Vergleich

Anti-Integrin beta 4/ITGB4 Antibody Picoband® Europäischer Partner

ArtNr BOS-A01015-2
Hersteller Boster
Menge 100 ug/vial
Quantity options 100 ug/vial 10 ug 100 ug/vial 100 ug/vial 100 ug/vial 100 ug 100 ug 100 ug 100 ug/vial 100 ug/vial 100 ug/vial 100 ug/vial
Kategorie
Typ Antibody
Format Lyophilized
Applikationen WB, FC, IF, IHC, ELISA
Specific against Human (Homo sapiens), Mouse (Murine, Mus musculus), Rat (Rattus norvegicus)
Host Rabbit
Isotype IgG
Citations 1. Carmi, R., Sofer, S., Karplus, M., Ben-Yakar, Y., Mahler, D., Zirkin, H., Bar-Ziv, J. Aplasia cutis congenita in two sibs discordant for pyloric atresia. Am. J. Med. Genet. 11: 319-328, 1982.
2. Dajee, M., Lazarov, M., Zhang, J. Y., Cai, T., Green, C. L., Russell, A. J., Marinkovich, M. P., Tao, S., Lin, Q., Kubo, Y., Khavari, P. A. NF-kappa-B blockade and oncogenic Ras trigger invasive human epidermal neoplasia. Nature 421: 639-643, 2003.
3. Geerts, D., Fontao, L., Nievers, M. G., Schaapveld, R. Q. J., Purkis, P. E., Wheeler, G. N., Lane, E. B., Leigh, I.M., Sonnenberg, A.Binding of integrin alpha-6-beta-4 to plectin prevents plectin association with F-actin but does not interfere with intermediate filament binding. J. Cell Biol. 147: 417-434, 1999.
ECLASS 10.1 32160702
ECLASS 11.0 32160702
UNSPSC 12352203
Alias TNF receptor superfamily member 17
Lieferbar
Manufacturer - Category
Primary Antibodies
Storage Conditions
Store at -20°C for one year from date of receipt. After reconstitution, at 4°C for one month. It can also be aliquotted and stored frozen at -20°C for six months. Avoid repeated freeze-thaw cycles.
Observed Molecular weight
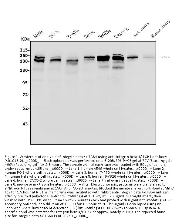
210 kDa
Clonality
Polyclonal
Application Details
Western blot, 0.1-0.25μg/ml, Human, Mouse, Rat
Immunohistochemistry (Paraffin-embedded Section), 0.5-1μg/ml, Human
Immunofluorescence, 4μg/ml, Human
Flow Cytometry (Fixed), 1-3μg/1x106 cells, Human
ELISA, 0.1-0.5μg/ml
Gene Name
ITGB4
Gene Full Name
TNF receptor superfamily member 17
Manufacturer - Specificity
No cross-reactivity with other proteins.
Background
ITGB4 (Integrin, beta-4), also known as CD104 (Cluster of Differentiation 104), is a human gene. The gene encodes the integrin beta 4 subunits, a receptor for the laminins. This subunit tends to associate with alpha 6 subunits and is likely to play a pivotal role in the biology of invasive carcinoma. The ITGB4 gene is mapped on 17q25.1. Using expression profiling, Yang et al. found that ITGB4 was upregulated 6-fold by ZKSCAN3 in transfected human colon cancer cells compared with parental cells. They confirmed that ZKSCAN3 bound the promoter of ITGB4 in vitro and in vivo. ITGB4 knockdown by short hairpin RNA countered ZKSCAN3-augmented anchorage-independent colony formation in the colon cancer cell lines. The integrin beta-4 subunit is characterized by an unusually long cytoplasmic domain that harbors 4 fibronectin type III (FNIII) repeats, residing in 2 pairs separated by a connecting segment. Vidal et al. found compound heterozygosity for mutations in the ITGB4 gene in an infant with junctional epidermolysis bullosa associated with pyloric atresia.
Immunogen
E.coli-derived human Integrin beta 4/ITGB4 recombinant protein (Position: R29-K431).
Contents
Each vial contains 4mg Trehalose, 0.9mg NaCl, 0.2mg Na2HPO4, 0.01mg NaN3.
Purification
Immunogen affinity purified.
Reconstitution
Add 0.2ml of distilled water will yield a concentration of 500ug/ml.
Concentration
Adding 0.2 ml of distilled water will yield a concentration of 500 μg/ml.
Manufacturer - Research Category
Antiviral Signaling, Cancer, Growth Factors, Growth Factors/Hormones, Immune System Diseases, Immunology, Signal Transduction
Description
Boster Bio Anti-Integrin beta 4/ITGB4 Antibody Picoband® catalog # A01015-2. Tested in ELISA, Flow Cytometry, IF, IHC, WB applications. This antibody reacts with Human, Mouse, Rat. The brand Picoband indicates this is a premium antibody that guarantees superior quality, high affinity, and strong signals with minimal background in Western blot applications. Only our best-performing antibodies are designated as Picoband, ensuring unmatched performance.
Manufacturer - Cross Reactivity
No cross-reactivity with other proteins.

Hinweis: Die dargestellten Informationen und Dokumente (Bedienungsanleitung, Produktdatenblatt, Sicherheitsdatenblatt und Analysezertifikat) entsprechen unserem letzten Update und sollten lediglich der Orientierung dienen. Wir übernehmen keine Garantie für die Aktualität. Für spezifische Anforderungen bitten wir Sie, uns eine Anfrage zu stellen.

Alle Produkte sind nur für Forschungszwecke bestimmt. Nicht für den menschlichen, tierärztlichen oder therapeutischen Gebrauch.

Menge: 100 ug/vial
Lieferbar: In stock
lieferbar

Vergleichen

Auf den Wunschzettel

Angebot anfordern

Lieferzeit anfragen

Technische Frage stellen

Bulk-Anfrage stellen

Fragen zum Produkt?