Vergleich

Anti-GRIK1 antibody (10-59 aa) (STJ93290) Europäischer Partner

ArtNr STJ93290-50
Hersteller St John's Laboratory
Menge 50 ug
Quantity options 100 ug 20 ug 200 ug 50 ug
Kategorie
Typ Antibody Polyclonal
Format Liquid
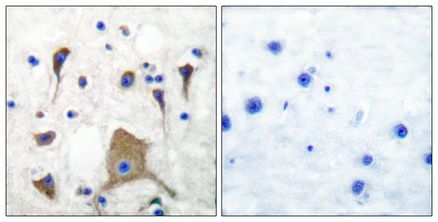
Applikationen WB, IF, IHC, ELISA
Specific against Human (Homo sapiens), Mouse (Murine, Mus musculus), Rat (Rattus norvegicus)
Host Rabbit
Isotype IgG
Konjugat/Tag Unconjugated
ECLASS 10.1 32160702
ECLASS 11.0 32160702
UNSPSC 12352203
Alias Anti-Glutamate Receptor Ionotropic-Kainate 1 antibody, Anti-Gluk1 antibody, Anti-Excitatory Amino Acid Receptor 3 antibody, Anti-Eaa3 antibody, Anti-Glutamate Receptor 5 antibody, Anti-Glur-5 antibody, Anti-Glur5 antibody, Anti-GRIK1 GLUR5 antibody
Similar products Anti-Glutamate Receptor Ionotropic-Kainate 1 antibody
Anti-Gluk1 antibody
Anti-Excitatory Amino Acid Receptor 3 antibody
Anti-Eaa3 antibody
Anti-Glutamate Receptor 5 antibody
Anti-Glur-5 antibody
Anti-Glur5 antibody
Anti-GRIK1
Lieferbar
Manufacturer - Type
Primary antibodies
Manufacturer - Targets
GRIK1
Storage Conditions
Store at-20°C for up to 1 year from the date of receipt, and avoid repeat freeze-thaw cycles.
Formulation
Liquid in PBS containing 50% Glycerol, 0.5% BSA and 0.02% Sodium Azide.
Concentration
1 mg/mL
Purification
The antibody was affinity-purified from rabbit antiserum by affinity-chromatography using epitope-specific immunogen.
Immunogen
The antiserum was produced against synthesized peptide derived from the human GluR5 at the amino acid range 10-59
Clonality
Polyclonal
Gene symbol
GRIK1
Dilution range
WB 1:500-1:2000
IHC 1:100-1:300
ELISA 1:40000
IF 1:50-200
Note
STRICTLY FOR FURTHER SCIENTIFIC RESEARCH USE ONLY (RUO). MUST NOT TO BE USED IN DIAGNOSTIC OR THERAPEUTIC APPLICATIONS.
Immunogen Region
10-59 aa
Manufacturer - Specificity
GluR-5 Polyclonal Antibody detects endogenous levels of GluR-5 protein.

Hinweis: Die dargestellten Informationen und Dokumente (Bedienungsanleitung, Produktdatenblatt, Sicherheitsdatenblatt und Analysezertifikat) entsprechen unserem letzten Update und sollten lediglich der Orientierung dienen. Wir übernehmen keine Garantie für die Aktualität. Für spezifische Anforderungen bitten wir Sie, uns eine Anfrage zu stellen.

Alle Produkte sind nur für Forschungszwecke bestimmt. Nicht für den menschlichen, tierärztlichen oder therapeutischen Gebrauch.

Menge: 50 ug
Lieferbar: In stock
lieferbar

Vergleichen

Auf den Wunschzettel

Angebot anfordern

Lieferzeit anfragen

Technische Frage stellen

Bulk-Anfrage stellen

Fragen zum Produkt?
 
Schließen