Vergleich

Recombinant Rat Matrilysin(Mmp7)

ArtNr CSB-EP014677RA-500
Hersteller Cusabio
Menge 500 ug
Quantity options 1 mg 10 ug 100 ug 20 ug 200 ug 50 ug 500 ug
Kategorie
Typ Proteins Recombinant
Specific against other
Host E.coli
Konjugat/Tag GST
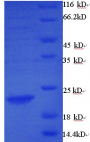
Purity Greater than 90% as determined by SDS-PAGE.
Sequence FSLMPNSPKWHSRTVTYRIVSYTTDLPRFLVDQIV KRALRMWSMQIPLNFKRVSWGTADIIIGFARGDHG DNFPFDGPGNTLGHAFAPGPGLGGDAHFDKDEYWT DGEDSGVNFLFVATHELGHSLGLGHSSVPSSVMYP TYQGDHSEDFSLTKDDIAGIQKLYGKRNKL
Protein Familie Peptidase M10A family
Citations Characterization of rat uterine matrilysin and its cDNA. Relationship to human pump-1 and activation of procollagenases.Abramson S.R., Conner G.E., Nagase H., Neuhaus I., Woessner J.F.J. Biol. Chem. 270:16016-16022(1995)
ECLASS 10.1 32160409
ECLASS 11.0 32160409
UNSPSC 12352202
Alias Matrin,Matrix metalloproteinase-7 ,MMP-7Pump-1 proteaseUterine metalloproteinase
Lieferbar
Manufacturer - Conjugate / Tag
N-terminal GST-tagged
Storage Conditions
The shelf life is related to many factors, storage state, buffer ingredients, storage temperature and the stability of the protein itself.
Generally, the shelf life of liquid form is 6 months at -20C/-80C. The shelf life of lyophilized form is 12 months at -20C/-80C.
Molecular Weight
45.9 kDa
Relevance
Degrades casein, gelatins of types I, III, IV, and V, and fibronectin. Activates procollagenase .
Expression Region
98-267aa
Protein Length
Full Length of Mature Protein
Notes
Repeated freezing and thawing is not recommended. Store working aliquots at 4C for up to one week.
Function
Degrades casein, gelatins of types I, III, IV, and V, and fibronectin. Activates procollagenase (By similarity).
Subcellular Location
Secreted, extracellular space, extracellular matrix
Biological activity
Not Test
Manufacturer - Format
Liquid or Lyophilized powder

Hinweis: Die dargestellten Informationen und Dokumente (Bedienungsanleitung, Produktdatenblatt, Sicherheitsdatenblatt und Analysezertifikat) entsprechen unserem letzten Update und sollten lediglich der Orientierung dienen. Wir übernehmen keine Garantie für die Aktualität. Für spezifische Anforderungen bitten wir Sie, uns eine Anfrage zu stellen.

Alle Produkte sind nur für Forschungszwecke bestimmt. Nicht für den menschlichen, tierärztlichen oder therapeutischen Gebrauch.

Menge: 500 ug
Lieferbar: In stock
lieferbar

Vergleichen

Auf den Wunschzettel

Angebot anfordern

Lieferzeit anfragen

Technische Frage stellen

Bulk-Anfrage stellen

Fragen zum Produkt?
 
Schließen