Vergleich

Anti-Phospho-NMDA Epsilon 1/2-Tyr1246/1252 antibody (1216-1265 aa) (STJ91307) Europäischer Partner

ArtNr STJ91307-100
Hersteller St John's Laboratory
Menge 100 ug
Quantity options 100 ug 20 ug 200 ug 50 ug
Kategorie
Typ Antibody Polyclonal
Format Liquid
Applikationen WB, IF, IHC, ELISA
Specific against Human (Homo sapiens), Mouse (Murine, Mus musculus), Rat (Rattus norvegicus)
Host Rabbit
Isotype IgG
Konjugat/Tag Unconjugated
ECLASS 10.1 32160702
ECLASS 11.0 32160702
UNSPSC 12352203
Alias Anti-Glutamate Receptor Ionotropic-Nmda 2a antibody, Anti-Glun2a antibody, Anti-Glutamate [Nmda] Receptor Subunit Epsilon-1 antibody, Anti-N-Methyl D-Aspartate Receptor Subtype 2a antibody, Anti-Nmdar2a antibody, Anti-Nr2a antibody, Anti-Hnr2a antibody, Anti-GRIN2A NMDAR2A antibody
Similar products Anti-Glutamate Receptor Ionotropic-Nmda 2a antibody
Anti-Glun2a antibody
Anti-Glutamate [Nmda] Receptor Subunit Epsilon-1 antibody
Anti-N-Methyl D-Aspartate Receptor Subtype 2a antibody
Anti-Nmdar2a antibody
Anti-Nr2a antibody
Anti
Lieferbar
Manufacturer - Type
Primary antibodies
Manufacturer - Targets
GRIN2A/GRIN2B
Storage Conditions
Store at-20°C for up to 1 year from the date of receipt, and avoid repeat freeze-thaw cycles.
Formulation
Liquid in PBS containing 50% Glycerol, 0.5% BSA and 0.02% Sodium Azide.
Concentration
1 mg/mL
Purification
The antibody was affinity-purified from rabbit antiserum by affinity-chromatography using epitope-specific immunogen.
Immunogen
The antiserum was produced against synthesized peptide derived from the human NMDAR2A/B around the phosphorylation site of Tyr1246/1252 at the amino acid range 1216-1265
Clonality
Polyclonal
Gene symbol
GRIN2A/GRIN2B
Dilution range
WB 1:500-2000
IHC 1:100-1:300
IF 1:200-1:1000
ELISA 1:10000
Note
STRICTLY FOR FURTHER SCIENTIFIC RESEARCH USE ONLY (RUO). MUST NOT TO BE USED IN DIAGNOSTIC OR THERAPEUTIC APPLICATIONS.
Immunogen Region
1216-1265 aa
Manufacturer - Specificity
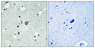
Phospho-NMDA Epsilon 1/2 (Y1246/1252) Polyclonal Antibody detects endogenous levels of NMDA Epsilon 1/2 protein only when phosphorylated at Y1246/1252.

Hinweis: Die dargestellten Informationen und Dokumente (Bedienungsanleitung, Produktdatenblatt, Sicherheitsdatenblatt und Analysezertifikat) entsprechen unserem letzten Update und sollten lediglich der Orientierung dienen. Wir übernehmen keine Garantie für die Aktualität. Für spezifische Anforderungen bitten wir Sie, uns eine Anfrage zu stellen.

Alle Produkte sind nur für Forschungszwecke bestimmt. Nicht für den menschlichen, tierärztlichen oder therapeutischen Gebrauch.

Menge: 100 ug
Lieferbar: In stock
lieferbar

Vergleichen

Auf den Wunschzettel

Angebot anfordern

Lieferzeit anfragen

Technische Frage stellen

Bulk-Anfrage stellen

Fragen zum Produkt?
 
Schließen