Vergleich

Anti-BRG1 SMARCA4 Antibody Picoband® (monoclonal, 3F4) Europäischer Partner

ArtNr BOS-M00223-1
Hersteller Boster
Menge 100 ug/vial
Quantity options 100 ug/vial 10 ug 100 ug 100 ug 100 ug 100 ug 100 ug 100 ug 100 ug 100 ug 100 ug 100 ug
Kategorie
Typ Antibody Monoclonal
Format Lyophilized
Applikationen WB, FC, IHC
Clon 3F4
Specific against Human (Homo sapiens), Mouse (Murine, Mus musculus), Rat (Rattus norvegicus)
Host Mouse
Isotype IgG1
Sensitivity >5000 cells
Citations 1. Entrez Gene: SMARCA4 SWI/SNF related, matrix associated, actin dependent regulator of chromatin, subfamily a, member 4.
2. DiRenzo J, Shang Y, Phelan M, Sif S, Myers M, Kingston R, Brown M (October 2000). BRG-1 is recruited to estrogen-responsive promoters and cooperates with factors involved in histone acetylation. Molecular and Cellular Biology. 20 (20): 7541-9.
ECLASS 10.1 42030590
ECLASS 11.0 42030590
UNSPSC 12352203
Alias Cyclin-dependent kinase 1,CDK1,Cell division control protein 2 homolog,Cell division protein kinase 1,p34 protein kinase,CDK1,CDC2P,CDC28A,CDKN1,P34CDC2
Lieferbar
Manufacturer - Category
Primary Antibodies
Storage Conditions
Store at -20°C for one year from date of receipt. After reconstitution, at 4°C for one month. It can also be aliquotted and stored frozen at -20°C for six months. Avoid repeated freeze-thaw cycles.
Observed Molecular weight
181 kDa
Clonality
Monoclonal
Application Details
Western blot, 0.1-0.5μg/ml
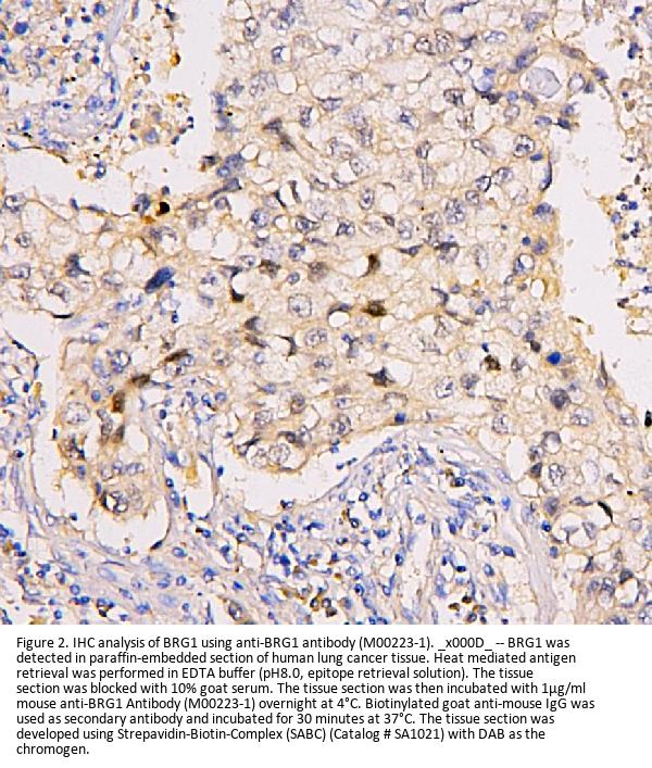
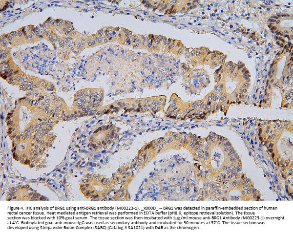
Immunohistochemistry (Paraffin-embedded Section), 0.5-1μg/ml
Flow Cytometry (Fixed), 1-3μg/1x106 cells
Gene Name
SMARCA4
Gene Full Name
SWI/SNF related, matrix associated, actin dependent regulator of chromatin, subfamily a, member 4
Manufacturer - Specificity
No cross reactivity with other proteins.
Background
Transcription activator BRG1 also known as ATP-dependent helicase SMARCA4 is a protein that in humans is encoded by the SMARCA4 gene. The protein encoded by this gene is a member of the SWI/SNF family of proteins and is similar to the brahma protein of Drosophila. Members of this family have helicase and ATPase activities and are thought to regulate transcription of certain genes by altering the chromatin structure around those genes. The encoded protein is part of the large ATP-dependent chromatin remodeling complex SNF/SWI, which is required for transcriptional activation of genes normally repressed by chromatin. In addition, this protein can bind BRCA1, as well as regulate the expression of the tumorigenic protein CD44. Mutations in this gene cause rhabdoid tumor predisposition syndrome type 2. Multiple transcript variants encoding different isoforms have been found for this gene.
Immunogen
E. coli-derived human BRG1 recombinant protein (Position: Q555-E763).
Contents
Each vial contains 4mg Trehalose, 0.9mg NaCl, 0.2mg Na2HPO4, 0.05mg NaN3.
Purification
Immunogen affinity purified.
Reconstitution
Add 0.2ml of distilled water will yield a concentration of 500μg/ml.
Concentration
Adding 0.2 ml of distilled water will yield a concentration of 500 μg/ml.
Manufacturer - Research Category
Calcium Channels, Calcium Signaling, Cancer, Cancer Metabolism, Energy Transfer Pathways, Integration Of Energy, Integration Of Energy Metabolism, Metabolic Signaling Pathway, Metabolic Signaling Pathways, Metabolism, Neuroscience, Neurotransmission, Pathways and Processes, Signal Transduction, Signaling Pathway
Protein Name
Glial fibrillary acidic protein
Protein Function
Involved in transcriptional activation and repression of select genes by chromatin remodeling (alteration of DNA-nucleosome topology). Component of SWI/SNF chromatin remodeling complexes that carry out key enzymatic activities, changing chromatin structure by altering DNA-histone contacts within a nucleosome in an ATP-dependent manner. Component of the CREST-BRG1 complex, a multiprotein complex that regulates promoter activation by orchestrating the calcium-dependent release of a repressor complex and the recruitment of an activator complex. In resting neurons, transcription of the c-FOS promoter is inhibited by SMARCA4-dependent recruitment of a phospho-RB1-HDAC repressor complex. Upon calcium influx, RB1 is dephosphorylated by calcineurin, which leads to release of the repressor complex. At the same time, there is increased recruitment of CREBBP to the promoter by a CREST-dependent mechanism, which leads to transcriptional activation. The CREST-BRG1 complex also binds to the NR2B promoter, and activity-dependent induction of NR2B expression involves the release of HDAC1 and recruitment of CREBBP. Belongs to the neural progenitors-specific chromatin remodeling complex (npBAF complex) and the neuron-specific chromatin remodeling complex (nBAF complex). During neural development, a switch from a stem/progenitor to a postmitotic chromatin remodeling mechanism occurs as neurons exit the cell cycle and become committed to their adult state. The transition from proliferating neural stem/progenitor cells to postmitotic neurons requires a switch in subunit composition of the npBAF and nBAF complexes. As neural progenitors exit mitosis and differentiate into neurons, npBAF complexes which contain ACTL6A/BAF53A and PHF10/BAF45A, are exchanged for homologous alternative ACTL6B/BAF53B and DPF1/BAF45B or DPF3/BAF45C subunits in neuron-specific complexes (nBAF). The npBAF complex is essential for the self-renewal/proliferative capacity of the multipotent neural stem cells. The nBAF complex along with CREST plays a role regulating the activity of genes essential for dendrite growth. SMARCA4/BAF190A may promote neural stem cell self-renewal/proliferation by enhancing Notch-dependent proliferative signals, while concurrently making the neural stem cell insensitive to SHH-dependent differentiating cues. Acts as a corepressor of ZEB1 to regulate E-cadherin transcription and is required for induction of epithelial-mesenchymal transition (EMT) by ZEB1. Binds via DLX1 to enhancers located in the intergenic region between DLX5 and DLX6 and this binding is stabilized by the long non-coding RNA (lncRNA) Evf2. Binds to RNA in a promiscuous manner. Binding to RNAs including lncRNA Evf2 leads to inhibition of SMARCA4 ATPase and chromatin remodeling activities.
Subcellular Localization
Nucleus.
Description
Boster Bio Anti-BRG1 SMARCA4 Antibody Picoband® (monoclonal, 3F4) catalog # M00223-1. Tested in Flow Cytometry, IHC, WB applications. This antibody reacts with Human, Mouse, Rat. The brand Picoband indicates this is a premium antibody that guarantees superior quality, high affinity, and strong signals with minimal background in Western blot applications. Only our best-performing antibodies are designated as Picoband, ensuring unmatched performance.
Tissue Specificity
Colocalizes with ZEB1 in E-cadherin-negative cells from established lines, and stroma of normal colon as well as in de-differentiated epithelial cells at the invasion front of colorectal carcinomas (at protein level).
Manufacturer - Cross Reactivity
No cross-reactivity with other proteins.

Hinweis: Die dargestellten Informationen und Dokumente (Bedienungsanleitung, Produktdatenblatt, Sicherheitsdatenblatt und Analysezertifikat) entsprechen unserem letzten Update und sollten lediglich der Orientierung dienen. Wir übernehmen keine Garantie für die Aktualität. Für spezifische Anforderungen bitten wir Sie, uns eine Anfrage zu stellen.

Alle Produkte sind nur für Forschungszwecke bestimmt. Nicht für den menschlichen, tierärztlichen oder therapeutischen Gebrauch.

Menge: 100 ug/vial
Lieferbar: In stock
lieferbar

Vergleichen

Auf den Wunschzettel

Angebot anfordern

Lieferzeit anfragen

Technische Frage stellen

Bulk-Anfrage stellen

Fragen zum Produkt?