Vergleich

AIFM1 Recombinant Monoclonal Antibody

ArtNr CSB-RA001492MA1HU-100ul
Hersteller Cusabio
Menge 100 ul
Quantity options 100 ul 50 ul
Kategorie
Typ Antibody Monoclonal, recombinant
Format Liquid
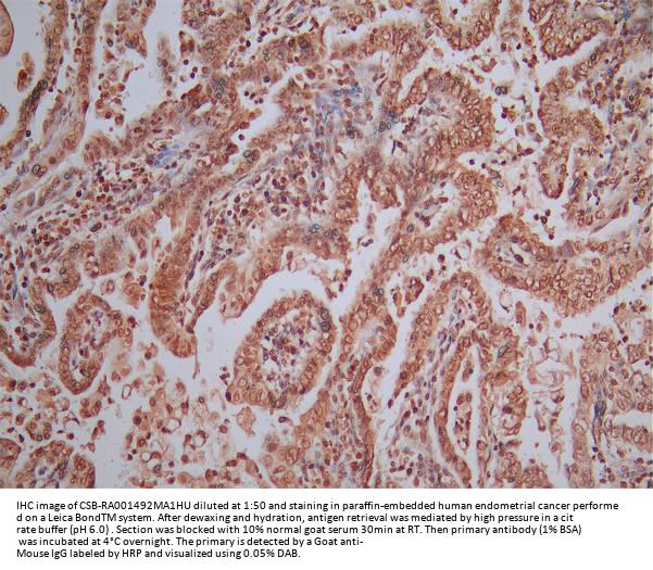
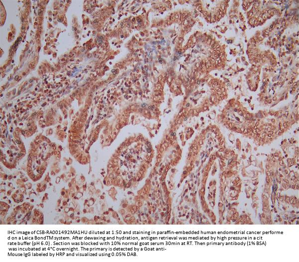
Applikationen FC, IF, IHC, ELISA
Clon 16D10
Specific against Human (Homo sapiens)
Host Mouse
Isotype IgG2a
Konjugat/Tag Unconjugated
ECLASS 10.1 42030590
ECLASS 11.0 42030590
UNSPSC 12352203
Alias AIFM1 antibody,AIFM1_HUMAN antibody,Apoptosis inducing factor 1,mitochondrial antibody,Apoptosis inducing factor antibody,Apoptosis inducing factor,mitochondrion associated,1 antibody,Apoptosis-inducing factor 1 antibody,CMTX4 antibody,COWCK antibody,COXPD6 antibody,Harlequin antibody,Hq antibody,mAIF antibody,MGC111425 antibody,MGC5706 antibody,mitochondrial antibody,Neuropathy,axonal motor-sensory,with deafness and mental retardation antibody,neuropathy,axonal,motor-sensory with deafness and mental retardation (Cowchock syndrome) antibody,PDCD 8 antibody,PDCD8 antibody,Programmed cell death 8 (apoptosis inducing factor) antibody,Programmed cell death 8 antibody,Programmed cell death 8 isoform 1 antibody,Programmed cell death 8 isoform 2 antibody,Programmed cell death 8 isoform 3 antibody,Programmed cell death protein 8 antibody,Programmed cell death protein 8 mitochondrial antibody,Programmed cell death protein 8 mitochondrial precursor antibody,Programmed cell death protein 8 mitochondrial precursor antibody,Striatal apoptosis inducing factor antibody
Lieferbar
Manufacturer - Type
Recombinant Antibody
Manufacturer - Applications
ELISA, IHC, IF, FC; Recommended dilution: IHC:1:50-1:200, IF:1:50-1:200, FC:1:50-1:200
Manufacturer - Isotype
mIgG2a
Manufacturer - Targets
AIFM1
Storage Conditions
Upon receipt, store at -20°C or -80°C. Avoid repeated freeze.
Manufacturer - Alias
AIFM1 antibody, AIFM1_HUMAN antibody, Apoptosis inducing factor 1, mitochondrial antibody, Apoptosis inducing factor antibody, Apoptosis inducing factor, mitochondrion associated, 1 antibody, Apoptosis-inducing factor 1 antibody, CMTX4 antibody, COWCK antibody, COXPD6 antibody, Harlequin antibody, Hq antibody, mAIF antibody, MGC111425 antibody, MGC5706 antibody, mitochondrial antibody, Neuropathy, axonal motor-sensory, with deafness and mental retardation antibody, neuropathy, axonal, motor-sensory with deafness and mental retardation (Cowchock syndrome) antibody, PDCD 8 antibody, PDCD8 antibody, Programmed cell death 8 (apoptosis inducing factor) antibody, Programmed cell death 8 antibody, Programmed cell death 8 isoform 1 antibody, Programmed cell death 8 isoform 2 antibody, Programmed cell death 8 isoform 3 antibody, Programmed cell death protein 8 antibody, Programmed cell death protein 8 mitochondrial antibody, Programmed cell death protein 8 mitochondrial precursor antibody, Programmed cell death protein 8 mitochondrial precursor antibody, Striatal apoptosis inducing factor antibody
Dilution
IHC:1:50-1:200, IF:1:50-1:200, FC:1:50-1:200
Buffer
Preservative: 0.03% Proclin 300
Constituents: 50% Glycerol, 0.01M PBS, PH 7.4
Purification Method
Affinity-chromatography
General Research Areas
Epigenetics and Nuclear Signaling; Cancer; Cell biology; Metabolism
Antigen Species
Human
Antigen
Recombinant Human AIFM1 protein
Clonality
Monoclonal

Hinweis: Die dargestellten Informationen und Dokumente (Bedienungsanleitung, Produktdatenblatt, Sicherheitsdatenblatt und Analysezertifikat) entsprechen unserem letzten Update und sollten lediglich der Orientierung dienen. Wir übernehmen keine Garantie für die Aktualität. Für spezifische Anforderungen bitten wir Sie, uns eine Anfrage zu stellen.

Alle Produkte sind nur für Forschungszwecke bestimmt. Nicht für den menschlichen, tierärztlichen oder therapeutischen Gebrauch.

Menge: 100 ul
Lieferbar: In stock
lieferbar

Vergleichen

Auf den Wunschzettel

Angebot anfordern

Lieferzeit anfragen

Technische Frage stellen

Bulk-Anfrage stellen

Fragen zum Produkt?
 
Schließen