Vergleich

Anti-Phospho-CBX5-Ser92 antibody (58-107 aa) (STJ91233) Europäischer Partner

ArtNr STJ91233-200
Hersteller St John's Laboratory
Menge 200 ug
Quantity options 100 ug 20 ug 200 ug 50 ug
Kategorie
Typ Antibody Polyclonal
Format Liquid
Applikationen IF, IHC, ELISA
Specific against Human (Homo sapiens), Mouse (Murine, Mus musculus), Rat (Rattus norvegicus)
Host Rabbit
Isotype IgG
Konjugat/Tag Unconjugated
ECLASS 10.1 32160702
ECLASS 11.0 32160702
UNSPSC 12352203
Alias Anti-Chromobox Protein Homolog 5 antibody, Anti-Antigen P25 antibody, Anti-Heterochromatin Protein 1 Homolog Alpha antibody, Anti-Hp1 Alpha antibody, Anti-CBX5 HP1A antibody
Similar products Anti-Chromobox Protein Homolog 5 antibody
Anti-Antigen P25 antibody
Anti-Heterochromatin Protein 1 Homolog Alpha antibody
Anti-Hp1 Alpha antibody
Anti-CBX5 HP1A antibody
Lieferbar
Manufacturer - Type
Primary antibodies
Manufacturer - Targets
CBX5
Storage Conditions
Store at-20°C for up to 1 year from the date of receipt, and avoid repeat freeze-thaw cycles.
Formulation
Liquid in PBS containing 50% Glycerol, 0.5% BSA and 0.02% Sodium Azide.
Concentration
1 mg/mL
Purification
The antibody was affinity-purified from rabbit antiserum by affinity-chromatography using epitope-specific immunogen.
Immunogen
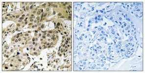
The antiserum was produced against synthesized peptide derived from the human HP1 alpha around the phosphorylation site of Ser92 at the amino acid range 58-107
Clonality
Polyclonal
Gene symbol
CBX5
Dilution range
IHC 1:100-1:300
ELISA 1:40000
IF 1:50-200
Note
STRICTLY FOR FURTHER SCIENTIFIC RESEARCH USE ONLY (RUO). MUST NOT TO BE USED IN DIAGNOSTIC OR THERAPEUTIC APPLICATIONS.
Immunogen Region
58-107 aa
Manufacturer - Specificity
Phospho-HP1 Alpha (S92) Polyclonal Antibody detects endogenous levels of HP1 Alpha protein only when phosphorylated at S92.

Hinweis: Die dargestellten Informationen und Dokumente (Bedienungsanleitung, Produktdatenblatt, Sicherheitsdatenblatt und Analysezertifikat) entsprechen unserem letzten Update und sollten lediglich der Orientierung dienen. Wir übernehmen keine Garantie für die Aktualität. Für spezifische Anforderungen bitten wir Sie, uns eine Anfrage zu stellen.

Alle Produkte sind nur für Forschungszwecke bestimmt. Nicht für den menschlichen, tierärztlichen oder therapeutischen Gebrauch.

Menge: 200 ug
Lieferbar: In stock
lieferbar

Vergleichen

Auf den Wunschzettel

Angebot anfordern

Lieferzeit anfragen

Technische Frage stellen

Bulk-Anfrage stellen

Fragen zum Produkt?
 
Schließen