Vergleich

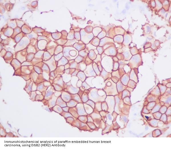
Anti-ErbB2 (HER2) Monoclonal Antibody Europäischer Partner

ArtNr BOS-M00010-1
Hersteller Boster
Menge 100 ul
Quantity options 100 ul 30 ul
Kategorie
Typ Antibody Monoclonal
Format Liquid
Applikationen WB, FC, IF, IP, IHC, ICC
Clon BCI-5
Specific against Human (Homo sapiens)
Host Rabbit
Isotype IgG
Sensitivity <10 pg/ml
ECLASS 10.1 42030590
ECLASS 11.0 42030590
UNSPSC 12352203
Alias Signal transducer and activator of transcription 3,Acute-phase response factor,STAT3,APRF
Lieferbar
Manufacturer - Category
Primary Antibodies, Rabbit Monoclonal Antibodies
Storage Conditions
Store at -20°C for one year. For short term storage and frequent use, store at 4°C for up to one month. Avoid repeated freeze-thaw cycles.
Observed Molecular weight
54 kDa
Calculated Molecular weight
88068 MW
Clonality
Monoclonal
Application Details
WB 1:500-2000
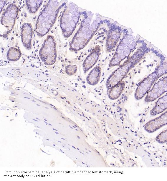
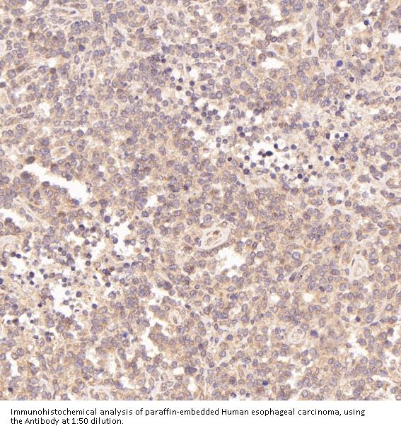
IHC 1:50-200
ICC/IF 1:50-200
IP 1:20
FC 1:20
Gene Name
ERBB2
Gene Full Name
Signal transducer and activator of transcription 3
Immunogen
A synthesized peptide derived from human ErbB2 (HER2).
Contents
Rabbit IgG in phosphate buffered saline, pH 7.4, 150mM NaCl, 0.02% sodium azide and 50% glycerol, 0.4-0.5mg/ml BSA.
Purification
Affinity-chromatography
Reconstitution
Restore with deionized water (or equivalent) for reconstitution volume of 1.0 mL
Concentration
0.5mg/ml
Manufacturer - Research Category
Tumor Associated, Tumor Biomarkers, Tumor Immunology, Tumor-Associated Antigens, Tyrosine Kinases
Protein Name
P2X purinoceptor 1
Protein Function
Signal transducer and transcription activator that mediates cellular responses to interleukins, KITLG/SCF and other growth factors. May mediate cellular responses to activated FGFR1, FGFR2, FGFR3 and FGFR4. Binds to the interleukin-6 (IL-6)- responsive elements identified in the promoters of various acute- phase protein genes. Activated by IL31 through IL31RA. Cytoplasmic STAT3 represses macroautophagy by inhibiting EIF2AK2/PKR activity. Plays an important role in host defense in methicillin-resistant S.aureus lung infection by regulating the expression of the antimicrobial lectin REG3G (By similarity).
Subcellular Localization
Cytoplasm. Nucleus. Shuttles between the nucleus and the cytoplasm. Translocated into the nucleus upon tyrosine phosphorylation and dimerization, in response to signaling by activated FGFR1, FGFR2, FGFR3 or FGFR4. Constitutive nuclear presence is independent of tyrosine phosphorylation. Predominantly present in the cytoplasm without stimuli. Upon leukemia inhibitory factor (LIF) stimulation, accumulates in the nucleus. The complex composed of BART and ARL2 plays an important role in the nuclear translocation and retention of STAT3. Identified in a complex with LYN and PAG1.
Description
Boster Bio Anti-ErbB2 (HER2) Monoclonal Antibody catalog # M00010-1. Tested in WB, IHC, ICC/IF, IP, Flow Cytometry applications. This antibody reacts with Human.
Tissue Specificity
Heart, brain, placenta, lung, liver, skeletal muscle, kidney and pancreas.

Hinweis: Die dargestellten Informationen und Dokumente (Bedienungsanleitung, Produktdatenblatt, Sicherheitsdatenblatt und Analysezertifikat) entsprechen unserem letzten Update und sollten lediglich der Orientierung dienen. Wir übernehmen keine Garantie für die Aktualität. Für spezifische Anforderungen bitten wir Sie, uns eine Anfrage zu stellen.

Alle Produkte sind nur für Forschungszwecke bestimmt. Nicht für den menschlichen, tierärztlichen oder therapeutischen Gebrauch.

Menge: 100 ul
Lieferbar: In stock
lieferbar

Vergleichen

Auf den Wunschzettel

Angebot anfordern

Lieferzeit anfragen

Technische Frage stellen

Bulk-Anfrage stellen

Fragen zum Produkt?