Vergleich

NACA Antibody

ArtNr PRS-13-442-100uL
Hersteller ProSci
Menge 100 uL
Quantity options 100 uL
Kategorie
Typ Antibody Primary
Format Liquid
Applikationen WB, IP, IHC
Specific against Human (Homo sapiens), Mouse (Murine, Mus musculus), Rat (Rattus norvegicus)
Host Rabbit
Isotype IgG
Konjugat/Tag Unconjugated
NCBI NACA
ECLASS 10.1 32160702
ECLASS 11.0 32160702
UNSPSC 12352203
Alias HSD48,NAC-alpha1,skNAC,NACA,nascent polypeptide-associated complex subunit alpha,alpha-NAC,muscle-specific form,nascent-polypeptide-associated complex alpha polypeptide
Versandbedingung Gekühlt
Lieferbar
Specificity Human,Mouse,Rat
Manufacturer - Type
Primary Antibodies
Shipping Temperature
Blue Ice
Storage Conditions
Store at -20˚ C. Avoid freeze / thaw cycles.
Molecular Weight
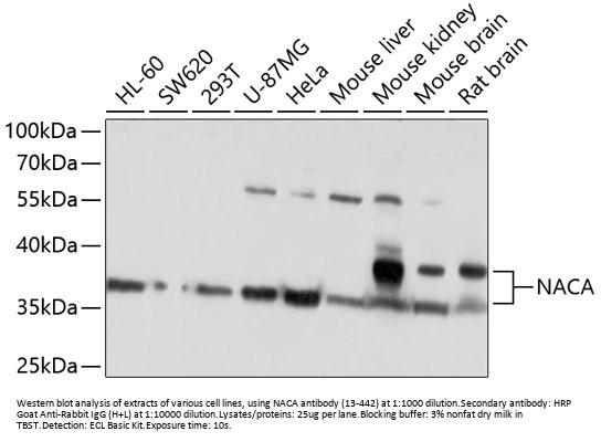
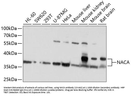
Observed: 37kDa
Manufacturer - Research Area
Other
Background
This gene encodes a protein that associates with basic transcription factor 3 (BTF3) to form the nascent polypeptide-associated complex (NAC). This complex binds to nascent proteins that lack a signal peptide motif as they emerge from the ribosome, blocking interaction with the signal recognition particle (SRP) and preventing mistranslocation to the endoplasmic reticulum. This protein is an IgE autoantigen in atopic dermatitis patients. Alternative splicing results in multiple transcript variants, but the full length nature of some of these variants, including those encoding very large proteins, has not been determined. There are multiple pseudogenes of this gene on different chromosomes.
By Type
Other
Modifications
None
Purification
Affinity purification
Positive Control 1
HL-60
Positive Control 2
SW620
Positive Control 3
293T
Positive Control 4
U-87MG
Positive Control 5
HeLa
Positive Control 6
Mouse liver
Concentration
batch dependent
Buffer
PBS with 0.02% sodium azide, 50% glycerol, pH7.3.
Application Note
WB: 1:500 - 1:2000
IHC: 1:50 - 1:100
IP: 1:50 - 1:100
Immunogen
Recombinant fusion protein containing a sequence corresponding to amino acids 1-215 of human NACA (NP_001106673.1).
Clonality
Polyclonal
NCBI Official Name
nascent polypeptide associated complex subunit alpha
NCBI Organism
Homo sapiens
User Note
Optimal dilutions for each application to be determined by the researcher.

Hinweis: Die dargestellten Informationen und Dokumente (Bedienungsanleitung, Produktdatenblatt, Sicherheitsdatenblatt und Analysezertifikat) entsprechen unserem letzten Update und sollten lediglich der Orientierung dienen. Wir übernehmen keine Garantie für die Aktualität. Für spezifische Anforderungen bitten wir Sie, uns eine Anfrage zu stellen.

Alle Produkte sind nur für Forschungszwecke bestimmt. Nicht für den menschlichen, tierärztlichen oder therapeutischen Gebrauch.

Menge: 100 uL
Lieferbar: In stock
lieferbar

Vergleichen

Auf den Wunschzettel

Angebot anfordern

Lieferzeit anfragen

Technische Frage stellen

Bulk-Anfrage stellen

Fragen zum Produkt?
 
Schließen