Vergleich

Anti-WNK1 antibody (24-73 aa) (STJ96271) Europäischer Partner

ArtNr STJ96271-50
Hersteller St John's Laboratory
Menge 50 ug
Quantity options 100 ug 20 ug 200 ug 50 ug
Kategorie
Typ Antibody Polyclonal
Format Liquid
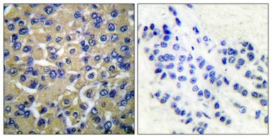
Applikationen WB, IF, IHC, ELISA
Specific against Human (Homo sapiens), Mouse (Murine, Mus musculus), Rat (Rattus norvegicus)
Host Rabbit
Isotype IgG
Konjugat/Tag Unconjugated
ECLASS 10.1 32160702
ECLASS 11.0 32160702
UNSPSC 12352203
Alias Anti-Serine/Threonine-Protein Kinase Wnk1 antibody, Anti-Erythrocyte 65 Kda Protein antibody, Anti-P65 antibody, Anti-Kinase Deficient Protein antibody, Anti-Protein Kinase Lysine-Deficient 1 antibody, Anti-Protein Kinase With No Lysine 1 antibody, Anti-Hwnk1 antibody, Anti-WNK1 HSN2 KDP KIAA0344 PRKWNK1 antibody
Similar products Anti-Serine/Threonine-Protein Kinase Wnk1 antibody
Anti-Erythrocyte 65 Kda Protein antibody
Anti-P65 antibody
Anti-Kinase Deficient Protein antibody
Anti-Protein Kinase Lysine-Deficient 1 antibody
Anti-Protein Kinase With No Lysine 1 a
Lieferbar
Manufacturer - Type
Primary antibodies
Manufacturer - Targets
WNK1
Storage Conditions
Store at-20°C for up to 1 year from the date of receipt, and avoid repeat freeze-thaw cycles.
Formulation
Liquid in PBS containing 50% Glycerol, 0.5% BSA and 0.02% Sodium Azide.
Concentration
1 mg/mL
Purification
The antibody was affinity-purified from rabbit antiserum by affinity-chromatography using epitope-specific immunogen.
Immunogen
The antiserum was produced against synthesized peptide derived from the human WNK1 at the amino acid range 24-73
Clonality
Polyclonal
Gene symbol
WNK1
Dilution range
WB 1:500-1:2000
IHC 1:100-1:300
ELISA 1:10000
IF 1:50-200
Note
STRICTLY FOR FURTHER SCIENTIFIC RESEARCH USE ONLY (RUO). MUST NOT TO BE USED IN DIAGNOSTIC OR THERAPEUTIC APPLICATIONS.
Immunogen Region
24-73 aa
Manufacturer - Specificity
WNK1 Polyclonal Antibody detects endogenous levels of WNK1 protein.

Hinweis: Die dargestellten Informationen und Dokumente (Bedienungsanleitung, Produktdatenblatt, Sicherheitsdatenblatt und Analysezertifikat) entsprechen unserem letzten Update und sollten lediglich der Orientierung dienen. Wir übernehmen keine Garantie für die Aktualität. Für spezifische Anforderungen bitten wir Sie, uns eine Anfrage zu stellen.

Alle Produkte sind nur für Forschungszwecke bestimmt. Nicht für den menschlichen, tierärztlichen oder therapeutischen Gebrauch.

Menge: 50 ug
Lieferbar: In stock
lieferbar

Lieferung vsl. bis 11.12.2025 

Vergleichen

Auf den Wunschzettel

Angebot anfordern

Lieferzeit anfragen

Technische Frage stellen

Bulk-Anfrage stellen

Fragen zum Produkt?
 
Schließen