Vergleich

SLC9A3R1 Antibody

ArtNr PRS-13-051-100uL
Hersteller ProSci
Menge 100 uL
Quantity options 100 uL
Kategorie
Typ Antibody Primary
Format Liquid
Applikationen WB
Specific against Human (Homo sapiens), Mouse (Murine, Mus musculus), Rat (Rattus norvegicus)
Host Rabbit
Isotype IgG
Konjugat/Tag Unconjugated
NCBI SLC9A3R1
ECLASS 10.1 32160702
ECLASS 11.0 32160702
UNSPSC 12352203
Alias SLC9A3R1,EBP50,NPHLOP2,NHERF,NHERF-1,NHERF1
Versandbedingung Gekühlt
Lieferbar
Specificity Human,Mouse,Rat
Manufacturer - Type
Primary Antibodies
Shipping Temperature
Blue Ice
Storage Conditions
Store at -20˚ C. Avoid freeze / thaw cycles.
Molecular Weight
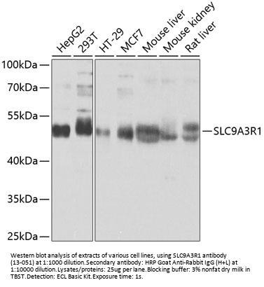
Observed: 50kDa
Manufacturer - Research Area
Cancer, Cell Cycle, Signal Transduction
Background
This gene encodes a sodium/hydrogen exchanger regulatory cofactor. The protein interacts with and regulates various proteins including the cystic fibrosis transmembrane conductance regulator and G-protein coupled receptors such as the beta2-adrenergic receptor and the parathyroid hormone 1 receptor. The protein also interacts with proteins that function as linkers between integral membrane and cytoskeletal proteins. The protein localizes to actin-rich structures including membrane ruffles, microvilli, and filopodia. Mutations in this gene result in hypophosphatemic nephrolithiasis/osteoporosis type 2, and loss of heterozygosity of this gene is implicated in breast cancer.
By Type
Cancer, Cell Cycle, Signal Transduction
Modifications
None
Purification
Affinity purification
Positive Control 1
HepG2
Positive Control 2
293T
Positive Control 3
HT-29
Positive Control 4
MCF7
Positive Control 5
Mouse liver
Positive Control 6
Mouse kidney
Concentration
batch dependent
Buffer
PBS with 0.02% sodium azide, 50% glycerol, pH7.3.
Application Note
WB: 1:1000 - 1:4000
Immunogen
Recombinant fusion protein containing a sequence corresponding to amino acids 189-358 of human SLC9A3R1 (NP_004243.1).
Clonality
Polyclonal
NCBI Official Name
solute carrier family 9, subfamily A (NHE3, cation proton antiporter 3), member 3 regulator 1
NCBI Organism
Homo sapiens
User Note
Optimal dilutions for each application to be determined by the researcher.

Hinweis: Die dargestellten Informationen und Dokumente (Bedienungsanleitung, Produktdatenblatt, Sicherheitsdatenblatt und Analysezertifikat) entsprechen unserem letzten Update und sollten lediglich der Orientierung dienen. Wir übernehmen keine Garantie für die Aktualität. Für spezifische Anforderungen bitten wir Sie, uns eine Anfrage zu stellen.

Alle Produkte sind nur für Forschungszwecke bestimmt. Nicht für den menschlichen, tierärztlichen oder therapeutischen Gebrauch.

Menge: 100 uL
Lieferbar: In stock
lieferbar

Vergleichen

Auf den Wunschzettel

Angebot anfordern

Lieferzeit anfragen

Technische Frage stellen

Bulk-Anfrage stellen

Fragen zum Produkt?
 
Schließen