Vergleich

Anti-STAT1 Rabbit Monoclonal Antibody Europäischer Partner

ArtNr BOS-M00036-1
Hersteller Boster
Menge 100 ul/vial
Quantity options 100 ul/vial 30 ul
Kategorie
Typ Antibody Monoclonal
Format Liquid
Applikationen WB, FC, IP, IHC
Clon BEE-19
Specific against Human (Homo sapiens), Mouse (Murine, Mus musculus)
Host Rabbit
Isotype IgG
Sensitivity <15 pg/ml
ECLASS 10.1 42030590
ECLASS 11.0 42030590
UNSPSC 12352203
Alias Signal transducer and activator of transcription 1-alpha/beta,Transcription factor ISGF-3 components p91/p84,STAT1
Lieferbar
Manufacturer - Category
Primary Antibodies, Rabbit Monoclonal Antibodies
Storage Conditions
Store at -20°C for one year. For short term storage and frequent use, store at 4°C for up to one month. Avoid repeated freeze-thaw cycles.
Observed Molecular weight
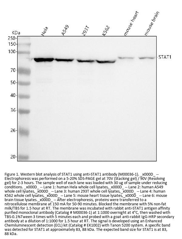
83, 88 kDa
Calculated Molecular weight
87335 MW
Clonality
Monoclonal
Application Details
WB 1:500-2000
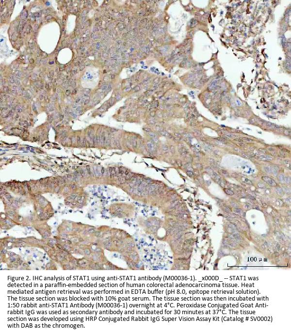
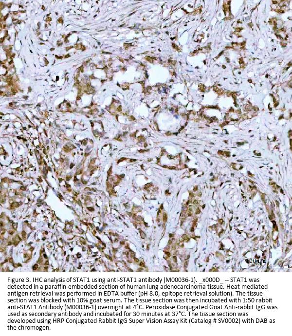
IHC 1:50-200
IP 1:20
FC 1:20
Gene Name
STAT1
Gene Full Name
Signal transducer and activator of transcription 1-alpha/beta
Immunogen
A synthesized peptide derived from human STAT1
Contents
Rabbit IgG in phosphate buffered saline, pH 7.4, 150mM NaCl, 0.02% sodium azide and 50% glycerol, 0.4-0.5mg/ml BSA.
Purification
Affinity-chromatography
Reconstitution
Restore with deionized water (or equivalent) for reconstitution volume of 1.0 mL
Concentration
0.5mg/ml
Manufacturer - Research Category
Cancer, Epigenetics and Nuclear Signaling, Nuclear Signaling, Nuclear Signaling Pathways, Signal Transduction, Signaling Pathway, Transcription
Protein Name
P2X purinoceptor 1
Protein Function
Signal transducer and transcription activator that mediates cellular responses to interferons (IFNs), cytokine KITLG/SCF and other cytokines and other growth factors. Following type I IFN (IFN-alpha and IFN-beta) binding to cell surface receptors, signaling via protein kinases leads to activation of Jak kinases (TYK2 and JAK1) and to tyrosine phosphorylation of STAT1 and STAT2. The phosphorylated STATs dimerize and associate with ISGF3G/IRF-9 to form a complex termed ISGF3 transcription factor, that enters the nucleus. ISGF3 binds to the IFN stimulated response element (ISRE) to activate the transcription of IFN- stimulated genes (ISG), which drive the cell in an antiviral state. In response to type II IFN (IFN-gamma), STAT1 is tyrosine- and serine-phosphorylated. It then forms a homodimer termed IFN- gamma-activated factor (GAF), migrates into the nucleus and binds to the IFN gamma activated sequence (GAS) to drive the expression of the target genes, inducing a cellular antiviral state. Becomes activated in response to KITLG/SCF and KIT signaling. May mediate cellular responses to activated FGFR1, FGFR2, FGFR3 and FGFR4.
Subcellular Localization
Cytoplasm. Nucleus. Translocated into the nucleus upon tyrosine phosphorylation and dimerization, in response to IFN-gamma and signaling by activated FGFR1, FGFR2, FGFR3 or FGFR4.
Description
Boster Bio Anti-STAT1 Rabbit Monoclonal Antibody catalog # M00036-1. Tested in WB, IHC, IP, Flow Cytometry applications. This antibody reacts with Human, Mouse.
Tissue Specificity
Brain. Highly expressed in hippocampus, amygdala, cerebral cortex and cerebellum. Also expressed in heart, lung, skeletal muscle, testis, prostate and placenta.

Hinweis: Die dargestellten Informationen und Dokumente (Bedienungsanleitung, Produktdatenblatt, Sicherheitsdatenblatt und Analysezertifikat) entsprechen unserem letzten Update und sollten lediglich der Orientierung dienen. Wir übernehmen keine Garantie für die Aktualität. Für spezifische Anforderungen bitten wir Sie, uns eine Anfrage zu stellen.

Alle Produkte sind nur für Forschungszwecke bestimmt. Nicht für den menschlichen, tierärztlichen oder therapeutischen Gebrauch.

Menge: 100 ul/vial
Lieferbar: In stock
lieferbar

Vergleichen

Auf den Wunschzettel

Angebot anfordern

Lieferzeit anfragen

Technische Frage stellen

Bulk-Anfrage stellen

Fragen zum Produkt?