Vergleich

Anti-BTBD6 antibody (91-140 aa) (STJ91906) Europäischer Partner

ArtNr STJ91906-50
Hersteller St John's Laboratory
Menge 50 ug
Quantity options 100 ug 20 ug 200 ug 50 ug
Kategorie
Typ Antibody Polyclonal
Format Liquid
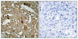
Applikationen WB, IF, IHC, ELISA
Specific against Human (Homo sapiens), Mouse (Murine, Mus musculus)
Host Rabbit
Isotype IgG
Konjugat/Tag Unconjugated
ECLASS 10.1 32160702
ECLASS 11.0 32160702
UNSPSC 12352203
Alias Anti-Btb/Poz Domain-Containing Protein 6 antibody, Anti-Lens Btb Domain Protein antibody, Anti-BTBD6 BDPL antibody
Similar products Anti-Btb/Poz Domain-Containing Protein 6 antibody
Anti-Lens Btb Domain Protein antibody
Anti-BTBD6 BDPL antibody
Lieferbar
Manufacturer - Type
Primary antibodies
Manufacturer - Targets
BTBD6
Storage Conditions
Store at-20°C for up to 1 year from the date of receipt, and avoid repeat freeze-thaw cycles.
Formulation
Liquid in PBS containing 50% Glycerol, 0.5% BSA and 0.02% Sodium Azide.
Concentration
1 mg/mL
Purification
The antibody was affinity-purified from rabbit antiserum by affinity-chromatography using epitope-specific immunogen.
Immunogen
The antiserum was produced against synthesized peptide derived from the human BTBD6 at the amino acid range 91-140
Clonality
Polyclonal
Gene symbol
BTBD6
Dilution range
WB 1:500-1:2000
IHC 1:100-1:300
ELISA 1:10000
IF 1:50-200
Note
STRICTLY FOR FURTHER SCIENTIFIC RESEARCH USE ONLY (RUO). MUST NOT TO BE USED IN DIAGNOSTIC OR THERAPEUTIC APPLICATIONS.
Immunogen Region
91-140 aa
Manufacturer - Specificity
BTBD6 Polyclonal Antibody detects endogenous levels of BTBD6 protein.

Hinweis: Die dargestellten Informationen und Dokumente (Bedienungsanleitung, Produktdatenblatt, Sicherheitsdatenblatt und Analysezertifikat) entsprechen unserem letzten Update und sollten lediglich der Orientierung dienen. Wir übernehmen keine Garantie für die Aktualität. Für spezifische Anforderungen bitten wir Sie, uns eine Anfrage zu stellen.

Alle Produkte sind nur für Forschungszwecke bestimmt. Nicht für den menschlichen, tierärztlichen oder therapeutischen Gebrauch.

Menge: 50 ug
Lieferbar: In stock
lieferbar

Vergleichen

Auf den Wunschzettel

Angebot anfordern

Lieferzeit anfragen

Technische Frage stellen

Bulk-Anfrage stellen

Fragen zum Produkt?
 
Schließen