Vergleich

Anti-P Glycoprotein ABCB1 Rabbit Monoclonal Antibody Europäischer Partner

ArtNr BOS-M00049
Hersteller Boster
Menge 100 ul
Quantity options 100 ul 30 ul
Kategorie
Typ Antibody Monoclonal
Format Liquid
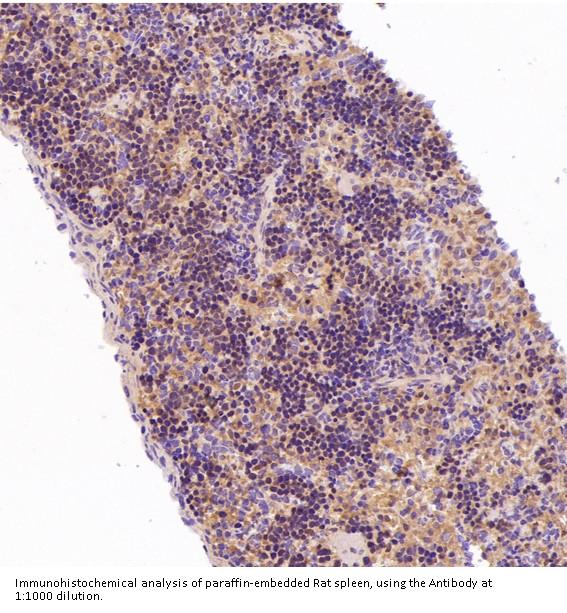
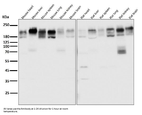
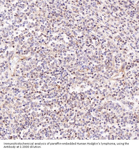
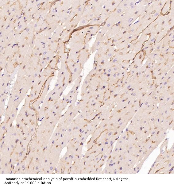
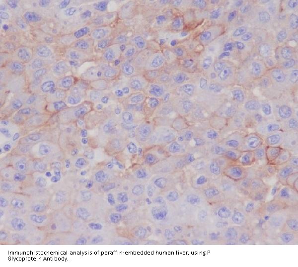
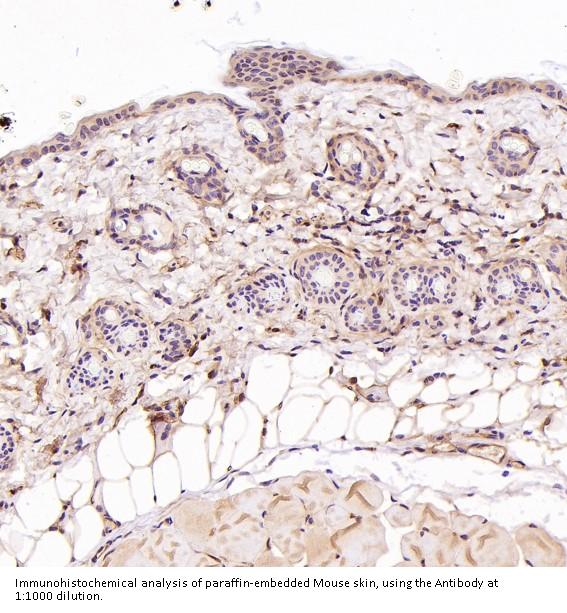
Applikationen WB, IHC
Clon FDB-1
Specific against Human (Homo sapiens), Mouse (Murine, Mus musculus), Rat (Rattus norvegicus)
Host Rabbit
Isotype IgG
Sensitivity <10 pg/ml
ECLASS 10.1 42030590
ECLASS 11.0 42030590
UNSPSC 12352203
Alias Multidrug resistance protein 1,3.6.3.44,ATP-binding cassette sub-family B member 1,P-glycoprotein 1,CD243,ABCB1,MDR1,PGY1
Lieferbar
Manufacturer - Category
Primary Antibodies, Rabbit Monoclonal Antibodies
Storage Conditions
Store at -20°C for one year. For short term storage and frequent use, store at 4°C for up to one month. Avoid repeated freeze-thaw cycles.
Observed Molecular weight
45 kDa
Calculated Molecular weight
141479 MW
Clonality
Monoclonal
Application Details
WB 1:500-2000
IHC 1:50-200
Gene Name
ABCB1
Gene Full Name
Multidrug resistance protein 1
Immunogen
A synthesized peptide derived from human P Glycoprotein
Contents
Rabbit IgG in phosphate buffered saline, pH 7.4, 150mM NaCl, 0.02% sodium azide and 50% glycerol, 0.4-0.5mg/ml BSA.
Purification
Affinity-chromatography
Reconstitution
Restore with deionized water (or equivalent) for reconstitution volume of 1.0 mL
Concentration
0.5mg/ml
Manufacturer - Research Category
Metabolism, Mitochondrial, Mitochondrial Markers, Mitochondrial Metabolism, Pathways and Processes, Signal Transduction
Protein Name
P2X purinoceptor 1
Protein Function
Energy-dependent efflux pump responsible for decreased drug accumulation in multidrug-resistant cells.
Subcellular Localization
Cell membrane; Multi-pass membrane protein.
Description
Boster Bio Anti-P Glycoprotein ABCB1 Rabbit Monoclonal Antibody catalog # M00049. Tested in WB, IHC applications. This antibody reacts with Human, Mouse, Rat.
Tissue Specificity
Expressed in liver, kidney, small intestine and brain.

Hinweis: Die dargestellten Informationen und Dokumente (Bedienungsanleitung, Produktdatenblatt, Sicherheitsdatenblatt und Analysezertifikat) entsprechen unserem letzten Update und sollten lediglich der Orientierung dienen. Wir übernehmen keine Garantie für die Aktualität. Für spezifische Anforderungen bitten wir Sie, uns eine Anfrage zu stellen.

Alle Produkte sind nur für Forschungszwecke bestimmt. Nicht für den menschlichen, tierärztlichen oder therapeutischen Gebrauch.

Menge: 100 ul
Lieferbar: In stock
lieferbar

Vergleichen

Auf den Wunschzettel

Angebot anfordern

Lieferzeit anfragen

Technische Frage stellen

Bulk-Anfrage stellen

Fragen zum Produkt?