Vergleich

Anti-MBL2 Antibody Picoband® Europäischer Partner

ArtNr BOS-A01000-2
Hersteller Boster
Menge 100 ug/vial
Quantity options 100 ug/vial 10 ug 100 ug 100 ug 100 ug 100 ug 100 ug 100 ug 100 ug 100 ug 100 ug 100 ug
Kategorie
Typ Antibody Polyclonal
Format Lyophilized
Applikationen WB, IHC, ELISA
Specific against Mouse (Murine, Mus musculus), Rat (Rattus norvegicus)
Host Rabbit
Isotype IgG
Citations 1. Bodamer, O. A., Mitterer, G., Maurer, W., Pollak, A., Mueller, M. W., Schmidt, W. M. Evidence for an association between mannose-binding lectin 2 (MBL2) gene polymorphisms and pre-term birth. Genet. Med. 8: 518-524, 2006.
2. Hibberd, M. L., Sumiya, M., Summerfield, J. A., Booy, R., Levin, M., Meningococcal Research Group. Association of variants of the gene for mannose-binding lectin with susceptibility to meningococcal disease. Lancet 353: 1049-1053, 1999.
ECLASS 10.1 32160702
ECLASS 11.0 32160702
UNSPSC 12352203
Alias Mannose-binding protein C,MBP-C,Mannan-binding protein,Ra-reactive factor polysaccharide-binding component p28A,RaRF p28A,Mbl2
Lieferbar
Manufacturer - Category
Primary Antibodies
Storage Conditions
Store at -20°C for one year from date of receipt. After reconstitution, at 4°C for one month. It can also be aliquotted and stored frozen at -20°C for six months. Avoid repeated freeze-thaw cycles.
Observed Molecular weight
26 kDa
Clonality
Polyclonal
Application Details
Western blot, 0.1-0.5μg/ml
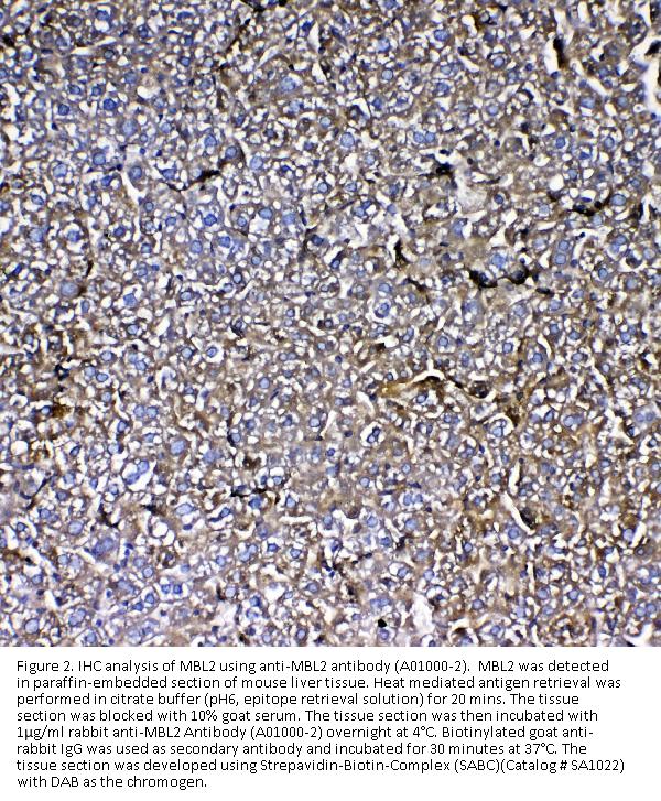
Immunohistochemistry (Paraffin-embedded Section), 0.5-1μg/ml
ELISA, 0.1-0.5μg/ml
Gene Name
Mbl2
Gene Full Name
mannose-binding lectin (protein C) 2
Manufacturer - Specificity
No cross reactivity with other proteins.
Background
MBL2, also called mannose-binding lectin (protein C) 2, soluble or Mannose-binding lectin (MBL) is a lectin that is instrumental in innate immunity. MBL2 is mapped to chromosome 10q11.2-q21. It belongs to the class of collectins in the C-type lectin superfamily, whose function appears to be pattern recognition in the first line of defense in the pre-immune host. MBL2 recognizes carbohydrate patterns, found on the surface of a large number of pathogenic micro-organisms, including bacteria, viruses, protozoa and fungi. Binding MBL2 to a micro-organism results in activation of the lectin pathway of the complement system. Another important function of MBL2 is that this molecule binds senescent and apoptotic cells and enhances engulfment of whole, intact apoptotic cells, as well as cell debris by phagocytes.
Immunogen
E. coli-derived rat MBL2 recombinant protein (Position: E19-D244).
Contents
Each vial contains 4mg Trehalose, 0.9mg NaCl, 0.2mg Na2HPO4, 0.05mg NaN3.
Purification
Immunogen affinity purified.
Reconstitution
Add 0.2ml of distilled water will yield a concentration of 500ug/ml.
Concentration
Adding 0.2 ml of distilled water will yield a concentration of 500 μg/ml.
Manufacturer - Research Category
Complement, Immunology, Innate Immunity
Protein Name
D(4) dopamine receptor
Protein Function
Calcium-dependent lectin involved in innate immune defense. Binds mannose, fucose and N-acetylglucosamine on different microorganisms and activates the lectin complement pathway. Binds to late apoptotic cells, as well as to apoptotic blebs and to necrotic cells, but not to early apoptotic cells, facilitating their uptake by macrophages (By similarity).
Subcellular Localization
Secreted.
Description
Boster Bio Anti-MBL2 Antibody Picoband® catalog # A01000-2. Tested in ELISA, IHC, WB applications. This antibody reacts with Mouse, Rat. The brand Picoband indicates this is a premium antibody that guarantees superior quality, high affinity, and strong signals with minimal background in Western blot applications. Only our best-performing antibodies are designated as Picoband, ensuring unmatched performance.
Tissue Specificity
Found only in peripheral nervous system Schwann cells.
Manufacturer - Cross Reactivity
No cross-reactivity with other proteins.

Hinweis: Die dargestellten Informationen und Dokumente (Bedienungsanleitung, Produktdatenblatt, Sicherheitsdatenblatt und Analysezertifikat) entsprechen unserem letzten Update und sollten lediglich der Orientierung dienen. Wir übernehmen keine Garantie für die Aktualität. Für spezifische Anforderungen bitten wir Sie, uns eine Anfrage zu stellen.

Alle Produkte sind nur für Forschungszwecke bestimmt. Nicht für den menschlichen, tierärztlichen oder therapeutischen Gebrauch.

Menge: 100 ug/vial
Lieferbar: In stock
lieferbar

Vergleichen

Auf den Wunschzettel

Angebot anfordern

Lieferzeit anfragen

Technische Frage stellen

Bulk-Anfrage stellen

Fragen zum Produkt?