Vergleich

Anti-CD14 Antibody Picoband® Europäischer Partner

ArtNr BOS-A00137
Hersteller Boster
Menge 100 ug/vial
Quantity options 100 ug/vial 10 ug 100 ug/vial 100 ug/vial 100 ug/vial 100 ug 100 ug 100 ug 100 ug/vial 100 ug/vial 100 ug/vial 100 ug/vial 100 ug
Kategorie
Typ Antibody Polyclonal
Format Lyophilized
Applikationen WB, FC, IHC
Specific against Mouse (Murine, Mus musculus), Rat (Rattus norvegicus)
Host Rabbit
Isotype IgG
Citations 1. Goyert, S. M., Ferrero, E., Rettig, W. J., Yenamandra, A. K., Obata, F., Le Beau, M. M. The CD14 monocyte differentiation antigen maps to a region encoding growth factors and receptors. Science 239: 497-500, 1988.
2. LeVan, T. D., Bloom, J. W., Bailey, T. J., Karp, C. L., Halonen, M., Martinez, F. D., Vercelli, D. A common single nucleotide polymorphism in the CD14 promoter decreases the affinity of Sp protein binding and enhances transcriptional activity. J. Immun. 167: 5838-5844, 2001.
3. Wright, S. D. CD14: a leukocyte membrane protein that functions in the response to endotoxin. (Abstract) FASEB J. 4: A1848 only, 1990.
ECLASS 10.1 32160702
ECLASS 11.0 32160702
UNSPSC 12352203
Alias Monocyte differentiation antigen CD14,Myeloid cell-specific leucine-rich glycoprotein,CD14,Cd14
Lieferbar
Manufacturer - Category
Primary Antibodies
Storage Conditions
Store at -20°C for one year from date of receipt. After reconstitution, at 4°C for one month. It can also be aliquotted and stored frozen at -20°C for six months. Avoid repeated freeze-thaw cycles.
Observed Molecular weight
50 kDa
Calculated Molecular weight
89838 MW
Clonality
Polyclonal
Application Details
Western blot, 0.1-0.5μg/ml
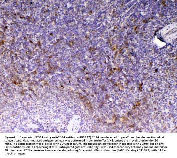
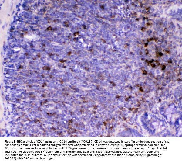
Immunohistochemistry (Paraffin-embedded Section), 0.5-1μg/ml
Flow Cytometry (Fixed), 1-3μg/1x106 cells
Gene Name
Cd14
Gene Full Name
CD14 antigen
Manufacturer - Specificity
No cross reactivity with other proteins.
Background
CD14 is a single-copy gene encoding 2 protein forms: a 50- to 55-kD glycosylphosphatidylinositol-anchored membrane protein (mCD14) and a monocyte or liver-derived soluble serum protein (sCD14) that lacks the anchor. This gene is located at bands 5q23-q31. The protein encoded by this gene is a surface antigen that is preferentially expressed on monocytes/macrophages. CD14 acts as a co-receptor (along with the Toll-like receptor TLR 4 and MD-2) for the detection of bacterial lipopolysaccharide (LPS). CD14 can bind LPS only in the presence of lipopolysaccharide-binding protein (LBP). Although LPS is considered its main ligand, CD14 also recognizes other pathogen-associated molecular patterns.
Immunogen
E. coli-derived mouse CD14 recombinant protein (Position: S16-A260).
Contents
Each vial contains 4mg Trehalose, 0.9mg NaCl, 0.2mg Na2HPO4, 0.05mg NaN3.
Purification
Immunogen affinity purified.
Reconstitution
Add 0.2ml of distilled water will yield a concentration of 500ug/ml.
Concentration
Adding 0.2 ml of distilled water will yield a concentration of 500 μg/ml.
Manufacturer - Research Category
Cell Type Markers, Hematopoietic Progenitors, Immunology, Innate Immunity, Mesenchymal Stem Cells, Myeloid, Stem Cells, TLR Signaling
Protein Name
Toll-like receptor 2
Protein Function
Coreceptor for bacterial lipopolysaccharide. In concert with LBP, binds to monomeric lipopolysaccharide and delivers it to the LY96/TLR4 complex, thereby mediating the innate immune response to bacterial lipopolysaccharide (LPS) (PubMed:16148141). Acts via MyD88, TIRAP and TRAF6, leading to NF-kappa-B activation, cytokine secretion and the inflammatory response (PubMed:8612135, PubMed:15895089). Acts as a coreceptor for TLR2:TLR6 heterodimer in response to diacylated lipopeptides and for TLR2:TLR1 heterodimer in response to triacylated lipopeptides, these clusters trigger signaling from the cell surface and subsequently are targeted to the Golgi in a lipid-raft dependent pathway (By similarity). Acts as an accessory receptor for M.tuberculosis lipoproteins LprA, LprG and LpqH, in conjunction with coreceptors TLR2 and TLR1. The lipoproteins act as agonists to modulate antigen presenting cell functions in response to the pathogen (PubMed:19362712). Binds electronegative LDL (LDL (-)) and mediates the cytokine release induced by LDL (-) (By similarity).
Subcellular Localization
Cell membrane
Description
Boster Bio Anti-CD14 Antibody Picoband® catalog # A00137. Tested in Flow Cytometry, IHC, WB applications. This antibody reacts with Mouse, Rat. The brand Picoband indicates this is a premium antibody that guarantees superior quality, high affinity, and strong signals with minimal background in Western blot applications. Only our best-performing antibodies are designated as Picoband, ensuring unmatched performance.
Tissue Specificity
Detected on peritoneal macrophages (at protein level) (PubMed:8612135). Cell surface expression detected in lung alveolar macrophages, dendritic macrophages and lung macrophages (at protein level) (PubMed:19362712).
Manufacturer - Cross Reactivity
No cross-reactivity with other proteins.

Hinweis: Die dargestellten Informationen und Dokumente (Bedienungsanleitung, Produktdatenblatt, Sicherheitsdatenblatt und Analysezertifikat) entsprechen unserem letzten Update und sollten lediglich der Orientierung dienen. Wir übernehmen keine Garantie für die Aktualität. Für spezifische Anforderungen bitten wir Sie, uns eine Anfrage zu stellen.

Alle Produkte sind nur für Forschungszwecke bestimmt. Nicht für den menschlichen, tierärztlichen oder therapeutischen Gebrauch.

Menge: 100 ug/vial
Lieferbar: In stock
lieferbar

Vergleichen

Auf den Wunschzettel

Angebot anfordern

Lieferzeit anfragen

Technische Frage stellen

Bulk-Anfrage stellen

Fragen zum Produkt?