Vergleich

Anti-Cleaved-CASP3-D175 antibody (157-206 aa) (STJ90003) Europäischer Partner

ArtNr STJ90003-100
Hersteller St John's Laboratory
Menge 100 ug
Quantity options 100 ug 20 ug 200 ug 50 ug
Kategorie
Typ Antibody Polyclonal
Format Liquid
Applikationen WB, IF, IHC, ELISA
Specific against Human (Homo sapiens), Mouse (Murine, Mus musculus), Rat (Rattus norvegicus)
Host Rabbit
Isotype IgG
Konjugat/Tag Unconjugated
ECLASS 10.1 32160702
ECLASS 11.0 32160702
UNSPSC 12352203
Alias Anti-Caspase-3 antibody, Anti-Casp-3 antibody, Anti-Apopain antibody, Anti-Cysteine Protease Cpp32 antibody, Anti-Cpp-32 antibody, Anti-Protein Yama antibody, Anti-Srebp Cleavage Activity 1 antibody, Anti-Sca-1 [Cleaved Into-Caspase-3 Subunit P17-Caspase-3 Subunit P12] antibody, Anti-CASP3 CPP32 antibody
Similar products Anti-Caspase-3 antibody
Anti-Casp-3 antibody
Anti-Apopain antibody
Anti-Cysteine Protease Cpp32 antibody
Anti-Cpp-32 antibody
Anti-Protein Yama antibody
Anti-Srebp Cleavage Activity 1 antibody
Anti-Sca-1 [Cleaved Into-Caspase-3
Lieferbar
Manufacturer - Type
Primary antibodies
Manufacturer - Targets
CASP3
Storage Conditions
Store at-20°C for up to 1 year from the date of receipt, and avoid repeat freeze-thaw cycles.
Formulation
Liquid in PBS containing 50% Glycerol, 0.5% BSA and 0.02% Sodium Azide.
Concentration
1 mg/mL
Purification
The antibody was affinity-purified from rabbit antiserum by affinity-chromatography using epitope-specific immunogen.
Immunogen
The antiserum was produced against synthesized peptide derived from the human Caspase 3 at the amino acid range 157-206
Clonality
Polyclonal
Gene symbol
CASP3
Dilution range
WB 1:500-2000
IHC-P 1:50-300
IF 1:50-300
Note
STRICTLY FOR FURTHER SCIENTIFIC RESEARCH USE ONLY (RUO). MUST NOT TO BE USED IN DIAGNOSTIC OR THERAPEUTIC APPLICATIONS.
Immunogen Region
157-206 aa
Manufacturer - Specificity
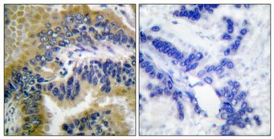
Cleaved-Caspase-3 p12 (D175) Polyclonal Antibody detects endogenous levels of fragment of activated Caspase-3 p12 protein resulting from cleavage adjacent to D175.

Hinweis: Die dargestellten Informationen und Dokumente (Bedienungsanleitung, Produktdatenblatt, Sicherheitsdatenblatt und Analysezertifikat) entsprechen unserem letzten Update und sollten lediglich der Orientierung dienen. Wir übernehmen keine Garantie für die Aktualität. Für spezifische Anforderungen bitten wir Sie, uns eine Anfrage zu stellen.

Alle Produkte sind nur für Forschungszwecke bestimmt. Nicht für den menschlichen, tierärztlichen oder therapeutischen Gebrauch.

Menge: 100 ug
Lieferbar: In stock
lieferbar

Vergleichen

Auf den Wunschzettel

Angebot anfordern

Lieferzeit anfragen

Technische Frage stellen

Bulk-Anfrage stellen

Fragen zum Produkt?
 
Schließen