Vergleich

Anti-CCR2/CKR2 Rabbit Monoclonal Antibody Europäischer Partner

ArtNr BOS-M00158
Hersteller Boster
Menge 100 ul
Quantity options 100 ul 30 ul
Kategorie
Typ Antibody Monoclonal
Format Liquid
Applikationen WB, FC, IP, IHC
Clon AOF-3
Specific against Human (Homo sapiens), Mouse (Murine, Mus musculus)
Host Rabbit
Isotype IgG
Sensitivity <50 pg/ml
ECLASS 10.1 42030590
ECLASS 11.0 42030590
UNSPSC 12352203
Alias B-lymphocyte antigen CD19,B-lymphocyte surface antigen B4,Differentiation antigen CD19,T-cell surface antigen Leu-12,CD19,CD19
Lieferbar
Manufacturer - Category
Primary Antibodies, Rabbit Monoclonal Antibodies
Storage Conditions
Store at -20°C for one year. For short term storage and frequent use, store at 4°C for up to one month. Avoid repeated freeze-thaw cycles.
Observed Molecular weight
42 kDa
Calculated Molecular weight
61128 MW
Clonality
Monoclonal
Application Details
WB 1:500-2000
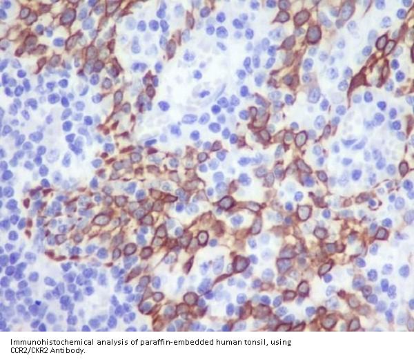
IHC 1:50-200
ICC/IF 1:50-200
IP 1:50
FC 1:100
Gene Name
CCR2
Gene Full Name
B-lymphocyte antigen CD19
Immunogen
A synthesized peptide derived from human CCR2/CKR2 Receptor.
Contents
Rabbit IgG in phosphate buffered saline, pH 7.4, 150mM NaCl, 0.02% sodium azide and 50% glycerol, 0.4-0.5mg/ml BSA.
Purification
Affinity-chromatography
Reconstitution
Restore with deionized water (or equivalent) for reconstitution volume of 1.0 mL
Concentration
0.5mg/ml
Manufacturer - Research Category
Vascular Inflammation
Protein Name
P2X purinoceptor 1
Protein Function
Assembles with the antigen receptor of B-lymphocytes in order to decrease the threshold for antigen receptor-dependent stimulation.
Subcellular Localization
Membrane; Single-pass type I membrane protein.
Description
Boster Bio Anti-CCR2/CKR2 Rabbit Monoclonal Antibody catalog # M00158. Tested in WB, IHC, Flow Cytometry, IP applications. This antibody reacts with Human, Mouse.
Tissue Specificity
Expressed in testicular carcinoma and derived germ cell tumors (at protein level). Expressed in fetal gonads, ovary and testis. Also expressed in ovary teratocarcinoma cell line and testicular embryonic carcinoma. Not expressed in many somatic organs and oocytes.

Hinweis: Die dargestellten Informationen und Dokumente (Bedienungsanleitung, Produktdatenblatt, Sicherheitsdatenblatt und Analysezertifikat) entsprechen unserem letzten Update und sollten lediglich der Orientierung dienen. Wir übernehmen keine Garantie für die Aktualität. Für spezifische Anforderungen bitten wir Sie, uns eine Anfrage zu stellen.

Alle Produkte sind nur für Forschungszwecke bestimmt. Nicht für den menschlichen, tierärztlichen oder therapeutischen Gebrauch.

Menge: 100 ul
Lieferbar: In stock
lieferbar

Vergleichen

Auf den Wunschzettel

Angebot anfordern

Lieferzeit anfragen

Technische Frage stellen

Bulk-Anfrage stellen

Fragen zum Produkt?