Vergleich

VAMP2 Antibody

ArtNr PRS-14-457-100uL
Hersteller ProSci
Menge 100 uL
Quantity options 100 uL
Kategorie
Typ Antibody Primary
Format Liquid
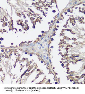
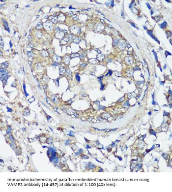
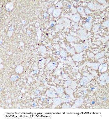
Applikationen WB, IHC
Specific against Human (Homo sapiens), Mouse (Murine, Mus musculus), Rat (Rattus norvegicus)
Host Rabbit
Isotype IgG
Konjugat/Tag Unconjugated
NCBI VAMP2
ECLASS 10.1 32160702
ECLASS 11.0 32160702
UNSPSC 12352203
Alias VAMP2,SYB2,Synaptobrevin 2,VAMP-2,Synaptobrevin-2
Versandbedingung Gekühlt
Lieferbar
Specificity Human,Mouse,Rat
Manufacturer - Type
Primary Antibodies
Shipping Temperature
Blue Ice
Storage Conditions
Store at -20˚ C. Avoid freeze / thaw cycles.
Molecular Weight
Observed: 16kDa
Manufacturer - Research Area
Cancer, Neuroscience, Signal Transduction
Background
The protein encoded by this gene is a member of the vesicle-associated membrane protein (VAMP)/synaptobrevin family. Synaptobrevins/VAMPs, syntaxins, and the 25-kD synaptosomal-associated protein SNAP25 are the main components of a protein complex involved in the docking and/or fusion of synaptic vesicles with the presynaptic membrane. This gene is thought to participate in neurotransmitter release at a step between docking and fusion. The protein forms a stable complex with syntaxin, synaptosomal-associated protein, 25 kD, and synaptotagmin. It also forms a distinct complex with synaptophysin. It is a likely candidate gene for familial infantile myasthenia (FIMG) because of its map location and because it encodes a synaptic vesicle protein of the type that has been implicated in the pathogenesis of FIMG.
By Type
Cancer, Neuroscience, Signal Transduction
Modifications
None
Purification
Affinity purification
Positive Control 1
22Rv1
Positive Control 2
Mouse brain
Positive Control 3
Mouse lung
Positive Control 4
Rat brain
Concentration
batch dependent
Buffer
PBS with 0.02% sodium azide, 50% glycerol, pH7.3.
Application Note
WB: 1:500 - 1:2000
IHC: 1:50 - 1:100
Immunogen
A synthetic peptide corresponding to a sequence within amino acids 1-100 of human VAMP2 (NP_055047.2).
Clonality
Polyclonal
NCBI Official Name
vesicle-associated membrane protein 2 (synaptobrevin 2)
NCBI Organism
Homo sapiens
User Note
Optimal dilutions for each application to be determined by the researcher.

Hinweis: Die dargestellten Informationen und Dokumente (Bedienungsanleitung, Produktdatenblatt, Sicherheitsdatenblatt und Analysezertifikat) entsprechen unserem letzten Update und sollten lediglich der Orientierung dienen. Wir übernehmen keine Garantie für die Aktualität. Für spezifische Anforderungen bitten wir Sie, uns eine Anfrage zu stellen.

Alle Produkte sind nur für Forschungszwecke bestimmt. Nicht für den menschlichen, tierärztlichen oder therapeutischen Gebrauch.

Menge: 100 uL
Lieferbar: In stock
lieferbar

Vergleichen

Auf den Wunschzettel

Angebot anfordern

Lieferzeit anfragen

Technische Frage stellen

Bulk-Anfrage stellen

Fragen zum Produkt?
 
Schließen