Vergleich

Mitofusin 2 Antibody

ArtNr PRS-15-100-100uL
Hersteller ProSci
Menge 100 uL
Quantity options 100 uL
Kategorie
Typ Antibody Primary
Format Liquid
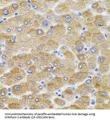
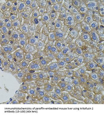
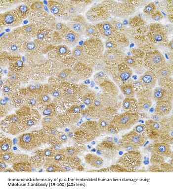
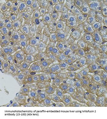
Applikationen WB, IHC
Specific against Human (Homo sapiens), Mouse (Murine, Mus musculus), Rat (Rattus norvegicus)
Host Rabbit
Isotype IgG
Konjugat/Tag Unconjugated
NCBI MFN2
ECLASS 10.1 32160702
ECLASS 11.0 32160702
UNSPSC 12352203
Alias D630023P19Rik,Fzo,mitofusin-2,HSG protein,hypertension related protein 1,mitochondrial assembly regulatory factor,transmembrane GTPase MFN2
Versandbedingung Gekühlt
Lieferbar
Specificity Human,Mouse,Rat
Manufacturer - Type
Primary Antibodies
Shipping Temperature
Blue Ice
Storage Conditions
Store at -20˚ C. Avoid freeze / thaw cycles.
Molecular Weight
Observed: 86kDa
Manufacturer - Research Area
Apoptosis, Autophagy, Cancer, Cell Cycle, Neuroscience, Signal Transduction
Background
This gene encodes a mitochondrial membrane protein that participates in mitochondrial fusion and contributes to the maintenance and operation of the mitochondrial network. This protein is involved in the regulation of vascular smooth muscle cell proliferation, and it may play a role in the pathophysiology of obesity. Mutations in this gene cause Charcot-Marie-Tooth disease type 2A2, and hereditary motor and sensory neuropathy VI, which are both disorders of the peripheral nervous system. Defects in this gene have also been associated with early-onset stroke. Two transcript variants encoding the same protein have been identified.
By Type
Apoptosis, Autophagy, Cancer, Cell Cycle, Neuroscience, Signal Transduction
Modifications
None
Purification
Affinity purification
Positive Control 1
Mouse brain
Positive Control 2
Rat brain
Concentration
batch dependent
Buffer
PBS with 0.02% sodium azide, 50% glycerol, pH7.3.
Application Note
WB: 1:500 - 1:2000
IHC: 1:50 - 1:200
Immunogen
Recombinant fusion protein containing a sequence corresponding to amino acids 687-757 of mouse Mitofusin 2 (NP_573464.2).
Clonality
Polyclonal
NCBI Official Name
mitofusin 2
NCBI Organism
Mus musculus
User Note
Optimal dilutions for each application to be determined by the researcher.

Hinweis: Die dargestellten Informationen und Dokumente (Bedienungsanleitung, Produktdatenblatt, Sicherheitsdatenblatt und Analysezertifikat) entsprechen unserem letzten Update und sollten lediglich der Orientierung dienen. Wir übernehmen keine Garantie für die Aktualität. Für spezifische Anforderungen bitten wir Sie, uns eine Anfrage zu stellen.

Alle Produkte sind nur für Forschungszwecke bestimmt. Nicht für den menschlichen, tierärztlichen oder therapeutischen Gebrauch.

Menge: 100 uL
Lieferbar: In stock
lieferbar

Vergleichen

Auf den Wunschzettel

Angebot anfordern

Lieferzeit anfragen

Technische Frage stellen

Bulk-Anfrage stellen

Fragen zum Produkt?
 
Schließen