Vergleich

Anti-Phospho-NCF1-Ser359 antibody (331-380 aa) (STJ91104) Europäischer Partner

ArtNr STJ91104-100
Hersteller St John's Laboratory
Menge 100 ug
Quantity options 100 ug 20 ug 200 ug 50 ug
Kategorie
Typ Antibody Polyclonal
Format Liquid
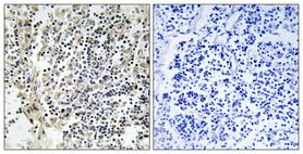
Applikationen WB, IF, IHC, ELISA
Specific against Human (Homo sapiens), Mouse (Murine, Mus musculus), Rat (Rattus norvegicus)
Host Rabbit
Isotype IgG
Konjugat/Tag Unconjugated
ECLASS 10.1 32160702
ECLASS 11.0 32160702
UNSPSC 12352203
Alias Anti-Neutrophil Cytosol Factor 1 antibody, Anti-Ncf-1 antibody, Anti-47 Kda Autosomal Chronic Granulomatous Disease Protein antibody, Anti-47 Kda Neutrophil Oxidase Factor antibody, Anti-Ncf-47k antibody, Anti-Neutrophil Nadph Oxidase Factor 1 antibody, Anti-Nox Organizer 2 antibody, Anti-Nox-Organizing Protein 2 antibody, Anti-Sh3 And Px Domain-Containing Protein 1a antibody, Anti-P47-Phox antibody, Anti-NCF1 NOXO2 SH3PXD1A antibody
Similar products Anti-Neutrophil Cytosol Factor 1 antibody
Anti-Ncf-1 antibody
Anti-47 Kda Autosomal Chronic Granulomatous Disease Protein antibody
Anti-47 Kda Neutrophil Oxidase Factor antibody
Anti-Ncf-47k antibody
Anti-Neutrophil Nadph Oxidase Facto
Lieferbar
Manufacturer - Type
Primary antibodies
Manufacturer - Targets
NCF1
Storage Conditions
Store at-20°C for up to 1 year from the date of receipt, and avoid repeat freeze-thaw cycles.
Formulation
Liquid in PBS containing 50% Glycerol, 0.5% BSA and 0.02% Sodium Azide.
Concentration
1 mg/mL
Purification
The antibody was affinity-purified from rabbit antiserum by affinity-chromatography using epitope-specific immunogen.
Immunogen
The antiserum was produced against synthesized peptide derived from the human p47 phox around the phosphorylation site of Ser359 at the amino acid range 331-380
Clonality
Polyclonal
Gene symbol
NCF1
Dilution range
WB 1:500-1:2000
IHC 1:100-1:300
IF 1:200-1:1000
ELISA 1:5000
Note
STRICTLY FOR FURTHER SCIENTIFIC RESEARCH USE ONLY (RUO). MUST NOT TO BE USED IN DIAGNOSTIC OR THERAPEUTIC APPLICATIONS.
Immunogen Region
331-380 aa
Manufacturer - Specificity
Phospho-p47-phox (S359) Polyclonal Antibody detects endogenous levels of p47-phox protein only when phosphorylated at S359.

Hinweis: Die dargestellten Informationen und Dokumente (Bedienungsanleitung, Produktdatenblatt, Sicherheitsdatenblatt und Analysezertifikat) entsprechen unserem letzten Update und sollten lediglich der Orientierung dienen. Wir übernehmen keine Garantie für die Aktualität. Für spezifische Anforderungen bitten wir Sie, uns eine Anfrage zu stellen.

Alle Produkte sind nur für Forschungszwecke bestimmt. Nicht für den menschlichen, tierärztlichen oder therapeutischen Gebrauch.

Menge: 100 ug
Lieferbar: In stock
lieferbar

Vergleichen

Auf den Wunschzettel

Angebot anfordern

Lieferzeit anfragen

Technische Frage stellen

Bulk-Anfrage stellen

Fragen zum Produkt?
 
Schließen