Vergleich

FABP5 Antibody

ArtNr PRS-13-330-100uL
Hersteller ProSci
Menge 100 uL
Quantity options 100 uL
Kategorie
Typ Antibody Primary
Format Liquid
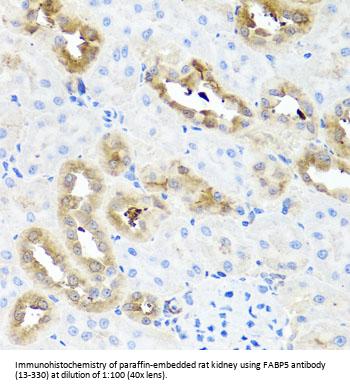
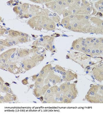
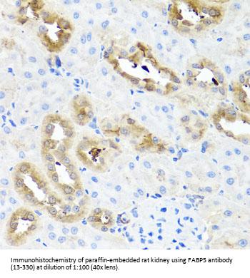
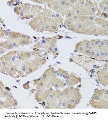
Applikationen WB, IHC
Specific against Human (Homo sapiens), Mouse (Murine, Mus musculus), Rat (Rattus norvegicus)
Host Rabbit
Isotype IgG
Konjugat/Tag Unconjugated
NCBI FABP5
ECLASS 10.1 32160702
ECLASS 11.0 32160702
UNSPSC 12352203
Alias E-FABP,EFABP,KFABP,PA-FABP,PAFABP,fatty acid-binding protein 5,epidermal-type fatty acid-binding protein,fatty acid binding protein 5 (psoriasis-associated),psoriasis-associated fatty acid-binding protein homolog
Versandbedingung Gekühlt
Lieferbar
Specificity Human,Mouse,Rat
Manufacturer - Type
Primary Antibodies
Shipping Temperature
Blue Ice
Storage Conditions
Store at -20˚ C. Avoid freeze / thaw cycles.
Molecular Weight
Observed: 14kDa
Manufacturer - Research Area
Cancer, Signal Transduction
Background
This gene encodes the fatty acid binding protein found in epidermal cells, and was first identified as being upregulated in psoriasis tissue. Fatty acid binding proteins are a family of small, highly conserved, cytoplasmic proteins that bind long-chain fatty acids and other hydrophobic ligands. FABPs may play roles in fatty acid uptake, transport, and metabolism. Polymorphisms in this gene are associated with type 2 diabetes. The human genome contains many pseudogenes similar to this locus.
By Type
Cancer, Signal Transduction
Modifications
None
Purification
Affinity purification
Positive Control 1
293T
Concentration
batch dependent
Buffer
PBS with 0.02% sodium azide, 50% glycerol, pH7.3.
Application Note
WB: 1:500 - 1:2000
IHC: 1:50 - 1:100
Immunogen
Recombinant fusion protein containing a sequence corresponding to amino acids 1-100 of human FABP5 (NP_001435.1).
Clonality
Polyclonal
NCBI Official Name
fatty acid binding protein 5
NCBI Organism
Homo sapiens
User Note
Optimal dilutions for each application to be determined by the researcher.

Hinweis: Die dargestellten Informationen und Dokumente (Bedienungsanleitung, Produktdatenblatt, Sicherheitsdatenblatt und Analysezertifikat) entsprechen unserem letzten Update und sollten lediglich der Orientierung dienen. Wir übernehmen keine Garantie für die Aktualität. Für spezifische Anforderungen bitten wir Sie, uns eine Anfrage zu stellen.

Alle Produkte sind nur für Forschungszwecke bestimmt. Nicht für den menschlichen, tierärztlichen oder therapeutischen Gebrauch.

Menge: 100 uL
Lieferbar: In stock
lieferbar

Vergleichen

Auf den Wunschzettel

Angebot anfordern

Lieferzeit anfragen

Technische Frage stellen

Bulk-Anfrage stellen

Fragen zum Produkt?
 
Schließen