Vergleich

Anti-CD43/SPN Antibody Picoband® (monoclonal, 4I3) Europäischer Partner

ArtNr BOS-M01296-1
Hersteller Boster
Menge 100 ug/vial
Quantity options 100 ug/vial 10 ug 100 ug 100 ug 100 ug 100 ug 100 ug 100 ug 100 ug 100 ug 100 ug 100 ug
Kategorie
Typ Antibody Monoclonal
Format Lyophilized
Applikationen WB, FC, IHC
Clon 4I3
Specific against Human (Homo sapiens), Mouse (Murine, Mus musculus), Rat (Rattus norvegicus)
Host Mouse
Isotype IgG2b
Sensitivity <10 pg/ml
Citations 1. Fukuda M, Carlsson SR (1987). Leukosialin, a major sialoglycoprotein on human leukocytes as differentiation antigens. Med. Biol. 64 (6): 335–43.
2. Rogaev EI, Keryanov SA (1993). Unusual variability of the complex dinucleotide repeat block at the SPN locus. Hum. Mol. Genet. 1 (8): 657.
3. Rosenstein Y, Park JK, Hahn WC, et al. (1992). CD43, a molecule defective in Wiskott-Aldrich syndrome, binds ICAM-1. Nature 354 (6350): 233–5.
ECLASS 10.1 42030590
ECLASS 11.0 42030590
UNSPSC 12352203
Alias Leukosialin,GPL115,Galactoglycoprotein,GALGP,Leukocyte sialoglycoprotein,Sialophorin,CD43,CD43 cytoplasmic tail,CD43-ct,CD43ct,SPN,CD43
Lieferbar
Manufacturer - Category
Primary Antibodies
Storage Conditions
Store at -20°C for one year from date of receipt. After reconstitution, at 4°C for one month. It can also be aliquotted and stored frozen at -20°C for six months. Avoid repeated freeze-thaw cycles.
Observed Molecular weight
115 kDa
Clonality
Monoclonal
Application Details
Western blot, 0.1-0.5μg/ml, Human
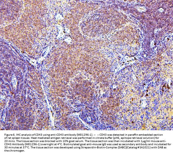
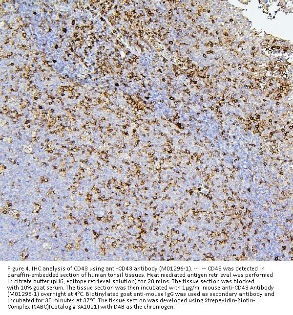
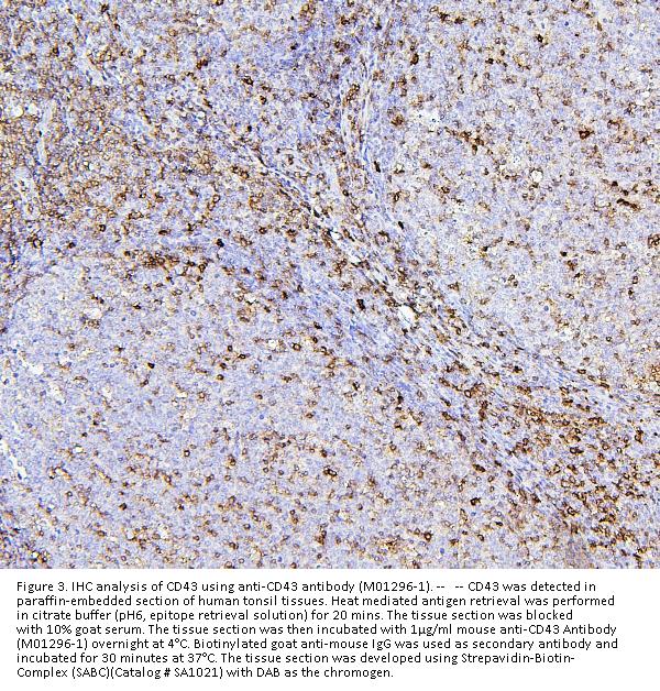
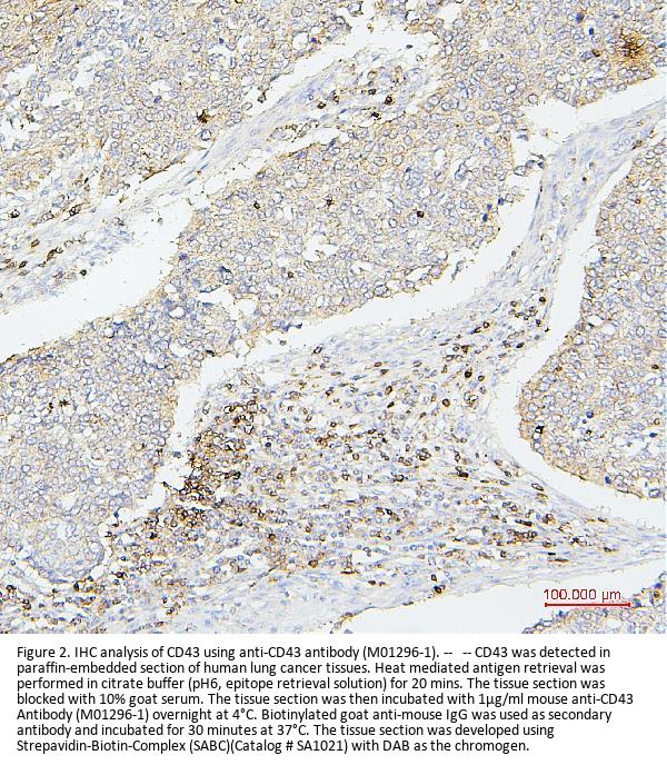
Immunohistochemistry (Paraffin-embedded Section), 0.5-1μg/ml, Human, Mouse, Rat
Flow Cytometry (Fixed), 1-3μg/1x106 cells, Human
Gene Name
SPN
Gene Full Name
sialophorin
Manufacturer - Specificity
No cross reactivity with other proteins.
Background
CD43, also known as leukosialin or sialophorin, is a transmembrane cell surface protein that in humans is encoded by the SPN gene. It is mapped to 16p11.2. It is a major sialoglycoprotein on the surface of human T lymphocytes, monocytes, granulocytes, and some B lymphocytes, which is important for immune function and may be part of a physiologic ligand-receptor complex involved in T-cell activation. Expression of CD43 is deficient and/or defective in the X-chromosome-linked immunodeficiency disorder Wiscott-Aldrich syndrome, suggesting that CD43 have a role in T-cell activation. T-cell activation requires the removal of CD43 from the immunologic synapse to allow efficient engagement of the TCR with molecules on the APC.
Immunogen
E.coli-derived human CD43 recombinant protein (Position: A272-P400). Human CD43 shares 72% and 73% amino acid (aa) sequence identity with mouse and rat CD43, respectively.
Contents
Each vial contains 4mg Trehalose, 0.9mg NaCl, 0.2mg Na2HPO4, 0.05mg NaN3.
Reconstitution
Add 0.2ml of distilled water will yield a concentration of 500μg/ml.
Concentration
Adding 0.2 ml of distilled water will yield a concentration of 500 μg/ml.
Manufacturer - Research Category
Cancer, Cell Biology, Cell Cycle, Cell Cycle Inhibitors, Deubiquitination, Epigenetics and Nuclear Signaling, Host-Virus Interaction, Interspecies Interaction, Microbiology, p53 Pathway, Proteasome / Ubiquitin, Proteolysis/Ubiquitin, Ubiquitin & Ubiquitin Like Modifiers
Protein Function
Predominant cell surface sialoprotein of leukocytes which regulates multiple T-cell functions, including T-cell activation, proliferation, differentiation, trafficking and migration. Positively regulates T-cell trafficking to lymph-nodes via its association with ERM proteins (EZR, RDX and MSN). Negatively regulates Th2 cell differentiation and predisposes the differentiation of T-cells towards a Th1 lineage commitment. Promotes the expression of IFN-gamma by T-cells during T-cell receptor (TCR) activation of naive cells and induces the expression of IFN-gamma by CD4+ T-cells and to a lesser extent by CD8+ T-cells. Plays a role in preparing T-cells for cytokine sensing and differentiation into effector cells by inducing the expression of cytokine receptors IFNGR and IL4R, promoting IFNGR and IL4R signaling and by mediating the clustering of IFNGR with TCR. Acts as a major E-selectin ligand responsible for Th17 cell rolling on activated vasculature and recruitment during inflammation. Mediates Th17 cells, but not Th1 cells, adhesion to E-selectin. Acts as a T-cell counter-receptor for SIGLEC1. CD43 cytoplasmic tail: Protects cells from apoptotic signals, promoting cell survival.
Subcellular Localization
Membrane. Single-pass type I membrane protein. Microvillus. Uropodium. Nucleus. PML body.
Description
Boster Bio Anti-CD43/SPN Antibody Picoband® (monoclonal, 4I3) catalog # M01296-1. Tested in Flow Cytometry, IHC, WB applications. This antibody reacts with Human, Mouse, Rat. The brand Picoband indicates this is a premium antibody that guarantees superior quality, high affinity, and strong signals with minimal background in Western blot applications. Only our best-performing antibodies are designated as Picoband, ensuring unmatched performance.
Tissue Specificity
Cell surface of thymocytes, T-lymphocytes, neutrophils, plasma cells and myelomas.
Manufacturer - Cross Reactivity
No cross-reactivity with other proteins.

Hinweis: Die dargestellten Informationen und Dokumente (Bedienungsanleitung, Produktdatenblatt, Sicherheitsdatenblatt und Analysezertifikat) entsprechen unserem letzten Update und sollten lediglich der Orientierung dienen. Wir übernehmen keine Garantie für die Aktualität. Für spezifische Anforderungen bitten wir Sie, uns eine Anfrage zu stellen.

Alle Produkte sind nur für Forschungszwecke bestimmt. Nicht für den menschlichen, tierärztlichen oder therapeutischen Gebrauch.

Menge: 100 ug/vial
Lieferbar: In stock
lieferbar

Vergleichen

Auf den Wunschzettel

Angebot anfordern

Lieferzeit anfragen

Technische Frage stellen

Bulk-Anfrage stellen

Fragen zum Produkt?