in vivo. It is, however, structurally related to platelet-derived growth factor. VEGF shares homology with the PDGF A chain and B chain, including conservation of all 8 cysteines found in PDGFA and PDGFB. VEGF gene contains 8 exons. VEGF induces remodeling and enhances TH2-mediated sensitization and inflammation in the lung. And this gene also can regulate haematopoietic stem cell survival by an internal autocrine loop mechanism. What’s more, it also stimulates neurogenesis in vitro and in vivo.
Immunogen
E.coli-derived human VEGF recombinant protein (Position: A27-R191). Human VEGF shares 78% amino acid (aa) sequence identity with both mouse and rat VEGF.
Contents
Each vial contains 4 mg Trehalose, 0.9 mg NaCl and 0.2 mg Na2HPO4.
Purification
Immunogen affinity purified.
Reconstitution
Add 0.2ml of distilled water will yield a concentration of 500ug/ml.
Concentration
Adding 0.2 ml of distilled water will yield a concentration of 500 μg/ml.
Manufacturer - Research Category
Angiogenesis, Cancer, Cancer Metabolism, Cardiovascular, Growth Factors, Growth Factors/Hormones, Metabolism, Metabolism Processes, Pathways and Processes, Response To Hypoxia, Signal Transduction
Protein Name
Vascular endothelial growth factor A
Protein Function
Growth factor active in angiogenesis, vasculogenesis and endothelial cell growth. Induces endothelial cell proliferation, promotes cell migration, inhibits apoptosis and induces permeabilization of blood vessels. Binds to the FLT1/VEGFR1 and KDR/VEGFR2 receptors, heparan sulfate and heparin. NRP1/Neuropilin-1 binds isoforms VEGF-165 and VEGF-145. Isoform VEGF165B binds to KDR but does not activate downstream signaling pathways, does not activate angiogenesis and inhibits tumor growth.
Subcellular Localization
Secreted. VEGF121 is acidic and freely secreted. VEGF165 is more basic, has heparin-binding properties and, although a signicant proportion remains cell-associated, most is freely secreted. VEGF189 is very basic, it is cell-associated after secretion and is bound avidly by heparin and the extracellular matrix, although it may be released as a soluble form by heparin, heparinase or plasmin.
Description
Boster Bio Anti-VEGF/VEGFA Antibody Picoband® catalog # PB9071. Tested in Flow Cytometry, IHC, WB applications. This antibody reacts with Human, Mouse, Rat. The brand Picoband indicates this is a premium antibody that guarantees superior quality, high affinity, and strong signals with minimal background in Western blot applications. Only our best-performing antibodies are designated as Picoband, ensuring unmatched performance.
Tissue Specificity
Isoform VEGF189, isoform VEGF165 and isoform VEGF121 are widely expressed. Isoform VEGF206 and isoform VEGF145 are not widely expressed. A higher level expression seen in pituitary tumors as compared to the pituitary gland.
Sequence Similarities
Belongs to the PDGF/VEGF growth factor family.
Manufacturer - Cross Reactivity
No cross-reactivity with other proteins

Hinweis: Die dargestellten Informationen und Dokumente (Bedienungsanleitung, Produktdatenblatt, Sicherheitsdatenblatt und Analysezertifikat) entsprechen unserem letzten Update und sollten lediglich der Orientierung dienen. Wir übernehmen keine Garantie für die Aktualität. Für spezifische Anforderungen bitten wir Sie, uns eine Anfrage zu stellen.

Alle Produkte sind nur für Forschungszwecke bestimmt. Nicht für den menschlichen, tierärztlichen oder therapeutischen Gebrauch.

Menge: 100 ug/vial
Lieferbar: In stock
lieferbar

Vergleichen

Auf den Wunschzettel

Angebot anfordern

Lieferzeit anfragen

Technische Frage stellen

Bulk-Anfrage stellen

Fragen zum Produkt?