Vergleich

Anti-Cleaved PARP PARP1 Rabbit Monoclonal Antibody Europäischer Partner

ArtNr BOS-M00122-2
Hersteller Boster
Menge 100 ul
Quantity options 100 ul 30 ul
Kategorie
Typ Antibody Monoclonal
Format Liquid
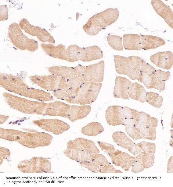
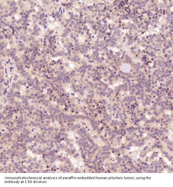
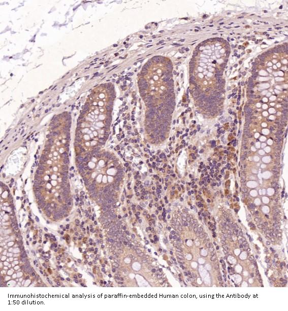
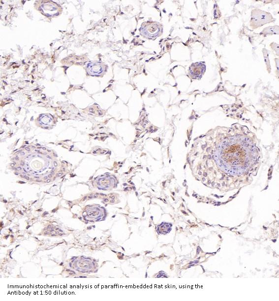
Applikationen WB, FC, IF, IP, ICC
Clon BHH-16
Specific against Human (Homo sapiens)
Host Rabbit
Isotype IgG
Sensitivity <12 pg/ml
ECLASS 10.1 42030590
ECLASS 11.0 42030590
UNSPSC 12352203
Alias Poly [ADP-ribose] polymerase 1,PARP-1,2.4.2.30,ADP-ribosyltransferase diphtheria toxin-like 1,ARTD1,NAD (+) ADP-ribosyltransferase 1,ADPRT 1,Poly[ADP-ribose] synthase 1,PARP1,ADPRT,PPOL
Lieferbar
Manufacturer - Category
Primary Antibodies, Rabbit Monoclonal Antibodies
Storage Conditions
Store at -20°C for one year. For short term storage and frequent use, store at 4°C for up to one month. Avoid repeated freeze-thaw cycles.
Observed Molecular weight
70 kDa
Calculated Molecular weight
113084 MW
Clonality
Monoclonal
Application Details
WB 1:500-1:2000
ICC/IF 1:50-1:200
IP 1:50
FC 1:50
Gene Name
PARP1
Gene Full Name
Poly [ADP-ribose] polymerase 1
Immunogen
A synthesized peptide derived from human Cleaved PARP
Contents
Rabbit IgG in phosphate buffered saline, pH 7.4, 150mM NaCl, 0.02% sodium azide and 50% glycerol, 0.4-0.5mg/ml BSA.
Purification
Affinity-chromatography
Reconstitution
Restore with deionized water (or equivalent) for reconstitution volume of 1.0 mL
Concentration
0.5mg/ml
Manufacturer - Research Category
Chromatin Modifying Enzymes, Epigenetics and Nuclear Signaling
Protein Name
P2X purinoceptor 1
Protein Function
Involved in the base excision repair (BER) pathway, by catalyzing the poly (ADP-ribosyl)ation of a limited number of acceptor proteins involved in chromatin architecture and in DNA metabolism. This modification follows DNA damages and appears as an obligatory step in a detection/signaling pathway leading to the reparation of DNA strand breaks. Mediates the poly (ADP- ribosyl)ation of APLF and CHFR. Positively regulates the transcription of MTUS1 and negatively regulates the transcription of MTUS2/TIP150. With EEF1A1 and TXK, forms a complex that acts as a T-helper 1 (Th1) cell-specific transcription factor and binds the promoter of IFN-gamma to ly regulate its transcription, and is thus involved importantly in Th1 cytokine production. Required for PARP9 and DTX3L recruitment to DNA damage sites. PARP1-dependent PARP9-DTX3L-mediated ubiquitination promotes the rapid and specific recruitment of 53BP1/TP53BP1, UIMC1/RAP80, and BRCA1 to DNA damage sites.
Subcellular Localization
Nucleus. Nucleus, nucleolus. Localizes at sites of DNA damage.
Description
Boster Bio Anti-Cleaved PARP PARP1 Rabbit Monoclonal Antibody catalog # M00122-2. Tested in WB, ICC/IF, IP, Flow Cytometry applications. This antibody reacts with Human.
Tissue Specificity
Expressed in granulosa and cumulus cells. Expressed in hepatocellular carcinoma cells, but not in non- cancerous liver tissue.

Hinweis: Die dargestellten Informationen und Dokumente (Bedienungsanleitung, Produktdatenblatt, Sicherheitsdatenblatt und Analysezertifikat) entsprechen unserem letzten Update und sollten lediglich der Orientierung dienen. Wir übernehmen keine Garantie für die Aktualität. Für spezifische Anforderungen bitten wir Sie, uns eine Anfrage zu stellen.

Alle Produkte sind nur für Forschungszwecke bestimmt. Nicht für den menschlichen, tierärztlichen oder therapeutischen Gebrauch.

Menge: 100 ul
Lieferbar: In stock
lieferbar

Vergleichen

Auf den Wunschzettel

Angebot anfordern

Lieferzeit anfragen

Technische Frage stellen

Bulk-Anfrage stellen

Fragen zum Produkt?