Vergleich

Anti-CD9 antibody (101-150 aa) (STJ92147) Europäischer Partner

ArtNr STJ92147-200
Hersteller St John's Laboratory
Menge 200 ug
Quantity options 100 ug 20 ug 200 ug 50 ug
Kategorie
Typ Antibody Polyclonal
Format Liquid
Applikationen WB, IF, IHC, ELISA
Specific against Human (Homo sapiens), Mouse (Murine, Mus musculus), Rat (Rattus norvegicus)
Host Rabbit
Isotype IgG
Konjugat/Tag Unconjugated
ECLASS 10.1 32160702
ECLASS 11.0 32160702
UNSPSC 12352203
Alias Anti-Cd9 Antigen antibody, Anti-5h9 Antigen antibody, Anti-Cell Growth-Inhibiting Gene 2 Protein antibody, Anti-Leukocyte Antigen Mic3 antibody, Anti-Motility-Related Protein antibody, Anti-Mrp-1 antibody, Anti-Tetraspanin-29 antibody, Anti-Tspan-29 antibody, Anti-P24 antibody, Anti-Cd Antigen Cd9 antibody, Anti-CD9 MIC3 TSPAN29 GIG2 antibody
Similar products Anti-Cd9 Antigen antibody
Anti-5h9 Antigen antibody
Anti-Cell Growth-Inhibiting Gene 2 Protein antibody
Anti-Leukocyte Antigen Mic3 antibody
Anti-Motility-Related Protein antibody
Anti-Mrp-1 antibody
Anti-Tetraspanin-29 antibody
Lieferbar
Manufacturer - Type
Primary antibodies
Manufacturer - Targets
CD9
Storage Conditions
Store at-20°C for up to 1 year from the date of receipt, and avoid repeat freeze-thaw cycles.
Formulation
Liquid in PBS containing 50% Glycerol, 0.5% BSA and 0.02% Sodium Azide.
Concentration
1 mg/mL
Purification
The antibody was affinity-purified from rabbit antiserum by affinity-chromatography using epitope-specific immunogen.
Immunogen
The antiserum was produced against synthesized peptide derived from the human CD9 at the amino acid range 101-150
Clonality
Polyclonal
Gene symbol
CD9
Dilution range
WB 1:500-1:2000
IHC-P 1:100-300
ELISA 1:20000
IF 1:100-300
Note
STRICTLY FOR FURTHER SCIENTIFIC RESEARCH USE ONLY (RUO). MUST NOT TO BE USED IN DIAGNOSTIC OR THERAPEUTIC APPLICATIONS.
Immunogen Region
101-150 aa
Manufacturer - Specificity
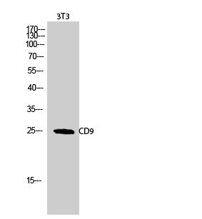
CD9 Polyclonal Antibody detects endogenous levels of CD9 protein.

Hinweis: Die dargestellten Informationen und Dokumente (Bedienungsanleitung, Produktdatenblatt, Sicherheitsdatenblatt und Analysezertifikat) entsprechen unserem letzten Update und sollten lediglich der Orientierung dienen. Wir übernehmen keine Garantie für die Aktualität. Für spezifische Anforderungen bitten wir Sie, uns eine Anfrage zu stellen.

Alle Produkte sind nur für Forschungszwecke bestimmt. Nicht für den menschlichen, tierärztlichen oder therapeutischen Gebrauch.

Menge: 200 ug
Lieferbar: In stock
lieferbar

Vergleichen

Auf den Wunschzettel

Angebot anfordern

Lieferzeit anfragen

Technische Frage stellen

Bulk-Anfrage stellen

Fragen zum Produkt?
 
Schließen