Vergleich

Cox2 Antibody

ArtNr PRS-14-486-100uL
Hersteller ProSci
Menge 100 uL
Quantity options 100 uL
Kategorie
Typ Antibody Primary
Format Liquid
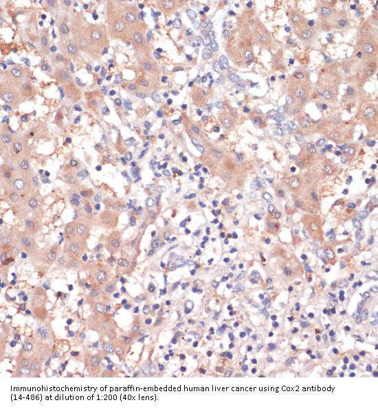
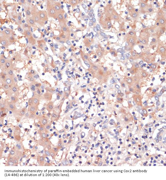
Applikationen WB, IF, IP, IHC
Specific against Human (Homo sapiens), Mouse (Murine, Mus musculus), Rat (Rattus norvegicus)
Host Rabbit
Isotype IgG
Konjugat/Tag Unconjugated
NCBI PTGS2
ECLASS 10.1 32160702
ECLASS 11.0 32160702
UNSPSC 12352203
Alias COX-2,prostaglandin-endoperoxide synthase 2 (prostaglandin G/H synthase and cyclooxygenase),COX2,COX-2,PHS-2,PGG/HS,PGHS-2,hCox-2,prostaglandin G/H synthase and cyclooxygenase
Versandbedingung Gekühlt
Lieferbar
Specificity Human,Mouse,Rat
Manufacturer - Type
Primary Antibodies
Shipping Temperature
Blue Ice
Storage Conditions
Store at -20˚ C. Avoid freeze / thaw cycles.
Molecular Weight
Observed: 80kDa
Manufacturer - Research Area
Cancer, Signal Transduction
Background
Prostaglandin-endoperoxide synthase (PTGS), also known as cyclooxygenase, is the key enzyme in prostaglandin biosynthesis, and acts both as a dioxygenase and as a peroxidase. There are two isozymes of PTGS: a constitutive PTGS1 and an inducible PTGS2, which differ in their regulation of expression and tissue distribution. This gene encodes the inducible isozyme. It is regulated by specific stimulatory events, suggesting that it is responsible for the prostanoid biosynthesis involved in inflammation and mitogenesis.
By Type
Cancer, Signal Transduction
Modifications
None
Purification
Affinity purification
Positive Control 1
A-549
Positive Control 2
HeLa
Positive Control 3
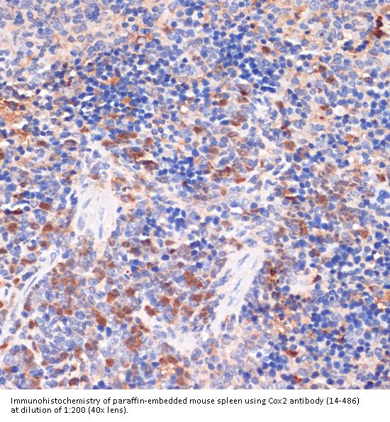
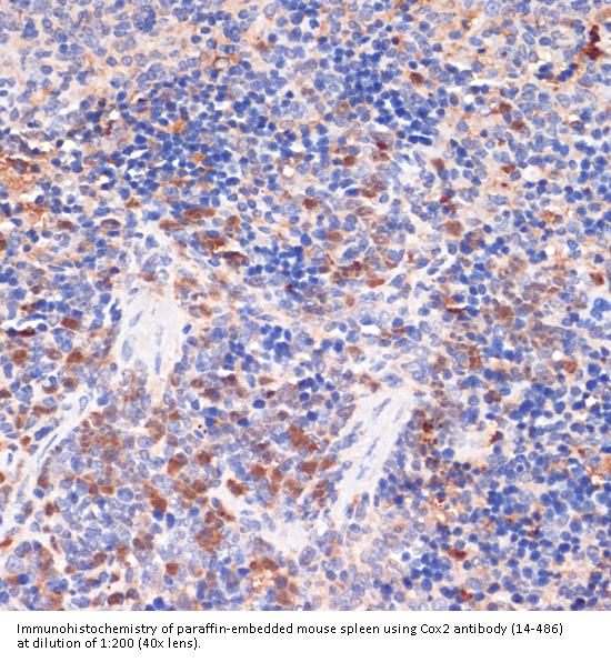
Mouse spleen
Positive Control 4
Mouse lung
Positive Control 5
Rat lung
Positive Control 6
Rat kidney
Concentration
batch dependent
Buffer
PBS with 0.02% sodium azide, 50% glycerol, pH7.3.
Application Note
WB: 1:1000 - 1:4000
IHC: 1:50 - 1:100
IF: 1:50 - 1:100
IP: 1:50 - 1:100
Immunogen
Recombinant fusion protein containing a sequence corresponding to amino acids 375-604 of human Cox2 (NP_000954.1).
Clonality
Polyclonal
NCBI Official Name
prostaglandin-endoperoxide synthase 2 (prostaglandin G/H synthase and cyclooxygenase)
NCBI Organism
Homo sapiens
User Note
Optimal dilutions for each application to be determined by the researcher.

Hinweis: Die dargestellten Informationen und Dokumente (Bedienungsanleitung, Produktdatenblatt, Sicherheitsdatenblatt und Analysezertifikat) entsprechen unserem letzten Update und sollten lediglich der Orientierung dienen. Wir übernehmen keine Garantie für die Aktualität. Für spezifische Anforderungen bitten wir Sie, uns eine Anfrage zu stellen.

Alle Produkte sind nur für Forschungszwecke bestimmt. Nicht für den menschlichen, tierärztlichen oder therapeutischen Gebrauch.

Menge: 100 uL
Lieferbar: In stock
lieferbar

Vergleichen

Auf den Wunschzettel

Angebot anfordern

Lieferzeit anfragen

Technische Frage stellen

Bulk-Anfrage stellen

Fragen zum Produkt?
 
Schließen