Vergleich

Anti-Tuberin TSC2 Antibody Picoband® (monoclonal, 6I3) Europäischer Partner

ArtNr BOS-M00229-1
Hersteller Boster
Menge 100 ug/vial
Quantity options 100 ug/vial 10 ug 100 ug 100 ug 100 ug 100 ug 100 ug 100 ug 100 ug 100 ug 100 ug 100 ug
Kategorie
Typ Antibody Monoclonal
Format Lyophilized
Applikationen WB, FC, IHC
Clon 6I3
Specific against Human (Homo sapiens)
Host Mouse
Isotype IgG2b
Sensitivity >5000 cells
Citations 1. Chu-Shore, C. J., Major, P., Montenegro, M., Thiele, E. Cyst-like tubers are associated with TSC2 and epilepsy in tuberous sclerosis complex. Neurology 72: 1165-1169, 2009.
2. Jansen, F. E., Braams, O., Vincken, K. L., Algra, A., Anbeek, P., Jennekens-Schinkel, A., Halley, D., Zonnenberg, B. A., van den Ouweland, A., van Huffelen, A. C., van Nieuwenhuizen, O., Nellist, M. Overlapping neurologic and cognitive phenotypes in patients with TSC1 or TSC2 mutations. Neurology 70: 908-915, 2008. 
ECLASS 10.1 42030590
ECLASS 11.0 42030590
UNSPSC 12352203
Alias Tuberin,Tuberous sclerosis 2 protein,TSC2,TSC4
Lieferbar
Manufacturer - Category
Primary Antibodies
Storage Conditions
Store at -20°C for one year from date of receipt. After reconstitution, at 4°C for one month. It can also be aliquotted and stored frozen at -20°C for six months. Avoid repeated freeze-thaw cycles.
Observed Molecular weight
280 kDa
Clonality
Monoclonal
Application Details
Western blot, 0.1-0.5μg/ml, Human
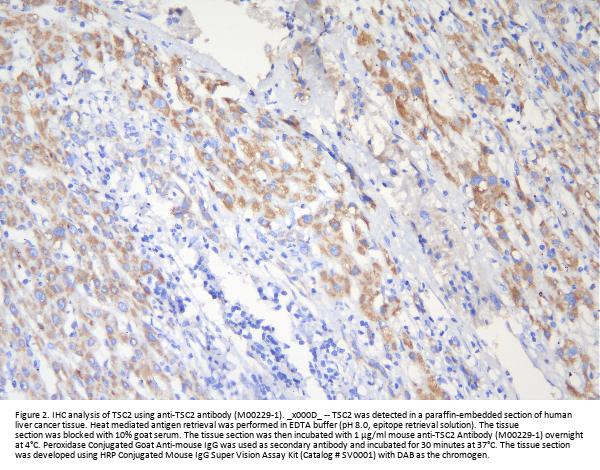
Immunohistochemistry (Paraffin-embedded Section), 0.5-1μg/ml, Human
Flow Cytometry (Fixed), 1-3μg/1x106 cells, Human
Gene Name
TSC2
Gene Full Name
tuberous sclerosis 2
Manufacturer - Specificity
No cross reactivity with other proteins.
Background
Tuberous sclerosis 2 protein, also known as TSC2 or Tuberin is a protein that is in humans. The chromosomal location of this gene is 16p13.3. Mutations in this gene lead to tuberous sclerosis complex. Its gene product is believed to be a tumor suppressor and is able to stimulate specific GTPases. The protein associates with hamartin in a cytosolic complex, possibly acting as a chaperone for hamartin. This gene involved in microtubule-mediated protein transport, but this seems to be due to unregulated mTOR signaling. It stimulates weakly the intrinsic GTPase activity of the Ras-related proteins RAP1A and RAB5 in vitro.
Immunogen
E.coli-derived human Tuberin recombinant protein (Position: H1611-V1807). Human Tuberin shares 94% and 90% amino acid (aa) sequence identity with mouse and rat Tuberin, respectively.
Contents
Each vial contains 4mg Trehalose, 0.9mg NaCl, 0.2mg Na2HPO4, 0.05mg NaN3.
Purification
Immunogen affinity purified.
Reconstitution
Add 0.2ml of distilled water will yield a concentration of 500μg/ml.
Manufacturer - Research Category
Calcium Channels, Calcium Signaling, Cancer, Cancer Metabolism, Energy Transfer Pathways, Integration Of Energy, Integration Of Energy Metabolism, Metabolic Signaling Pathway, Metabolic Signaling Pathways, Metabolism, Neuroscience, Neurotransmission, Pathways and Processes, Signal Transduction, Signaling Pathway
Protein Name
Glial fibrillary acidic protein
Protein Function
In complex with TSC1, this tumor suppressor inhibits the nutrient-mediated or growth factor-stimulated phosphorylation of S6K1 and EIF4EBP1 by negatively regulating mTORC1 signaling (PubMed:12271141, PubMed:28215400). Acts as a GTPase-activating protein (GAP) for the small GTPase RHEB, a activator of the protein kinase activity of mTORC1 (PubMed:15340059). May also play a role in microtubule-mediated protein transport (By similarity). Also stimulates the intrinsic GTPase activity of the Ras-related proteins RAP1A and RAB5 (By similarity).
Subcellular Localization
Cytoplasm; Membrane; Peripheral membrane protein
Description
Boster Bio Anti-Tuberin TSC2 Antibody Picoband® (monoclonal, 6I3) catalog # M00229-1. Tested in Flow Cytometry, IHC, WB applications. This antibody reacts with Human. The brand Picoband indicates this is a premium antibody that guarantees superior quality, high affinity, and strong signals with minimal background in Western blot applications. Only our best-performing antibodies are designated as Picoband, ensuring unmatched performance.
Tissue Specificity
Liver, brain, heart, lymphocytes, fibroblasts, biliary epithelium, pancreas, skeletal muscle, kidney, lung and placenta.
Manufacturer - Cross Reactivity
No cross-reactivity with other proteins.

Hinweis: Die dargestellten Informationen und Dokumente (Bedienungsanleitung, Produktdatenblatt, Sicherheitsdatenblatt und Analysezertifikat) entsprechen unserem letzten Update und sollten lediglich der Orientierung dienen. Wir übernehmen keine Garantie für die Aktualität. Für spezifische Anforderungen bitten wir Sie, uns eine Anfrage zu stellen.

Alle Produkte sind nur für Forschungszwecke bestimmt. Nicht für den menschlichen, tierärztlichen oder therapeutischen Gebrauch.

Menge: 100 ug/vial
Lieferbar: In stock
lieferbar

Vergleichen

Auf den Wunschzettel

Angebot anfordern

Lieferzeit anfragen

Technische Frage stellen

Bulk-Anfrage stellen

Fragen zum Produkt?