Vergleich

MMP16 Antibody

ArtNr PRS-13-634-100uL
Hersteller ProSci
Menge 100 uL
Quantity options 100 uL
Kategorie
Typ Antibody Primary
Format Liquid
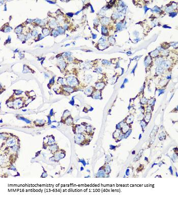
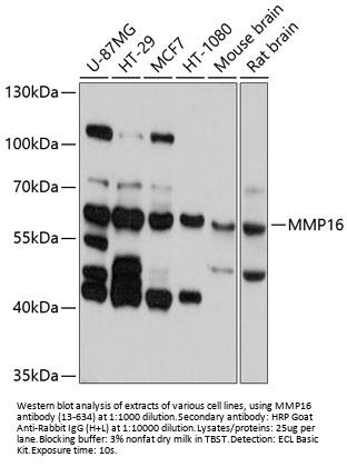
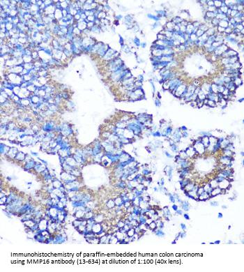
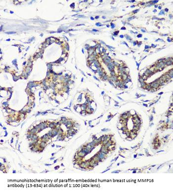
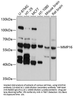
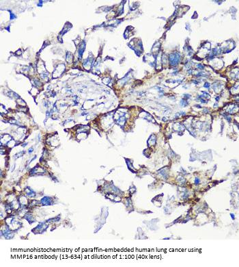
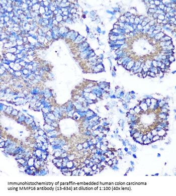
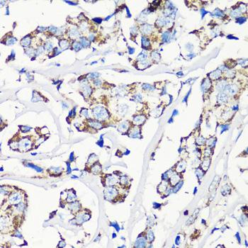
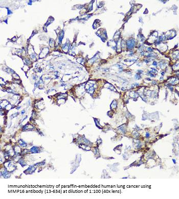
Applikationen WB, IF, IHC
Specific against Human (Homo sapiens), Mouse (Murine, Mus musculus), Rat (Rattus norvegicus)
Host Rabbit
Isotype IgG
Konjugat/Tag Unconjugated
NCBI MMP16
ECLASS 10.1 32160702
ECLASS 11.0 32160702
UNSPSC 12352203
Alias MMP16,C8orf57,MMP-X2,MT-MMP3,MT3MMP,MT-MMP 3,MT-MMP2,MT2-MMP,Matrix metalloproteinase-16,Membrane type 3-MMP,MMP-16,MMPX2,MT3-MMP,MTMMP3
Versandbedingung Gekühlt
Lieferbar
Specificity Human,Mouse,Rat
Manufacturer - Type
Primary Antibodies
Shipping Temperature
Blue Ice
Storage Conditions
Store at -20˚ C. Avoid freeze / thaw cycles.
Molecular Weight
Observed: 60kDa
Manufacturer - Research Area
Cancer, Cell Cycle
Background
Proteins of the matrix metalloproteinase (MMP) family are involved in the breakdown of extracellular matrix in normal physiological processes, such as embryonic development, reproduction, and tissue remodeling, as well as in disease processes, such as arthritis and metastasis. Most MMP's are secreted as inactive proproteins which are activated when cleaved by extracellular proteinases. The encoded protein activates MMP2 by cleavage. This gene was once referred to as MT-MMP2, but was renamed as MT-MMP3 or MMP16.
By Type
Cancer, Cell Cycle
Modifications
None
Purification
Affinity purification
Positive Control 1
U-87MG
Positive Control 2
HT-29
Positive Control 3
MCF7
Positive Control 4
HT-1080
Positive Control 5
Mouse brain
Positive Control 6
Rat brain
Concentration
batch dependent
Buffer
PBS with 0.02% sodium azide, 50% glycerol, pH7.3.
Application Note
WB: 1:500 - 1:2000
IHC: 1:50 - 1:200
IF: 1:50 - 1:200
Immunogen
Recombinant fusion protein containing a sequence corresponding to amino acids 290-565 of human MMP16 (NP_005932.2).
Clonality
Polyclonal
NCBI Official Name
matrix metallopeptidase 16 (membrane-inserted)
NCBI Organism
Homo sapiens
User Note
Optimal dilutions for each application to be determined by the researcher.

Hinweis: Die dargestellten Informationen und Dokumente (Bedienungsanleitung, Produktdatenblatt, Sicherheitsdatenblatt und Analysezertifikat) entsprechen unserem letzten Update und sollten lediglich der Orientierung dienen. Wir übernehmen keine Garantie für die Aktualität. Für spezifische Anforderungen bitten wir Sie, uns eine Anfrage zu stellen.

Alle Produkte sind nur für Forschungszwecke bestimmt. Nicht für den menschlichen, tierärztlichen oder therapeutischen Gebrauch.

Menge: 100 uL
Lieferbar: In stock
lieferbar

Vergleichen

Auf den Wunschzettel

Angebot anfordern

Lieferzeit anfragen

Technische Frage stellen

Bulk-Anfrage stellen

Fragen zum Produkt?
 
Schließen