Vergleich

Anti-Acetyl Lysine Mouse Monoclonal Antibody MAb clone 19C4B2.1

ArtNr AAC03
Hersteller Cytoskeleton
Menge 2 x 100 ul
Quantity options 2 x 100 ul 25 ul 4 x 500 ul
Kategorie
Typ Antibody Monoclonal
Clon 19C4B2.1
Specific against other
Citations 1 Bogdan P. and Sherman F. 2002. The diversity of acetylated proteins. Genome Biol. 3 (5): reviews 0006.
2 Lundby A. et al. 2012. Proteomic analysis of lysine acetylation sites in rat tissues reveals organ specificity and cellular patterns. Cell Reports 2:419-431.
3 Sadoul K. et al. 2010. The tale of protein lysine acetylation in the cytoplasm. J. Biomed. Biotech. 2011:1-15.
4 Golemis EA et. Al, Protein-Protein Interactions, CSHLP, 2005, p67
ECLASS 10.1 42030590
ECLASS 11.0 42030590
UNSPSC 12352203
Versandbedingung Raumtemperatur
Lieferbar
Specificity All species
Manufacturer - Isotype
Mouse / IgG1
Shipping Temperature
AT
Storage Conditions
On Arrival: 4°C
Associated Products
Signal-Seeker Acetyl-Lysine Detection Kit (Cat. # BK163)

Signal-Seeker: BlastR Rapid Lysate Prep Kit (Cat. # BLR01)

Signal-Seeker Acetylation Affinity Beads (Cat.# AAC04-beads)
Description
AAC03, anti-acetyl lysine antibody is a pan-acetyl lysine mouse monoclonal antibody that is part of the Signal-Seeker product line.The Anti-acetyl-lysine antibody recognizes proteins post-translationally modified by acetylation on the epsilon amine groups of lysine residues that occur on 30-50% of all proteins and in particular histones, p53, tubulin and myosin. A proprietary mixture of acetylated proteins was used to produce a highly robust antibody that has been shown to recognize a wide range of acetylated proteins in IP, WB, ChIP and IF applications. This Anti-acetyl-lysine antibody has many advantages when compared to other commercially available antibodies as shown below.
Weight (grams)
13
RRID
AB_2884960
Validation Data
Ac-K Antibody White Paper
AAC03, anti-acetyl lysine antibody is a pan-acetyl lysine mouse monoclonal antibody that is part of the Signal-Seeker product line.The Anti-acetyl-lysine antibody recognizes proteins post-translationally modified by acetylation on the epsilon amine groups of lysine residues that occur on 30-50% of all proteins and in particular histones, p53, tubulin and myosin. A proprietary mixture of acetylated proteins was used to produce a highly robust antibody that has been shown to recognize a wide range of acetylated proteins in IP, WB, ChIP and IF applications. This Anti-acetyl-lysine antibody has many advantagesWhen compared to other commercially available antibodies as shown below.
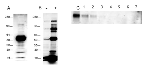
Western Blot using Acetyl-Lysine Antibody (AAC03)
Figure 1 Legend
Fig 1: A: Murine tissue extract, 30 ?g brain extract. B: 30 ?g of Cos-7 cell lysate treated with TSA and nicotinamide (+) or untreated (-). Strongly enhanced bands at 55 and 14-16 kDa in TSA-treated lysate correspond to acetylated tubulin and histone proteins, respectively. C: Titration of acetylated BSA. Lanes 1-5 contain 0.5, 0.1, 0.05, 0.01, and 0.005 ng Ac-BSA, lanes 6-7 contain 500 and 1000 ng non-acetylated BSA, respectively. AAC03 was used at a 1:500 dilution following the recommended western blot protocol. To see the full Western blot comparison, see the Optimized Protocols or the product datasheet. Immunoprecipitation using Acetyl-Lysine Antibody
Figure 2 Legend
Fig 2: Cos-7 cells were either treated (+) or untreated (-) with TSA (1 ?M) and nicotinamide (1 mM) for 6 hours. Cell lysates were prepared in BlastR buffer and filter system and 1 mg of lysate per reaction was used for IP of acetylated proteins. 20 ml of AAC03 was used per IP reaction. Western blots of immunoprecipitated proteins were developed using AAC03-HRP at 1:3000 dilution. To see the full Immunoprecipitation comparison, see the Optimized Protocols or the product datasheet.
Figure 3 Legend
Fig 3: Swiss 3T3 cells, untreated (a and c) or treated (b and d) with TSA (1 ? M for 6 h), were stained as described in the datasheet. Acetylated proteins were visualized using a green fluorescent secondary. Actin fibers were visualized using a red Rhodamine Phalloidin and the nucleus was stained with DAPI. The acetylated microtubule network is clearly visible with TSA-treatment, while the green fluorescent nuclear intensity indicate the high abundance of acetylated proteins in the nucleus. In c and d, acetylated BSA (10 m g/ml) was used to compete for AAC03 binding as an indicator of AAC02 specificity for acetyl-lysine modifications. To see the full Immunofluorescence protocol, see the Optimized Protocols or the product datasheet.
Figure 4 Legend
Fig 4: Utilization of AAC03 for ChIP. Chromatin was prepared from A431 cells, either untreated or treated with TSA (1 ?M) and nicotinamide (1 mM) for 6 hours. ChIP was performed as described. mIgG: mouse IgG used for ChIP control; AAC02: anti-acetyl lysine antibody used for ChIP; Input: cell lysate prior to ChIP; H2O: Water used as PCR control. The PCR products obtained with GAPDH primers are 166 bp. To see the recommended ChIP protocol, see the Optimized Protocols or the product datasheet. Acetylation of proteins can occur as a co-translational or post-translational modification (PTM) (1). Co-translational acetylation occurs at the N-terminal of approximately 85% of mammalian proteins, it is irreversible and is thought to be important in protein stability, localization and synthesis (1). Post-translational acetylation occurs on the epsilon amino group of lysine residues as a reversible and highly dynamic PTM that is known to be a key regulator in multiple cellular events, including chromatin structure, transcription, metabolism, signal transduction and cytoskeletal regulation (2-3). To date over 4, 000 proteins have been identified as targets for PTM acetylation which is comparable to phosphorylation in cellular prevelance (3). Antibody AAC01 detects acetyl lysine PTMs.

Hinweis: Die dargestellten Informationen und Dokumente (Bedienungsanleitung, Produktdatenblatt, Sicherheitsdatenblatt und Analysezertifikat) entsprechen unserem letzten Update und sollten lediglich der Orientierung dienen. Wir übernehmen keine Garantie für die Aktualität. Für spezifische Anforderungen bitten wir Sie, uns eine Anfrage zu stellen.

Alle Produkte sind nur für Forschungszwecke bestimmt. Nicht für den menschlichen, tierärztlichen oder therapeutischen Gebrauch.

Menge: 2 x 100 ul
Lieferbar: In stock
lieferbar

Vergleichen

Auf den Wunschzettel

Angebot anfordern

Lieferzeit anfragen

Technische Frage stellen

Bulk-Anfrage stellen

Fragen zum Produkt?