Vergleich

Anti-Akt antibody (281-330 aa) (STJ91550) Europäischer Partner

ArtNr STJ91550-200
Hersteller St John's Laboratory
Menge 200 ug
Quantity options 100 ug 20 ug 200 ug 50 ug
Kategorie
Typ Antibody Polyclonal
Format Liquid
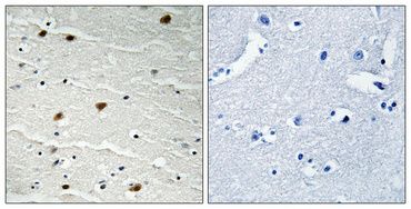
Applikationen WB, IF, IHC, ELISA
Specific against Human (Homo sapiens), Mouse (Murine, Mus musculus), Rat (Rattus norvegicus), Chicken (Gallus gallus domesticus)
Host Rabbit
Isotype IgG
Konjugat/Tag Unconjugated
ECLASS 10.1 32160702
ECLASS 11.0 32160702
UNSPSC 12352203
Alias Anti-Rac-Alpha Serine/Threonine-Protein Kinase antibody, Anti-Protein Kinase B antibody, Anti-Pkb antibody, Anti-Protein Kinase B Alpha antibody, Anti-Pkb Alpha antibody, Anti-Proto-Oncogene C-Akt antibody, Anti-Rac-Pk-Alpha antibody, Anti-AKT1 PKB RAC antibody
Similar products Anti-Rac-Alpha Serine/Threonine-Protein Kinase antibody
Anti-Protein Kinase B antibody
Anti-Pkb antibody
Anti-Protein Kinase B Alpha antibody
Anti-Pkb Alpha antibody
Anti-Proto-Oncogene C-Akt antibody
Anti-Rac-Pk-Alpha antibody
Lieferbar
Manufacturer - Type
Primary antibodies
Manufacturer - Targets
AKT1/AKT2/AKT3
Storage Conditions
Store at-20°C for up to 1 year from the date of receipt, and avoid repeat freeze-thaw cycles.
Formulation
Liquid in PBS containing 50% Glycerol, 0.5% BSA and 0.02% Sodium Azide.
Concentration
1 mg/mL
Purification
The antibody was affinity-purified from rabbit antiserum by affinity-chromatography using epitope-specific immunogen.
Immunogen
The antiserum was produced against synthesized peptide derived from the human AKT1/2/3 at the amino acid range 281-330
Clonality
Polyclonal
Gene symbol
AKT1/AKT2/AKT3
Dilution range
IF 1:50-200
WB 1:500-1:2000
IHC 1:100-1:300
ELISA 1:40000
Note
STRICTLY FOR FURTHER SCIENTIFIC RESEARCH USE ONLY (RUO). MUST NOT TO BE USED IN DIAGNOSTIC OR THERAPEUTIC APPLICATIONS.
Immunogen Region
281-330 aa
Manufacturer - Specificity
Akt Polyclonal Antibody detects endogenous levels of Akt protein.

Hinweis: Die dargestellten Informationen und Dokumente (Bedienungsanleitung, Produktdatenblatt, Sicherheitsdatenblatt und Analysezertifikat) entsprechen unserem letzten Update und sollten lediglich der Orientierung dienen. Wir übernehmen keine Garantie für die Aktualität. Für spezifische Anforderungen bitten wir Sie, uns eine Anfrage zu stellen.

Alle Produkte sind nur für Forschungszwecke bestimmt. Nicht für den menschlichen, tierärztlichen oder therapeutischen Gebrauch.

Menge: 200 ug
Lieferbar: In stock
lieferbar

Vergleichen

Auf den Wunschzettel

Angebot anfordern

Lieferzeit anfragen

Technische Frage stellen

Bulk-Anfrage stellen

Fragen zum Produkt?
 
Schließen