Vergleich

Anti-GAPDH Rabbit Monoclonal Antibody Europäischer Partner

ArtNr BOS-M00227
Hersteller Boster
Menge 100 ul
Quantity options 100 ul 30 ul
Kategorie
Typ Antibody Monoclonal
Format Liquid
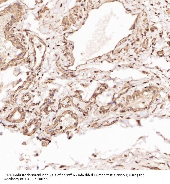
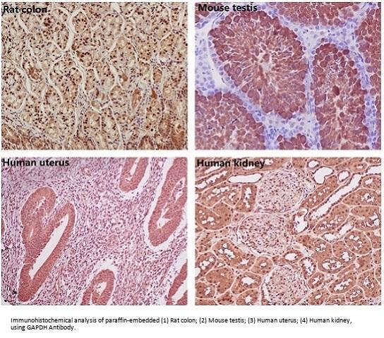
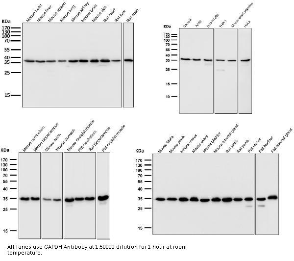
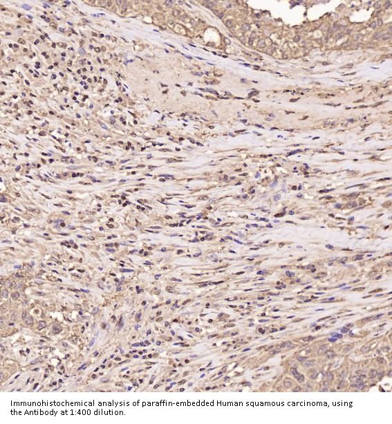
Applikationen WB, FC, IF, IP, IHC, ICC
Clon BH-7
Specific against Human (Homo sapiens), Mouse (Murine, Mus musculus), Rat (Rattus norvegicus)
Host Rabbit
Isotype IgG
Sensitivity <10 pg/ml
ECLASS 10.1 42030590
ECLASS 11.0 42030590
UNSPSC 12352203
Alias Glyceraldehyde-3-phosphate dehydrogenase,GAPDH,1.2.1.12,Peptidyl-cysteine S-nitrosylase GAPDH,2.6.99.-,GAPDH,GAPD,CDABP0047,OK/SW-cl.12
Lieferbar
Manufacturer - Category
Primary Antibodies, Rabbit Monoclonal Antibodies
Storage Conditions
Store at -20°C for one year. For short term storage and frequent use, store at 4°C for up to one month. Avoid repeated freeze-thaw cycles.
Observed Molecular weight
58 kDa
Calculated Molecular weight
36053 MW
Clonality
Monoclonal
Application Details
WB 1:5000-1:50000
IHC 1:100-1:500
ICC/IF 1:100-1:250
IP 1:50
FC 1:50
Gene Name
GAPDH
Gene Full Name
Glyceraldehyde-3-phosphate dehydrogenase
Immunogen
A synthesized peptide derived from human GAPDH
Contents
Rabbit IgG in phosphate buffered saline, pH 7.4, 150mM NaCl, 0.02% sodium azide and 50% glycerol, 0.4-0.5mg/ml BSA.
Purification
Affinity-chromatography
Reconstitution
Restore with deionized water (or equivalent) for reconstitution volume of 1.0 mL
Concentration
0.5mg/ml
Manufacturer - Research Category
Alzheimer's Disease, Cancer, Cancer Metabolism, Carbohydrate Metabolism, Energy Metabolism, Energy Transfer Pathways, Metabolic Signaling Pathway, Metabolic Signaling Pathways, Metabolism, Metabolism Of Carbohydrates, Neurodegenerative Disease, Neurology Process, Neuroscience, Pathways and Processes, Signal Transduction
Protein Name
P2X purinoceptor 1
Protein Function
Has both glyceraldehyde-3-phosphate dehydrogenase and nitrosylase activities, thereby playing a role in glycolysis and nuclear functions, respectively. Participates in nuclear events including transcription, RNA transport, DNA replication and apoptosis. Nuclear functions are probably due to the nitrosylase activity that mediates cysteine S-nitrosylation of nuclear target proteins such as SIRT1, HDAC2 and PRKDC. Modulates the organization and assembly of the cytoskeleton. Facilitates the CHP1-dependent microtubule and membrane associations through its ability to stimulate the binding of CHP1 to microtubules (By similarity). Glyceraldehyde-3-phosphate dehydrogenase is a key enzyme in glycolysis that catalyzes the first step of the pathway by converting D-glyceraldehyde 3-phosphate (G3P) into 3-phospho-D- glyceroyl phosphate. Component of the GAIT (gamma interferon- activated inhibitor of translation) complex which mediates interferon-gamma-induced transcript-selective translation inhibition in inflammation processes. Upon interferon-gamma treatment assembles into the GAIT complex which binds to stem loop-containing GAIT elements in the 3'-UTR of diverse inflammatory mRNAs (such as ceruplasmin) and suppresses their translation.
Subcellular Localization
Cytoplasm, cytosol. Nucleus. Cytoplasm, perinuclear region. Membrane. Cytoplasm, cytoskeleton. Translocates to the nucleus following S- nitrosylation and interaction with SIAH1, which contains a nuclear localization signal (By similarity). Postnuclear and Perinuclear regions.
Description
Boster Bio Anti-GAPDH Rabbit Monoclonal Antibody catalog # M00227. Tested in WB, IHC, ICC/IF, IP, Flow Cytometry applications. This antibody reacts with Human, Mouse, Rat.
Tissue Specificity
Expressed in all tissues tested including blood, brain, heart, kidney, liver, lung, pancreas and skeletal muscle.

Hinweis: Die dargestellten Informationen und Dokumente (Bedienungsanleitung, Produktdatenblatt, Sicherheitsdatenblatt und Analysezertifikat) entsprechen unserem letzten Update und sollten lediglich der Orientierung dienen. Wir übernehmen keine Garantie für die Aktualität. Für spezifische Anforderungen bitten wir Sie, uns eine Anfrage zu stellen.

Alle Produkte sind nur für Forschungszwecke bestimmt. Nicht für den menschlichen, tierärztlichen oder therapeutischen Gebrauch.

Menge: 100 ul
Lieferbar: In stock
lieferbar

Vergleichen

Auf den Wunschzettel

Angebot anfordern

Lieferzeit anfragen

Technische Frage stellen

Bulk-Anfrage stellen

Fragen zum Produkt?