Vergleich

Anti-Phospho-MYB-Ser532 antibody (496-545 aa) (STJ91262) Europäischer Partner

ArtNr STJ91262-100
Hersteller St John's Laboratory
Menge 100 ug
Quantity options 100 ug 20 ug 200 ug 50 ug
Kategorie
Typ Antibody Polyclonal
Format Liquid
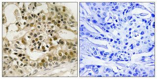
Applikationen IF, IHC, ELISA
Specific against Human (Homo sapiens), Mouse (Murine, Mus musculus)
Host Rabbit
Isotype IgG
Konjugat/Tag Unconjugated
ECLASS 10.1 32160702
ECLASS 11.0 32160702
UNSPSC 12352203
Alias Anti-Transcriptional Activator Myb antibody, Anti-Proto-Oncogene C-Myb antibody, Anti-MYB antibody
Similar products Anti-Transcriptional Activator Myb antibody
Anti-Proto-Oncogene C-Myb antibody
Anti-MYB antibody
Lieferbar
Manufacturer - Type
Primary antibodies
Manufacturer - Targets
MYB
Storage Conditions
Store at-20°C for up to 1 year from the date of receipt, and avoid repeat freeze-thaw cycles.
Formulation
Liquid in PBS containing 50% Glycerol, 0.5% BSA and 0.02% Sodium Azide.
Concentration
1 mg/mL
Purification
The antibody was affinity-purified from rabbit antiserum by affinity-chromatography using epitope-specific immunogen.
Immunogen
The antiserum was produced against synthesized peptide derived from the human Myb around the phosphorylation site of Ser532 at the amino acid range 496-545
Clonality
Polyclonal
Gene symbol
MYB
Dilution range
IHC 1:100-1:300
ELISA 1:5000
IF 1:50-200
Note
STRICTLY FOR FURTHER SCIENTIFIC RESEARCH USE ONLY (RUO). MUST NOT TO BE USED IN DIAGNOSTIC OR THERAPEUTIC APPLICATIONS.
Immunogen Region
496-545 aa
Manufacturer - Specificity
Phospho-c-Myb (S532) Polyclonal Antibody detects endogenous levels of c-Myb protein only when phosphorylated at S532.

Hinweis: Die dargestellten Informationen und Dokumente (Bedienungsanleitung, Produktdatenblatt, Sicherheitsdatenblatt und Analysezertifikat) entsprechen unserem letzten Update und sollten lediglich der Orientierung dienen. Wir übernehmen keine Garantie für die Aktualität. Für spezifische Anforderungen bitten wir Sie, uns eine Anfrage zu stellen.

Alle Produkte sind nur für Forschungszwecke bestimmt. Nicht für den menschlichen, tierärztlichen oder therapeutischen Gebrauch.

Menge: 100 ug
Lieferbar: In stock
lieferbar

Vergleichen

Auf den Wunschzettel

Angebot anfordern

Lieferzeit anfragen

Technische Frage stellen

Bulk-Anfrage stellen

Fragen zum Produkt?
 
Schließen