Vergleich

Anti-IL1R1 antibody (31-80 aa) (STJ96628) Europäischer Partner

ArtNr STJ96628-50
Hersteller St John's Laboratory
Menge 50 ug
Quantity options 100 ug 20 ug 200 ug 50 ug
Kategorie
Typ Antibody Polyclonal
Format Liquid
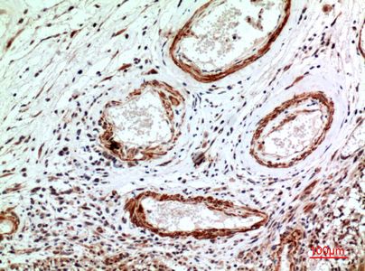
Applikationen WB, IF, IHC, ELISA
Specific against Human (Homo sapiens), Mouse (Murine, Mus musculus), Rat (Rattus norvegicus)
Host Rabbit
Isotype IgG
Konjugat/Tag Unconjugated
ECLASS 10.1 32160702
ECLASS 11.0 32160702
UNSPSC 12352203
Alias Anti-Interleukin-1 Receptor Type 1 antibody, Anti-Il-1r-1 antibody, Anti-Il-1rt-1 antibody, Anti-Il-1rt1 antibody, Anti-Cd121 Antigen-Like Family Member A antibody, Anti-Interleukin-1 Receptor Alpha antibody, Anti-Il-1r-Alpha antibody, Anti-Interleukin-1 Receptor Type I antibody, Anti-P80 antibody, Anti-Cd Antigen Cd121a [Cleaved Into-Interleukin-1 Receptor Type 1-Membrane Form antibody, Anti-Mil-1r1 antibody, Anti-Mil-1ri-Interleukin-1 Receptor Type 1-Soluble Form antibody, Anti-Sil-1r1 antibody, Anti-Sil-1ri] antibody, Anti-IL1R1 IL1R IL1RA IL1RT1 antibody
Similar products Anti-Interleukin-1 Receptor Type 1 antibody
Anti-Il-1r-1 antibody
Anti-Il-1rt-1 antibody
Anti-Il-1rt1 antibody
Anti-Cd121 Antigen-Like Family Member A antibody
Anti-Interleukin-1 Receptor Alpha antibody
Anti-Il-1r-Alpha antibody
Lieferbar
Manufacturer - Type
Primary antibodies
Manufacturer - Targets
IL1R1
Storage Conditions
Store at-20°C for up to 1 year from the date of receipt, and avoid repeat freeze-thaw cycles.
Formulation
Liquid in PBS containing 50% Glycerol, 0.5% BSA and 0.02% Sodium Azide.
Concentration
1 mg/mL
Purification
The antibody was affinity-purified from rabbit antiserum by affinity-chromatography using epitope-specific immunogen.
Immunogen
The antiserum was produced against synthesized peptide derived from the N-terminal region of human IL1R1 at the amino acid range 31-80
Clonality
Polyclonal
Gene symbol
IL1R1
Dilution range
WB 1:500-1:2000
IHC-P 1:100-300
ELISA 1:20000
IF 1:50-200
Note
STRICTLY FOR FURTHER SCIENTIFIC RESEARCH USE ONLY (RUO). MUST NOT TO BE USED IN DIAGNOSTIC OR THERAPEUTIC APPLICATIONS.
Immunogen Region
31-80 aa
Manufacturer - Specificity
IL-1RI Polyclonal Antibody detects endogenous levels of IL-1RI protein.

Hinweis: Die dargestellten Informationen und Dokumente (Bedienungsanleitung, Produktdatenblatt, Sicherheitsdatenblatt und Analysezertifikat) entsprechen unserem letzten Update und sollten lediglich der Orientierung dienen. Wir übernehmen keine Garantie für die Aktualität. Für spezifische Anforderungen bitten wir Sie, uns eine Anfrage zu stellen.

Alle Produkte sind nur für Forschungszwecke bestimmt. Nicht für den menschlichen, tierärztlichen oder therapeutischen Gebrauch.

Menge: 50 ug
Lieferbar: In stock
lieferbar

Lieferung vsl. bis 11.12.2025 

Vergleichen

Auf den Wunschzettel

Angebot anfordern

Lieferzeit anfragen

Technische Frage stellen

Bulk-Anfrage stellen

Fragen zum Produkt?
 
Schließen