Vergleich

Anti-FGFR1 Rabbit Monoclonal Antibody Europäischer Partner

ArtNr BOS-M00098
Hersteller Boster
Menge 100 ul
Quantity options 100 ul 30 ul
Kategorie
Typ Antibody Monoclonal
Format Liquid
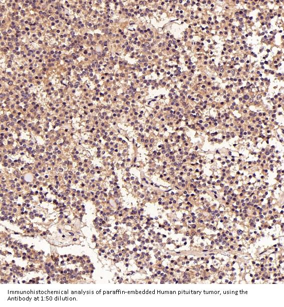
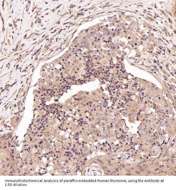
Applikationen WB, IF, ICC
Clon EHC-6
Specific against Human (Homo sapiens)
Host Rabbit
Isotype IgG
Sensitivity <12 pg/ml
ECLASS 10.1 42030590
ECLASS 11.0 42030590
UNSPSC 12352203
Alias Fibroblast growth factor receptor 1,FGFR-1,2.7.10.1,Basic fibroblast growth factor receptor 1,BFGFR,bFGF-R-1,Fms-like tyrosine kinase 2,FLT-2,N-sam,Proto-oncogene c-Fgr,CD331,FGFR1,BFGFR,CEK,FGFBR,FLG,FLT2,HBGFR
Lieferbar
Manufacturer - Category
Primary Antibodies, Rabbit Monoclonal Antibodies
Storage Conditions
Store at -20°C for one year. For short term storage and frequent use, store at 4°C for up to one month. Avoid repeated freeze-thaw cycles.
Observed Molecular weight
52 kDa
Calculated Molecular weight
91868 MW
Clonality
Monoclonal
Application Details
WB 1:500-2000
ICC/IF 1:50-200
Gene Name
FGFR1
Gene Full Name
Fibroblast growth factor receptor 1
Immunogen
A synthesized peptide derived from human FGFR1
Contents
Rabbit IgG in phosphate buffered saline, pH 7.4, 150mM NaCl, 0.02% sodium azide and 50% glycerol, 0.4-0.5mg/ml BSA.
Purification
Affinity-chromatography
Reconstitution
Restore with deionized water (or equivalent) for reconstitution volume of 1.0 mL
Concentration
0.5mg/ml
Manufacturer - Research Category
Angiogenesis, Cancer, Cardiovascular, 2339, Epigenetics and Nuclear Signaling, Growth Factors, Growth Factors/Hormones, Neurogenesis, Neurology Process, Neuroscience, Protein Phosphorylation, Receptor Tyrosine Kinases, Signal Transduction, Tyrosine Kinases
Protein Name
P2X purinoceptor 1
Protein Function
Tyrosine-protein kinase that acts as cell-surface receptor for fibroblast growth factors and plays an essential role in the regulation of embryonic development, cell proliferation, differentiation and migration. Required for normal mesoderm patterning and correct axial organization during embryonic development, normal skeletogenesis and normal development of the gonadotropin-releasing hormone (GnRH) neuronal system. Phosphorylates PLCG1, FRS2, GAB1 and SHB. Ligand binding leads to the activation of several signaling cascades. Activation of PLCG1 leads to the production of the cellular signaling molecules diacylglycerol and inositol 1, 4, 5-trisphosphate. Phosphorylation of FRS2 triggers recruitment of GRB2, GAB1, PIK3R1 and SOS1, and mediates activation of RAS, MAPK1/ERK2, MAPK3/ERK1 and the MAP kinase signaling pathway, as well as of the AKT1 signaling pathway. Promotes phosphorylation of SHC1, STAT1 and PTPN11/SHP2. In the nucleus, enhances RPS6KA1 and CREB1 activity and contributes to the regulation of transcription. FGFR1 signaling is down-regulated by IL17RD/SEF, and by FGFR1 ubiquitination, internalization and degradation.
Subcellular Localization
Cell membrane; Single-pass type I membrane protein. Nucleus. Cytoplasm, cytosol. Cytoplasmic vesicle. After ligand binding, both receptor and ligand are rapidly internalized. Can translocate to the nucleus after internalization, or by translocation from the endoplasmic reticulum or Golgi apparatus to the cytosol, and from there to the nucleus.
Description
Boster Bio Anti-FGFR1 Rabbit Monoclonal Antibody catalog # M00098. Tested in WB, ICC/IF applications. This antibody reacts with Human.
Tissue Specificity
Detected in astrocytoma, neuroblastoma and adrenal cortex cell lines. Some isoforms are detected in foreskin fibroblast cell lines, however isoform 17, isoform 18 and isoform 19 are not detected in these cells.

Hinweis: Die dargestellten Informationen und Dokumente (Bedienungsanleitung, Produktdatenblatt, Sicherheitsdatenblatt und Analysezertifikat) entsprechen unserem letzten Update und sollten lediglich der Orientierung dienen. Wir übernehmen keine Garantie für die Aktualität. Für spezifische Anforderungen bitten wir Sie, uns eine Anfrage zu stellen.

Alle Produkte sind nur für Forschungszwecke bestimmt. Nicht für den menschlichen, tierärztlichen oder therapeutischen Gebrauch.

Menge: 100 ul
Lieferbar: In stock
lieferbar

Vergleichen

Auf den Wunschzettel

Angebot anfordern

Lieferzeit anfragen

Technische Frage stellen

Bulk-Anfrage stellen

Fragen zum Produkt?