Vergleich

Anti-FUT4 antibody [4E10] (STJ97906) Europäischer Partner

ArtNr STJ97906-100
Hersteller St John's Laboratory
Menge 100 ug
Quantity options 100 ug 200 ug 50 ug
Kategorie
Typ Antibody Monoclonal
Format Liquid
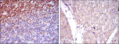
Applikationen IF, IHC, ELISA
Clon 4E10
Specific against Human (Homo sapiens)
Host Mouse
Isotype IgG1
Konjugat/Tag Unconjugated
ECLASS 10.1 42030590
ECLASS 11.0 42030590
UNSPSC 12352203
Alias Anti-Alpha-(1-3-Fucosyltransferase 4 antibody, Anti-Elam-1 Ligand Fucosyltransferase antibody, Anti-Fucosyltransferase 4 antibody, Anti-Fucosyltransferase Iv antibody, Anti-Fuc-Tiv antibody, Anti-Fuct-Iv antibody, Anti-Galactoside 3-L-Fucosyltransferase antibody, Anti-FUT4 ELFT FCT3A antibody
Similar products Anti-Alpha-(1-3-Fucosyltransferase 4 antibody
Anti-Elam-1 Ligand Fucosyltransferase antibody
Anti-Fucosyltransferase 4 antibody
Anti-Fucosyltransferase Iv antibody
Anti-Fuc-Tiv antibody
Anti-Fuct-Iv antibody
Anti-Galactoside 3-L-Fu
Lieferbar
Manufacturer - Type
Primary antibodies
Manufacturer - Targets
FUT4
Storage Conditions
Store at-20°C for up to 1 year from the date of receipt, and avoid repeat freeze-thaw cycles.
Formulation
Liquid in PBS containing 0.03% Sodium Azide, 0.5% BSA, 50% Glycerol.
Purification
Affinity purification
Immunogen
Synthesized peptide of human CD15.
Clonality
Monoclonal
Gene symbol
FUT4
Dilution range
IHC 1:200-1:1000
IF 1:200-1:1000
ELISA 1:10000
Note
STRICTLY FOR FURTHER SCIENTIFIC RESEARCH USE ONLY (RUO). MUST NOT TO BE USED IN DIAGNOSTIC OR THERAPEUTIC APPLICATIONS.
Manufacturer - Specificity
CD15 Monoclonal Antibody detects endogenous levels of CD15 protein.

Hinweis: Die dargestellten Informationen und Dokumente (Bedienungsanleitung, Produktdatenblatt, Sicherheitsdatenblatt und Analysezertifikat) entsprechen unserem letzten Update und sollten lediglich der Orientierung dienen. Wir übernehmen keine Garantie für die Aktualität. Für spezifische Anforderungen bitten wir Sie, uns eine Anfrage zu stellen.

Alle Produkte sind nur für Forschungszwecke bestimmt. Nicht für den menschlichen, tierärztlichen oder therapeutischen Gebrauch.

Menge: 100 ug
Lieferbar: In stock
lieferbar

Vergleichen

Auf den Wunschzettel

Angebot anfordern

Lieferzeit anfragen

Technische Frage stellen

Bulk-Anfrage stellen

Fragen zum Produkt?
 
Schließen