Vergleich

Anti-ECI1 antibody (C-Term) (STJ96594) Europäischer Partner

ArtNr STJ96594-100
Hersteller St John's Laboratory
Menge 100 ug
Quantity options 100 ug 20 ug 200 ug 50 ug
Kategorie
Typ Antibody Polyclonal
Format Liquid
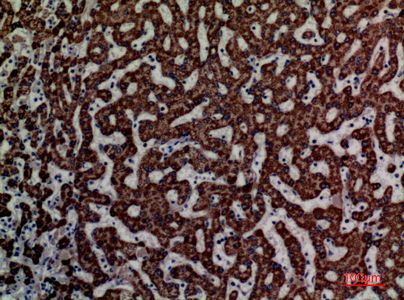
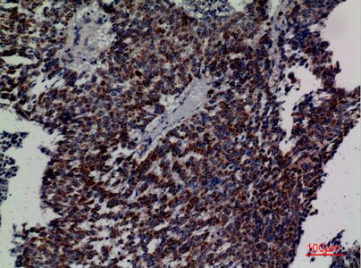
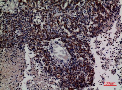
Applikationen WB, IF, IHC, ELISA
Specific against Human (Homo sapiens), Mouse (Murine, Mus musculus), Rat (Rattus norvegicus)
Host Rabbit
Isotype IgG
Konjugat/Tag Unconjugated
ECLASS 10.1 32160702
ECLASS 11.0 32160702
UNSPSC 12352203
Alias Anti-Enoyl-Coa Delta Isomerase 1-Mitochondrial antibody, Anti-3-2-Trans-Enoyl-Coa Isomerase antibody, Anti-Delta(3-Delta(2-Enoyl-Coa Isomerase antibody, Anti-D3-D2-Enoyl-Coa Isomerase antibody, Anti-Dodecenoyl-Coa Isomerase antibody, Anti-ECI1 DCI antibody
Similar products Anti-Enoyl-Coa Delta Isomerase 1-Mitochondrial antibody
Anti-3-2-Trans-Enoyl-Coa Isomerase antibody
Anti-Delta(3-Delta(2-Enoyl-Coa Isomerase antibody
Anti-D3-D2-Enoyl-Coa Isomerase antibody
Anti-Dodecenoyl-Coa Isomerase antibody
Anti-E
Lieferbar
Manufacturer - Type
Primary antibodies
Manufacturer - Targets
ECI1
Storage Conditions
Store at-20°C for up to 1 year from the date of receipt, and avoid repeat freeze-thaw cycles.
Formulation
Liquid in PBS containing 50% Glycerol, 0.5% BSA and 0.02% Sodium Azide.
Concentration
1 mg/mL
Purification
The antibody was affinity-purified from rabbit antiserum by affinity-chromatography using epitope-specific immunogen.
Immunogen
Synthesized peptide derived from DCI at the amino acid range c-terminal
Clonality
Polyclonal
Gene symbol
ECI1
Dilution range
WB 1:500-1:2000
IHC-P 1:100-300
ELISA 1:20000
IF 1:50-200
Note
STRICTLY FOR FURTHER SCIENTIFIC RESEARCH USE ONLY (RUO). MUST NOT TO BE USED IN DIAGNOSTIC OR THERAPEUTIC APPLICATIONS.
Immunogen Region
C-Term
Manufacturer - Specificity
DCI Polyclonal Antibody detects endogenous levels of DCI protein.

Hinweis: Die dargestellten Informationen und Dokumente (Bedienungsanleitung, Produktdatenblatt, Sicherheitsdatenblatt und Analysezertifikat) entsprechen unserem letzten Update und sollten lediglich der Orientierung dienen. Wir übernehmen keine Garantie für die Aktualität. Für spezifische Anforderungen bitten wir Sie, uns eine Anfrage zu stellen.

Alle Produkte sind nur für Forschungszwecke bestimmt. Nicht für den menschlichen, tierärztlichen oder therapeutischen Gebrauch.

Menge: 100 ug
Lieferbar: In stock
lieferbar

Lieferung vsl. bis 11.12.2025 

Vergleichen

Auf den Wunschzettel

Angebot anfordern

Lieferzeit anfragen

Technische Frage stellen

Bulk-Anfrage stellen

Fragen zum Produkt?
 
Schließen