Vergleich

Anti-Calbindin/CALB1 Antibody Picoband® Europäischer Partner

ArtNr BOS-A03047
Hersteller Boster
Menge 100 ug/vial
Quantity options 100 ug/vial 10 ug 100 ug/vial 100 ug/vial 100 ug/vial 100 ug 100 ug 100 ug 100 ug/vial 100 ug/vial 100 ug/vial 100 ug/vial 100 ug
Kategorie
Typ Antibody Primary
Format Lyophilized
Applikationen WB, FC, IF, IHC, ELISA
Specific against Human (Homo sapiens), Mouse (Murine, Mus musculus), Rat (Rattus norvegicus)
Host Rabbit
Isotype IgG
Citations 1. Parmentier M.; The human calbindins: cDNA and gene cloning.;Adv. Exp. Med. Biol. 255:233-240(1989).
2. Strauss K.I., Kuznicki J., Winsky L., Kawagoe J.I., Hammer M., Jacobowitz D.M.;The mouse calretinin gene promoter region: structural and functional components.;Brain Res. Mol. Brain Res. 49:175-187(1997).
3. Gabrielides C., McCormack A.L., Hunt D.F., Christakos S.;Brain calbindin-D28k and an Mr 29,000 calcium binding protein in cerebellum are different but related proteins: evidence obtained from sequence analysis by tandem mass spectrometry.;Biochemistry 30:656-662(1991).
ECLASS 10.1 32160702
ECLASS 11.0 32160702
UNSPSC 12352203
Alias Calbindin,Calbindin D28,D-28K,Vitamin D-dependent calcium-binding protein,avian-type,CALB1,CAB27
Lieferbar
Manufacturer - Category
Primary Antibodies
Storage Conditions
Store at -20°C for one year from date of receipt. After reconstitution, at 4°C for one month. It can also be aliquotted and stored frozen at -20°C for six months. Avoid repeated freeze-thaw cycles.
Observed Molecular weight
28 kDa
Calculated Molecular weight
30, 025 MW
Clonality
Polyclonal
Application Details
Western blot, 0.1-0.5μg/ml, Mouse, Rat
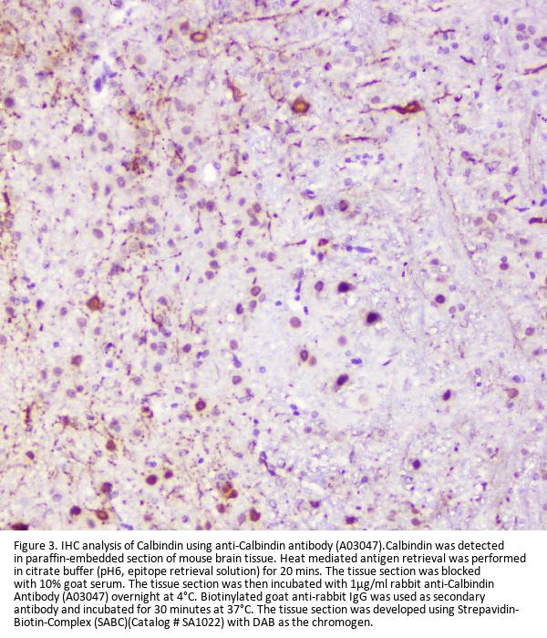
Immunohistochemistry (Paraffin-embedded Section), 0.5-1μg/ml, Human, Mouse, Rat
Immunofluorescence, 5 μg/ml, Rat
Flow Cytometry (Fixed), 1-3μg/1x106 cells, Human
ELISA, 0.1-0.5μg/ml
Gene Name
CALB1
Gene Full Name
calbindin 1, 28kDa
Manufacturer - Specificity
No cross reactivity with other proteins.
Background
Calbindin is a calcium-binding protein belonging to the troponin C superfamily. And it mapped to 8q21.3. Calretinin is expressed in central and peripheral nervous system and in many normal and pathological tissues. The rat and human calretinin exhibit 98% sequence homology and 91% homology to many other species. Two calcium binding proteins, calbindin and calretinin, have been reported to be expressed in abundance in Purkinje cells and other cell types in the cerebellum.
Immunogen
E. coli-derived human Calbindin recombinant protein (Position: A2-N261).
Contents
Each vial contains 4mg Trehalose, 0.9mg NaCl, 0.2mg Na2HPO4, 0.05mg NaN3.
Purification
Immunogen affinity purified.
Reconstitution
Add 0.2ml of distilled water will yield a concentration of 500ug/ml.
Concentration
Adding 0.2 ml of distilled water will yield a concentration of 500 μg/ml.
Manufacturer - Research Category
Calcium Binding Proteins, Calcium Signaling, Cell Type Marker, Neuron Marker, Neuroscience, Neurotransmission
Protein Function
Buffers cytosolic calcium. May stimulate a membrane Ca (2+)-ATPase and a 3', 5'-cyclic nucleotide phosphodiesterase.
Subcellular Localization
Hemidesmosome, Membrane, Single-pass type II membrane protein, Basement membrane.
Description
Boster Bio Anti-Calbindin/CALB1 Antibody Picoband® catalog # A03047. Tested in ELISA, Flow Cytometry, IF, IHC, WB applications. This antibody reacts with Human, Mouse, Rat. The brand Picoband indicates this is a premium antibody that guarantees superior quality, high affinity, and strong signals with minimal background in Western blot applications. Only our best-performing antibodies are designated as Picoband, ensuring unmatched performance.
Tissue Specificity
Detected in skin. In the cornea, it is detected in the epithelial basement membrane, the epithelial cells, and at a lower level in stromal cells. Stratified squamous epithelia. Found in hemidesmosomes. Expressed in cornea, oral mucosa, esophagus, intestine, kidney collecting ducts, ureter, bladder, urethra and thymus but is absent in lung, blood vessels, skeletal muscle and nerves.
Manufacturer - Cross Reactivity
No cross-reactivity with other proteins.

Hinweis: Die dargestellten Informationen und Dokumente (Bedienungsanleitung, Produktdatenblatt, Sicherheitsdatenblatt und Analysezertifikat) entsprechen unserem letzten Update und sollten lediglich der Orientierung dienen. Wir übernehmen keine Garantie für die Aktualität. Für spezifische Anforderungen bitten wir Sie, uns eine Anfrage zu stellen.

Alle Produkte sind nur für Forschungszwecke bestimmt. Nicht für den menschlichen, tierärztlichen oder therapeutischen Gebrauch.

Menge: 100 ug/vial
Lieferbar: In stock
lieferbar

Vergleichen

Auf den Wunschzettel

Angebot anfordern

Lieferzeit anfragen

Technische Frage stellen

Bulk-Anfrage stellen

Fragen zum Produkt?