Vergleich

Anti-BCAR3 antibody (761-810 aa) (STJ91828) Europäischer Partner

ArtNr STJ91828-200
Hersteller St John's Laboratory
Menge 200 ug
Quantity options 100 ug 20 ug 200 ug 50 ug
Kategorie
Typ Antibody Polyclonal
Format Liquid
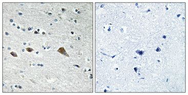
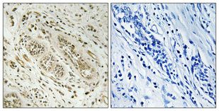
Applikationen WB, IF, IHC, ELISA
Specific against Human (Homo sapiens), Mouse (Murine, Mus musculus), Rat (Rattus norvegicus)
Host Rabbit
Isotype IgG
Konjugat/Tag Unconjugated
ECLASS 10.1 32160702
ECLASS 11.0 32160702
UNSPSC 12352203
Alias Anti-Breast Cancer Anti-Estrogen Resistance Protein 3 antibody, Anti-Novel Sh2-Containing Protein 2 antibody, Anti-Sh2 Domain-Containing Protein 3b antibody, Anti-BCAR3 NSP2 SH2D3B UNQ271/PRO308 antibody
Similar products Anti-Breast Cancer Anti-Estrogen Resistance Protein 3 antibody
Anti-Novel Sh2-Containing Protein 2 antibody
Anti-Sh2 Domain-Containing Protein 3b antibody
Anti-BCAR3 NSP2 SH2D3B UNQ271/PRO308 antibody
Lieferbar
Manufacturer - Type
Primary antibodies
Manufacturer - Targets
BCAR3
Storage Conditions
Store at-20°C for up to 1 year from the date of receipt, and avoid repeat freeze-thaw cycles.
Formulation
Liquid in PBS containing 50% Glycerol, 0.5% BSA and 0.02% Sodium Azide.
Concentration
1 mg/mL
Purification
The antibody was affinity-purified from rabbit antiserum by affinity-chromatography using epitope-specific immunogen.
Immunogen
The antiserum was produced against synthesized peptide derived from the human BCAR3 at the amino acid range 761-810
Clonality
Polyclonal
Gene symbol
BCAR3
Dilution range
WB 1:500-1:2000
IHC 1:100-1:300
IF 1:200-1:1000
ELISA 1:10000
Note
STRICTLY FOR FURTHER SCIENTIFIC RESEARCH USE ONLY (RUO). MUST NOT TO BE USED IN DIAGNOSTIC OR THERAPEUTIC APPLICATIONS.
Immunogen Region
761-810 aa
Manufacturer - Specificity
BCAR3 Polyclonal Antibody detects endogenous levels of BCAR3 protein.

Hinweis: Die dargestellten Informationen und Dokumente (Bedienungsanleitung, Produktdatenblatt, Sicherheitsdatenblatt und Analysezertifikat) entsprechen unserem letzten Update und sollten lediglich der Orientierung dienen. Wir übernehmen keine Garantie für die Aktualität. Für spezifische Anforderungen bitten wir Sie, uns eine Anfrage zu stellen.

Alle Produkte sind nur für Forschungszwecke bestimmt. Nicht für den menschlichen, tierärztlichen oder therapeutischen Gebrauch.

Menge: 200 ug
Lieferbar: In stock
lieferbar

Vergleichen

Auf den Wunschzettel

Angebot anfordern

Lieferzeit anfragen

Technische Frage stellen

Bulk-Anfrage stellen

Fragen zum Produkt?
 
Schließen