Vergleich

Anti-KLF4/Gklf Rabbit Monoclonal Antibody Europäischer Partner

ArtNr BOS-M00120
Hersteller Boster
Menge 100 ul
Quantity options 100 ul 30 ul
Kategorie
Typ Antibody Monoclonal
Format Liquid
Applikationen WB, IF, IHC, ICC
Clon AODA-11
Specific against Human (Homo sapiens), Mouse (Murine, Mus musculus), Rat (Rattus norvegicus)
Host Rabbit
Isotype IgG
Sensitivity <12 pg/ml
ECLASS 10.1 42030590
ECLASS 11.0 42030590
UNSPSC 12352203
Alias Krueppel-like factor 4,Epithelial zinc finger protein EZF,Gut-enriched krueppel-like factor,KLF4,EZF,GKLF
Lieferbar
Manufacturer - Category
Primary Antibodies, Rabbit Monoclonal Antibodies
Storage Conditions
Store at -20°C for one year. For short term storage and frequent use, store at 4°C for up to one month. Avoid repeated freeze-thaw cycles.
Observed Molecular weight
70 kDa
Calculated Molecular weight
54671 MW
Clonality
Monoclonal
Application Details
WB 1:500-2000
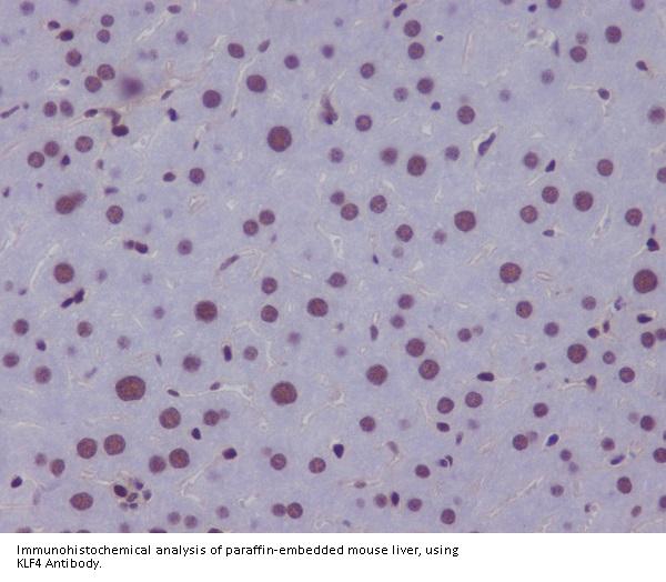
IHC 1:50-200
ICC/IF 1:50-200
Gene Name
KLF4
Gene Full Name
Krueppel-like factor 4
Immunogen
A synthesized peptide derived from human KLF4
Contents
Rabbit IgG in phosphate buffered saline, pH 7.4, 150mM NaCl, 0.02% sodium azide and 50% glycerol, 0.4-0.5mg/ml BSA.
Purification
Affinity-chromatography
Reconstitution
Restore with deionized water (or equivalent) for reconstitution volume of 1.0 mL
Concentration
0.5mg/ml
Manufacturer - Research Category
Cancer, Cardiovascular, Cell Cycle, Cell Cycle Inhibitors, Cell Differentiation, Developmental Biology, Domain Families, Embryogenesis, Embryonic Stem Cells, Epigenetics and Nuclear Signaling, Hypertrophy, Intracellular, Krueppel Like Factor, Oncoproteins, Oncoproteins/Suppressors, Stem Cells, Surface Molecules, Transcription, Transcription Factors, Tumor Suppressors
Protein Name
P2X purinoceptor 1
Protein Function
Transcription factor; can act both as activator and as repressor. Binds the 5'-CACCC-3' core sequence. Binds to the promoter region of its own gene and can activate its own transcription. Regulates the expression of key transcription factors during embryonic development. Plays an important role in maintaining embryonic stem cells, and in preventing their differentiation. Required for establishing the barrier function of the skin and for postnatal maturation and maintenance of the ocular surface. Involved in the differentiation of epithelial cells and may also function in skeletal and kidney development. Contributes to the down-regulation of p53/TP53 transcription.
Subcellular Localization
Nucleus.
Description
Boster Bio Anti-KLF4/Gklf Rabbit Monoclonal Antibody catalog # M00120. Tested in WB, IHC, ICC/IF applications. This antibody reacts with Human, Mouse, Rat.
Tissue Specificity
Highly expressed in heart, placenta, skeletal muscle, kidney, pancreas, spleen, thymus, prostate, testis and peripheral blood.

Hinweis: Die dargestellten Informationen und Dokumente (Bedienungsanleitung, Produktdatenblatt, Sicherheitsdatenblatt und Analysezertifikat) entsprechen unserem letzten Update und sollten lediglich der Orientierung dienen. Wir übernehmen keine Garantie für die Aktualität. Für spezifische Anforderungen bitten wir Sie, uns eine Anfrage zu stellen.

Alle Produkte sind nur für Forschungszwecke bestimmt. Nicht für den menschlichen, tierärztlichen oder therapeutischen Gebrauch.

Menge: 100 ul
Lieferbar: In stock
lieferbar

Vergleichen

Auf den Wunschzettel

Angebot anfordern

Lieferzeit anfragen

Technische Frage stellen

Bulk-Anfrage stellen

Fragen zum Produkt?