Vergleich

Anti-Phospho-HTT-Ser421 antibody (387-436 aa) (STJ91160) Europäischer Partner

ArtNr STJ91160-100
Hersteller St John's Laboratory
Menge 100 ug
Quantity options 100 ug 20 ug 200 ug 50 ug
Kategorie
Typ Antibody Polyclonal
Format Liquid
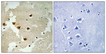
Applikationen IF, IHC, ELISA
Specific against Human (Homo sapiens), Mouse (Murine, Mus musculus), Rat (Rattus norvegicus)
Host Rabbit
Isotype IgG
Konjugat/Tag Unconjugated
ECLASS 10.1 32160702
ECLASS 11.0 32160702
UNSPSC 12352203
Alias Anti-Huntingtin antibody, Anti-Huntington Disease Protein antibody, Anti-Hd Protein [Cleaved Into-Huntingtin-Myristoylated N-Terminal Fragment] antibody, Anti-HTT HD IT15 antibody
Similar products Anti-Huntingtin antibody
Anti-Huntington Disease Protein antibody
Anti-Hd Protein [Cleaved Into-Huntingtin-Myristoylated N-Terminal Fragment] antibody
Anti-HTT HD IT15 antibody
Lieferbar
Manufacturer - Type
Primary antibodies
Manufacturer - Targets
HTT
Storage Conditions
Store at-20°C for up to 1 year from the date of receipt, and avoid repeat freeze-thaw cycles.
Formulation
Liquid in PBS containing 50% Glycerol, 0.5% BSA and 0.02% Sodium Azide.
Concentration
1 mg/mL
Purification
The antibody was affinity-purified from rabbit antiserum by affinity-chromatography using epitope-specific immunogen.
Immunogen
The antiserum was produced against synthesized peptide derived from the human Huntingtin around the phosphorylation site of Ser421 at the amino acid range 387-436
Clonality
Polyclonal
Gene symbol
HTT
Dilution range
IHC 1:100-1:300
ELISA 1:5000
IF 1:50-200
Note
STRICTLY FOR FURTHER SCIENTIFIC RESEARCH USE ONLY (RUO). MUST NOT TO BE USED IN DIAGNOSTIC OR THERAPEUTIC APPLICATIONS.
Immunogen Region
387-436 aa
Manufacturer - Specificity
Phospho-Huntingtin (S421) Polyclonal Antibody detects endogenous levels of Huntingtin protein only when phosphorylated at S421.

Hinweis: Die dargestellten Informationen und Dokumente (Bedienungsanleitung, Produktdatenblatt, Sicherheitsdatenblatt und Analysezertifikat) entsprechen unserem letzten Update und sollten lediglich der Orientierung dienen. Wir übernehmen keine Garantie für die Aktualität. Für spezifische Anforderungen bitten wir Sie, uns eine Anfrage zu stellen.

Alle Produkte sind nur für Forschungszwecke bestimmt. Nicht für den menschlichen, tierärztlichen oder therapeutischen Gebrauch.

Menge: 100 ug
Lieferbar: In stock
lieferbar

Vergleichen

Auf den Wunschzettel

Angebot anfordern

Lieferzeit anfragen

Technische Frage stellen

Bulk-Anfrage stellen

Fragen zum Produkt?
 
Schließen