Vergleich

Anti-Rb RB1 Rabbit Monoclonal Antibody Europäischer Partner

ArtNr BOS-M00039-2
Hersteller Boster
Menge 100 ul
Quantity options 100 ul 30 ul
Kategorie
Typ Antibody Monoclonal
Format Liquid
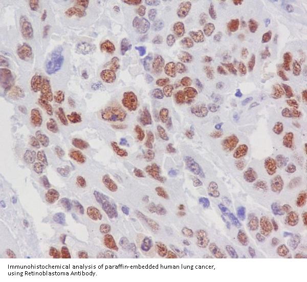
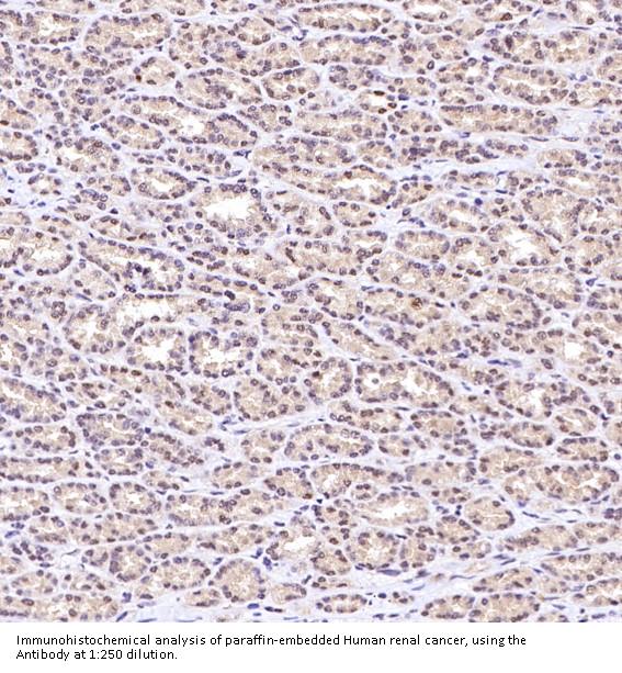
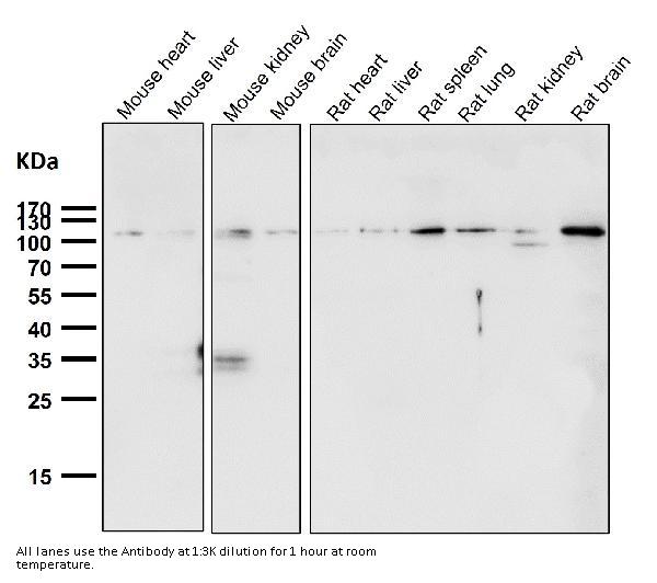
Applikationen WB, IF, IP, IHC, ICC
Clon FCD-18
Specific against Human (Homo sapiens), Mouse (Murine, Mus musculus)
Host Rabbit
Isotype IgG
Sensitivity <15 pg/ml
ECLASS 10.1 42030590
ECLASS 11.0 42030590
UNSPSC 12352203
Alias Retinoblastoma-associated protein,p105-Rb,pRb,Rb,pp110,RB1
Lieferbar
Manufacturer - Category
Primary Antibodies, Rabbit Monoclonal Antibodies
Storage Conditions
Store at -20°C for one year. For short term storage and frequent use, store at 4°C for up to one month. Avoid repeated freeze-thaw cycles.
Observed Molecular weight
83, 88 kDa
Calculated Molecular weight
106159 MW
Clonality
Monoclonal
Application Details
WB 1:500-2000
IHC 1:50-200
ICC/IF 1:50-200
IP 1:20
Gene Name
RB1
Gene Full Name
Retinoblastoma-associated protein
Immunogen
A synthesized peptide derived from human Rb
Contents
Rabbit IgG in phosphate buffered saline, pH 7.4, 150mM NaCl, 0.02% sodium azide and 50% glycerol, 0.4-0.5mg/ml BSA.
Purification
Affinity-chromatography
Reconstitution
Restore with deionized water (or equivalent) for reconstitution volume of 1.0 mL
Concentration
0.5mg/ml
Manufacturer - Research Category
Cancer, Cancer Susceptibility, Cell Biology, Cell Cycle, Cell Cycle Inhibitors, Epigenetics and Nuclear Signaling, Nucleus, Oncoproteins/Suppressors, Subcellular Markers, Tags & Cell Markers, Transcription, Tumor Suppressors
Protein Name
P2X purinoceptor 1
Protein Function
Key regulator of entry into cell division that acts as a tumor suppressor. Promotes G0-G1 transition when phosphorylated by CDK3/cyclin-C. Acts as a transcription repressor of E2F1 target genes. The underphosphorylated, active form of RB1 interacts with E2F1 and represses its transcription activity, leading to cell cycle arrest. ly involved in heterochromatin formation by maintaining overall chromatin structure and, in particular, that of constitutive heterochromatin by stabilizing histone methylation. Recruits and targets histone methyltransferases SUV39H1, KMT5B and KMT5C, leading to epigenetic transcriptional repression. Controls histone H4 'Lys-20' trimethylation. Inhibits the intrinsic kinase activity of TAF1. Mediates transcriptional repression by SMARCA4/BRG1 by recruiting a histone deacetylase (HDAC) complex to the c-FOS promoter. In resting neurons, transcription of the c-FOS promoter is inhibited by BRG1-dependent recruitment of a phospho-RB1-HDAC1 repressor complex. Upon calcium influx, RB1 is dephosphorylated by calcineurin, which leads to release of the repressor complex (By similarity). In case of viral infections, interactions with SV40 large T antigen, HPV E7 protein or adenovirus E1A protein induce the disassembly of RB1-E2F1 complex thereby disrupting RB1's activity.
Subcellular Localization
Nucleus.
Description
Boster Bio Anti-Rb RB1 Rabbit Monoclonal Antibody catalog # M00039-2. Tested in WB, IHC, ICC/IF, IP applications. This antibody reacts with Human, Mouse.
Tissue Specificity
Expressed in the retina.

Hinweis: Die dargestellten Informationen und Dokumente (Bedienungsanleitung, Produktdatenblatt, Sicherheitsdatenblatt und Analysezertifikat) entsprechen unserem letzten Update und sollten lediglich der Orientierung dienen. Wir übernehmen keine Garantie für die Aktualität. Für spezifische Anforderungen bitten wir Sie, uns eine Anfrage zu stellen.

Alle Produkte sind nur für Forschungszwecke bestimmt. Nicht für den menschlichen, tierärztlichen oder therapeutischen Gebrauch.

Menge: 100 ul
Lieferbar: In stock
lieferbar

Vergleichen

Auf den Wunschzettel

Angebot anfordern

Lieferzeit anfragen

Technische Frage stellen

Bulk-Anfrage stellen

Fragen zum Produkt?