Vergleich

Anti-CEBPB antibody (201-250 aa) (STJ91918) Europäischer Partner

ArtNr STJ91918-100
Hersteller St John's Laboratory
Menge 100 ug
Quantity options 100 ug 20 ug 200 ug 50 ug
Kategorie
Typ Antibody Polyclonal
Format Liquid
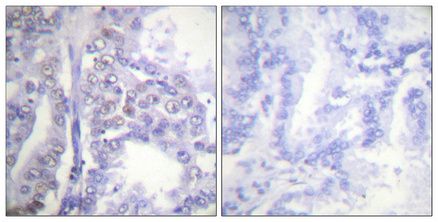
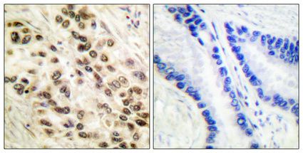
Applikationen WB, IF, IHC, ELISA
Specific against Human (Homo sapiens), Mouse (Murine, Mus musculus), Rat (Rattus norvegicus), Pig (Porcine, Sus scrofa domesticus)
Host Rabbit
Isotype IgG
Konjugat/Tag Unconjugated
ECLASS 10.1 32160702
ECLASS 11.0 32160702
UNSPSC 12352203
Alias Anti-Ccaat/Enhancer-Binding Protein Beta antibody, Anti-C/Ebp Beta antibody, Anti-Liver Activator Protein antibody, Anti-Lap antibody, Anti-Liver-Enriched Inhibitory Protein antibody, Anti-Lip antibody, Anti-Nuclear Factor Nf-Il6 antibody, Anti-Transcription Factor 5 antibody, Anti-Tcf-5 antibody, Anti-CEBPB TCF5 PP9092 antibody
Similar products Anti-Ccaat/Enhancer-Binding Protein Beta antibody
Anti-C/Ebp Beta antibody
Anti-Liver Activator Protein antibody
Anti-Lap antibody
Anti-Liver-Enriched Inhibitory Protein antibody
Anti-Lip antibody
Anti-Nuclear Factor Nf-Il6 antibod
Lieferbar
Manufacturer - Type
Primary antibodies
Manufacturer - Targets
CEBPB
Storage Conditions
Store at-20°C for up to 1 year from the date of receipt, and avoid repeat freeze-thaw cycles.
Formulation
Liquid in PBS containing 50% Glycerol, 0.5% BSA and 0.02% Sodium Azide.
Concentration
1 mg/mL
Purification
The antibody was affinity-purified from rabbit antiserum by affinity-chromatography using epitope-specific immunogen.
Immunogen
The antiserum was produced against synthesized peptide derived from the human C/EBP-beta at the amino acid range 201-250
Clonality
Polyclonal
Gene symbol
CEBPB
Dilution range
IF 1:50-200
WB 1:500-1:2000
IHC 1:100-1:300
ELISA 1:10000
Note
STRICTLY FOR FURTHER SCIENTIFIC RESEARCH USE ONLY (RUO). MUST NOT TO BE USED IN DIAGNOSTIC OR THERAPEUTIC APPLICATIONS.
Immunogen Region
201-250 aa
Manufacturer - Specificity
C/EBP Beta Polyclonal Antibody detects endogenous levels of C/EBP Beta protein.

Hinweis: Die dargestellten Informationen und Dokumente (Bedienungsanleitung, Produktdatenblatt, Sicherheitsdatenblatt und Analysezertifikat) entsprechen unserem letzten Update und sollten lediglich der Orientierung dienen. Wir übernehmen keine Garantie für die Aktualität. Für spezifische Anforderungen bitten wir Sie, uns eine Anfrage zu stellen.

Alle Produkte sind nur für Forschungszwecke bestimmt. Nicht für den menschlichen, tierärztlichen oder therapeutischen Gebrauch.

Menge: 100 ug
Lieferbar: In stock
lieferbar

Vergleichen

Auf den Wunschzettel

Angebot anfordern

Lieferzeit anfragen

Technische Frage stellen

Bulk-Anfrage stellen

Fragen zum Produkt?
 
Schließen