Vergleich

Anti-RIPK2 antibody (146-195 aa) (STJ95512) Europäischer Partner

ArtNr STJ95512-50
Hersteller St John's Laboratory
Menge 50 ug
Quantity options 100 ug 20 ug 200 ug 50 ug
Kategorie
Typ Antibody Polyclonal
Format Liquid
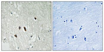
Applikationen WB, IF, IHC, ELISA
Specific against Human (Homo sapiens), Mouse (Murine, Mus musculus)
Host Rabbit
Isotype IgG
Konjugat/Tag Unconjugated
ECLASS 10.1 32160702
ECLASS 11.0 32160702
UNSPSC 12352203
Alias Anti-Receptor-Interacting Serine/Threonine-Protein Kinase 2 antibody, Anti-Card-Containing Interleukin-1 Beta-Converting Enzyme-Associated Kinase antibody, Anti-Card-Containing Il-1 Beta Ice-Kinase antibody, Anti-Rip-Like-Interacting Clarp Kinase antibody, Anti-Receptor-Interacting Protein 2 antibody, Anti-Rip-2 antibody, Anti-Tyrosine-Protein Kinase Ripk2 antibody, Anti-RIPK2 CARDIAK RICK RIP2 UNQ277/PRO314/PRO34092 antibody
Similar products Anti-Receptor-Interacting Serine/Threonine-Protein Kinase 2 antibody
Anti-Card-Containing Interleukin-1 Beta-Converting Enzyme-Associated Kinase antibody
Anti-Card-Containing Il-1 Beta Ice-Kinase antibody
Anti-Rip-Like-Interacting Clarp Kinase
Lieferbar
Manufacturer - Type
Primary antibodies
Manufacturer - Targets
RIPK2
Storage Conditions
Store at-20°C for up to 1 year from the date of receipt, and avoid repeat freeze-thaw cycles.
Formulation
Liquid in PBS containing 50% Glycerol, 0.5% BSA and 0.02% Sodium Azide.
Concentration
1 mg/mL
Purification
The antibody was affinity-purified from rabbit antiserum by affinity-chromatography using epitope-specific immunogen.
Immunogen
The antiserum was produced against synthesized peptide derived from the human RIPK2 at the amino acid range 146-195
Clonality
Polyclonal
Gene symbol
RIPK2
Dilution range
WB 1:500-1:2000
IHC 1:100-1:300
ELISA 1:40000
IF 1:50-200
Note
STRICTLY FOR FURTHER SCIENTIFIC RESEARCH USE ONLY (RUO). MUST NOT TO BE USED IN DIAGNOSTIC OR THERAPEUTIC APPLICATIONS.
Immunogen Region
146-195 aa
Manufacturer - Specificity
RIP2 Polyclonal Antibody detects endogenous levels of RIP2 protein.

Hinweis: Die dargestellten Informationen und Dokumente (Bedienungsanleitung, Produktdatenblatt, Sicherheitsdatenblatt und Analysezertifikat) entsprechen unserem letzten Update und sollten lediglich der Orientierung dienen. Wir übernehmen keine Garantie für die Aktualität. Für spezifische Anforderungen bitten wir Sie, uns eine Anfrage zu stellen.

Alle Produkte sind nur für Forschungszwecke bestimmt. Nicht für den menschlichen, tierärztlichen oder therapeutischen Gebrauch.

Menge: 50 ug
Lieferbar: In stock
lieferbar

Vergleichen

Auf den Wunschzettel

Angebot anfordern

Lieferzeit anfragen

Technische Frage stellen

Bulk-Anfrage stellen

Fragen zum Produkt?
 
Schließen