Vergleich

Anti-Phospho-MAD1L1-Ser428 antibody (394-443 aa) (STJ91167) Europäischer Partner

ArtNr STJ91167-50
Hersteller St John's Laboratory
Menge 50 ug
Quantity options 100 ug 20 ug 200 ug 50 ug
Kategorie
Typ Antibody Polyclonal
Format Liquid
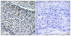
Applikationen IF, IHC, ELISA
Specific against Human (Homo sapiens), Mouse (Murine, Mus musculus), Rat (Rattus norvegicus)
Host Rabbit
Isotype IgG
Konjugat/Tag Unconjugated
ECLASS 10.1 32160702
ECLASS 11.0 32160702
UNSPSC 12352203
Alias Anti-Mitotic Spindle Assembly Checkpoint Protein Mad1 antibody, Anti-Mitotic Arrest Deficient 1-Like Protein 1 antibody, Anti-Mad1-Like Protein 1 antibody, Anti-Mitotic Checkpoint Mad1 Protein Homolog antibody, Anti-Hsmad1 antibody, Anti-Hmad1 antibody, Anti-Tax-Binding Protein 181 antibody, Anti-MAD1L1 MAD1 TXBP181 antibody
Similar products Anti-Mitotic Spindle Assembly Checkpoint Protein Mad1 antibody
Anti-Mitotic Arrest Deficient 1-Like Protein 1 antibody
Anti-Mad1-Like Protein 1 antibody
Anti-Mitotic Checkpoint Mad1 Protein Homolog antibody
Anti-Hsmad1 antibody
Anti-Hm
Lieferbar
Manufacturer - Type
Primary antibodies
Manufacturer - Targets
MAD1L1
Storage Conditions
Store at-20°C for up to 1 year from the date of receipt, and avoid repeat freeze-thaw cycles.
Formulation
Liquid in PBS containing 50% Glycerol, 0.5% BSA and 0.02% Sodium Azide.
Concentration
1 mg/mL
Purification
The antibody was affinity-purified from rabbit antiserum by affinity-chromatography using epitope-specific immunogen.
Immunogen
The antiserum was produced against synthesized peptide derived from the human MAD1 around the phosphorylation site of Ser428 at the amino acid range 394-443
Clonality
Polyclonal
Gene symbol
MAD1L1
Dilution range
IHC 1:100-1:300
ELISA 1:5000
IF 1:50-200
Note
STRICTLY FOR FURTHER SCIENTIFIC RESEARCH USE ONLY (RUO). MUST NOT TO BE USED IN DIAGNOSTIC OR THERAPEUTIC APPLICATIONS.
Immunogen Region
394-443 aa
Manufacturer - Specificity
Phospho-MAD1 (S428) Polyclonal Antibody detects endogenous levels of MAD1 protein only when phosphorylated at S428.

Hinweis: Die dargestellten Informationen und Dokumente (Bedienungsanleitung, Produktdatenblatt, Sicherheitsdatenblatt und Analysezertifikat) entsprechen unserem letzten Update und sollten lediglich der Orientierung dienen. Wir übernehmen keine Garantie für die Aktualität. Für spezifische Anforderungen bitten wir Sie, uns eine Anfrage zu stellen.

Alle Produkte sind nur für Forschungszwecke bestimmt. Nicht für den menschlichen, tierärztlichen oder therapeutischen Gebrauch.

Menge: 50 ug
Lieferbar: In stock
lieferbar

Vergleichen

Auf den Wunschzettel

Angebot anfordern

Lieferzeit anfragen

Technische Frage stellen

Bulk-Anfrage stellen

Fragen zum Produkt?
 
Schließen