Vergleich

CTBP1 Antibody

ArtNr CSB-PA243683-50ul
Hersteller Cusabio
Menge 50 ul
Quantity options 100 ul 50 ul
Kategorie
Typ Antibody Polyclonal
Format Liquid
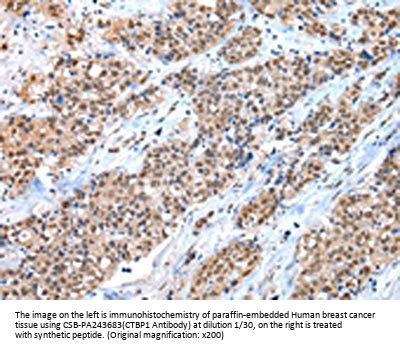
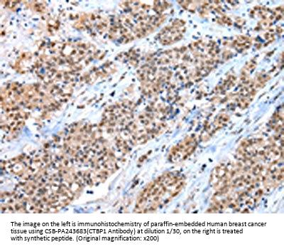
Applikationen WB, IHC, ELISA
Specific against Human (Homo sapiens), Mouse (Murine, Mus musculus), Rat (Rattus norvegicus)
Host Rabbit
Isotype IgG
Konjugat/Tag Unconjugated
ECLASS 10.1 32160702
ECLASS 11.0 32160702
UNSPSC 12352203
Alias BARS antibody; brefeldin A- ribosylated substrate antibody; C terminal binding protein 1 antibody; C-terminal-binding protein 1 antibody; CTBP antibody; CtBP1 antibody; CTBP1_HUMAN antibody; MGC104684 antibody
Similar products C-terminal binding protein 1
Lieferbar
Manufacturer - Type
Polyclonal Antibody
Manufacturer - Targets
CTBP1
Storage Conditions
Upon receipt, store at -20°C or -80°C. Avoid repeated freeze.
Immunogen Species
Human
Immunogen
Synthetic peptide of human CTBP1
Dilution
ELISA:1:2000-1:5000
WB:1:500-1:2000
IHC:1:25-1:100
Background
This gene encodes a protein that binds to the C-terminus of adenovirus E1A proteins. This phosphoprotein is a transcriptional repressor and may play a role during cellular proliferation. This protein and the product of a second closely related gene, CTBP2, can dimerize. Both proteins can also interact with a polycomb group protein complex which participates in regulation of gene expression during development.
Buffer
-20°C, pH7.4 PBS, 0.05% NaN3, 40% Glycerol
Purification Method
Antigen affinity purification
General Research Areas
Cell Biology
Initial Research Areas
Cell Biology
Antigen Species
Human
Antigen
Synthetic peptide of Human CTBP1
Clonality
Polyclonal

Hinweis: Die dargestellten Informationen und Dokumente (Bedienungsanleitung, Produktdatenblatt, Sicherheitsdatenblatt und Analysezertifikat) entsprechen unserem letzten Update und sollten lediglich der Orientierung dienen. Wir übernehmen keine Garantie für die Aktualität. Für spezifische Anforderungen bitten wir Sie, uns eine Anfrage zu stellen.

Alle Produkte sind nur für Forschungszwecke bestimmt. Nicht für den menschlichen, tierärztlichen oder therapeutischen Gebrauch.

Menge: 50 ul
Lieferbar: In stock
lieferbar

Vergleichen

Auf den Wunschzettel

Angebot anfordern

Lieferzeit anfragen

Technische Frage stellen

Bulk-Anfrage stellen

Fragen zum Produkt?
 
Schließen