Vergleich

Anti-TGF beta Receptor I/TGFBR1 Antibody Picoband® Europäischer Partner

ArtNr BOS-A00832
Hersteller Boster
Menge 100 ug/vial
Quantity options 100 ug/vial 10 ug 100 ug/vial 100 ug/vial 100 ug/vial 100 ug 100 ug 100 ug 100 ug/vial 100 ug/vial 100 ug/vial 100 ug/vial 100 ug
Kategorie
Typ Antibody Polyclonal
Format Lyophilized
Applikationen WB, ELISA
Specific against Human (Homo sapiens)
Host Rabbit
Isotype IgG
Citations 1. Drera, B., Tadini, G., Barlati, S., Colombi, M.Identification of a novel TGFBR1 mutation in a Loeys-Dietz syndrome type II patient with vascular Ehlers-Danlos syndrome phenotype. (Letter)Clin. Genet. 73: 290-293, 2008.
2. Goudie, D. R., D'Alessandro, M., Merriman, B., Lee, H., Szeverenyi, I., Avery, S., O'Connor, B. D., Nelson, S. F., Coats, S. E., Stewart, A., Christie, L., Pichert, G., and 11 others.Multiple self-healing squamous epithelioma is caused by a disease-specific spectrum of mutations in TGFBR1.Nature Genet. 43: 365-369, 2011.
3. Vellucci, V. F., Reiss, M.Cloning and genomic organization of the human transforming growth factor-beta type I receptor gene.Genomics 46: 278-283, 1997.
ECLASS 10.1 32160702
ECLASS 11.0 32160702
UNSPSC 12352203
Alias Protein argonaute-1,Argonaute1,hAgo1,Argonaute RISC catalytic component 1,Eukaryotic translation initiation factor 2C 1,eIF-2C 1,eIF2C 1,Putative RNA-binding protein Q99,AGO1,EIF2C1
Lieferbar
Manufacturer - Category
Primary Antibodies
Storage Conditions
Store at -20°C for one year from date of receipt. After reconstitution, at 4°C for one month. It can also be aliquotted and stored frozen at -20°C for six months. Avoid repeated freeze-thaw cycles.
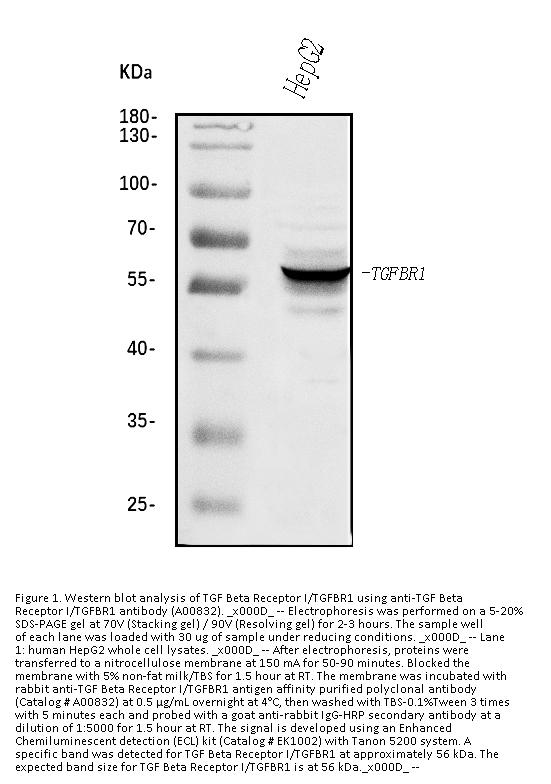
Observed Molecular weight
56 kDa
Calculated Molecular weight
97214 MW
Clonality
Polyclonal
Application Details
Western blot, 0.25-0.5μg/ml, Human
ELISA, 0.1-0.5μg/ml
Gene Name
TGFBR1
Gene Full Name
Protein argonaute-1
Manufacturer - Specificity
No cross-reactivity with other proteins
Background
Transforming growth factor, beta receptor I is a TGF beta receptor. TGFBR1 is its human gene. The protein encoded by this gene forms a heteromeric complex with type II TGF-beta receptors when bound to TGF-beta, transducing the TGF-beta signal from the cell surface to the cytoplasm. Mutations in this gene have been associated with Loeys-Dietz aortic aneurysm syndrome (LDAS). TGFB1 regulates cell cycle progression by a unique signaling mechanism that involves its binding to TGFBR2 and activation of TGFBR1. Both are transmembrane serine/threonine receptor kinases. The TGFBR1 receptor may be inactivated in many of the cases of human tumor cells refractory to TGFB-mediated cell cycle arrest.
Immunogen
E.coli-derived human TGFBR1 recombinant protein (Position: L34-K490).
Contents
Each vial contains 4mg Trehalose, 0.9mg NaCl, 0.2mg Na2HPO4.
Purification
Immunogen affinity purified.
Reconstitution
Add 0.2ml of distilled water will yield a concentration of 500ug/ml.
Concentration
Adding 0.2 ml of distilled water will yield a concentration of 500 μg/ml.
Manufacturer - Research Category
Cell Biology, Cell Cycle, Cell Division, Cytokinesis, DNA/RNA, Epigenetics and Nuclear Signaling, Nuclear Receptors, Nuclear Signaling Pathways, RNA Processing, Translation
Protein Name
Protein argonaute-1
Protein Function
Required for RNA-mediated gene silencing (RNAi). Binds to short RNAs such as microRNAs (miRNAs) or short interfering RNAs (siRNAs), and represses the translation of mRNAs which are complementary to them. Lacks endonuclease activity and does not appear to cleave target mRNAs. Also required for transcriptional gene silencing (TGS) of promoter regions which are complementary to bound short antigene RNAs (agRNAs).
Subcellular Localization
Cytoplasm, P-body.
Description
Boster Bio Anti-TGF beta Receptor I/TGFBR1 Antibody Picoband® catalog # A00832. Tested in ELISA, WB applications. This antibody reacts with Human. The brand Picoband indicates this is a premium antibody that guarantees superior quality, high affinity, and strong signals with minimal background in Western blot applications. Only our best-performing antibodies are designated as Picoband, ensuring unmatched performance.
Tissue Specificity
Detected in blood plasma (at protein level).
Manufacturer - Cross Reactivity
No cross-reactivity with other proteins

Hinweis: Die dargestellten Informationen und Dokumente (Bedienungsanleitung, Produktdatenblatt, Sicherheitsdatenblatt und Analysezertifikat) entsprechen unserem letzten Update und sollten lediglich der Orientierung dienen. Wir übernehmen keine Garantie für die Aktualität. Für spezifische Anforderungen bitten wir Sie, uns eine Anfrage zu stellen.

Alle Produkte sind nur für Forschungszwecke bestimmt. Nicht für den menschlichen, tierärztlichen oder therapeutischen Gebrauch.

Menge: 100 ug/vial
Lieferbar: In stock
lieferbar

Vergleichen

Auf den Wunschzettel

Angebot anfordern

Lieferzeit anfragen

Technische Frage stellen

Bulk-Anfrage stellen

Fragen zum Produkt?