Vergleich

Anti-Phospho-TCF3-Thr355 antibody (321-370 aa) (STJ91252) Europäischer Partner

ArtNr STJ91252-50
Hersteller St John's Laboratory
Menge 50 ug
Quantity options 100 ug 20 ug 200 ug 50 ug
Kategorie
Typ Antibody Polyclonal
Format Liquid
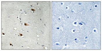
Applikationen IF, IHC, ELISA
Specific against Human (Homo sapiens), Mouse (Murine, Mus musculus), Rat (Rattus norvegicus)
Host Rabbit
Isotype IgG
Konjugat/Tag Unconjugated
ECLASS 10.1 32160702
ECLASS 11.0 32160702
UNSPSC 12352203
Alias Anti-Transcription Factor E2-Alpha antibody, Anti-Class B Basic Helix-Loop-Helix Protein 21 antibody, Anti-Bhlhb21 antibody, Anti-Immunoglobulin Enhancer-Binding Factor E12/E47 antibody, Anti-Immunoglobulin Transcription Factor 1 antibody, Anti-Kappa-E2-Binding Factor antibody, Anti-Transcription Factor 3 antibody, Anti-Tcf-3 antibody, Anti-Transcription Factor Itf-1 antibody, Anti-TCF3 BHLHB21 E2A ITF1 antibody
Similar products Anti-Transcription Factor E2-Alpha antibody
Anti-Class B Basic Helix-Loop-Helix Protein 21 antibody
Anti-Bhlhb21 antibody
Anti-Immunoglobulin Enhancer-Binding Factor E12/E47 antibody
Anti-Immunoglobulin Transcription Factor 1 antibody
Lieferbar
Manufacturer - Type
Primary antibodies
Manufacturer - Targets
TCF3
Storage Conditions
Store at-20°C for up to 1 year from the date of receipt, and avoid repeat freeze-thaw cycles.
Formulation
Liquid in PBS containing 50% Glycerol, 0.5% BSA and 0.02% Sodium Azide.
Concentration
1 mg/mL
Purification
The antibody was affinity-purified from rabbit antiserum by affinity-chromatography using epitope-specific immunogen.
Immunogen
The antiserum was produced against synthesized peptide derived from the human E2A around the phosphorylation site of Thr355 at the amino acid range 321-370
Clonality
Polyclonal
Gene symbol
TCF3
Dilution range
IHC 1:100-1:300
ELISA 1:5000
IF 1:50-200
Note
STRICTLY FOR FURTHER SCIENTIFIC RESEARCH USE ONLY (RUO). MUST NOT TO BE USED IN DIAGNOSTIC OR THERAPEUTIC APPLICATIONS.
Immunogen Region
321-370 aa
Manufacturer - Specificity
Phospho-E2A (T355) Polyclonal Antibody detects endogenous levels of E2A protein only when phosphorylated at T355.

Hinweis: Die dargestellten Informationen und Dokumente (Bedienungsanleitung, Produktdatenblatt, Sicherheitsdatenblatt und Analysezertifikat) entsprechen unserem letzten Update und sollten lediglich der Orientierung dienen. Wir übernehmen keine Garantie für die Aktualität. Für spezifische Anforderungen bitten wir Sie, uns eine Anfrage zu stellen.

Alle Produkte sind nur für Forschungszwecke bestimmt. Nicht für den menschlichen, tierärztlichen oder therapeutischen Gebrauch.

Menge: 50 ug
Lieferbar: In stock
lieferbar

Vergleichen

Auf den Wunschzettel

Angebot anfordern

Lieferzeit anfragen

Technische Frage stellen

Bulk-Anfrage stellen

Fragen zum Produkt?
 
Schließen